Skip to main content

Ferritin Light Chain Antibody (rFTL/1388)

Novus Biologicals, part of Bio-Techne | Catalog # NBP3-49113

Recombinant Monoclonal Antibody
Novus Biologicals, part of Bio-Techne
Catalog #
Availability
Size / Price
Qty
Loading...
NBP3-49113-100ug
NBP3-49113-20ug

Key Product Details

Species Reactivity

Human

Applications

Immunohistochemistry, Western Blot

Label

Unconjugated

Antibody Source

Recombinant Monoclonal Mouse IgG1 kappa Clone # rFTL/1388 expressed in HEK293

Concentration

Please see the vial label for concentration. If unlisted please contact technical services.

Product Specifications

Immunogen

Recombinant fragment (around aa 38-165) of human FTL protein (exact sequence is proprietary) (Uniprot: P02792)

Clonality

Monoclonal

Host

Mouse

Isotype

IgG1 kappa

Description

Prepared in 10mM PBS with 0.05% BSA & 0.05% azide. Also available WITHOUT BSA & azide at 1.0mg/ml.

Antibody with azide - store at 2 to 8 C. Antibody without azide - store at -20 to -80 C. Antibody is stable for 24 months. Non-hazardous. No MSDS required.

Scientific Data Images for Ferritin Light Chain Antibody (rFTL/1388)

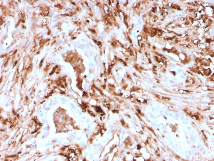
Ferritin Light Chain Antibody (rFTL/1388)

Immunohistochemistry-Paraffin: Ferritin Light Chain Antibody (rFTL/1388) [NBP3-49113] -

Formalin-fixed, paraffin-embedded human Pancreas stained with Ferritin Light Chain Antibody (rFTL/1388).
Ferritin Light Chain Antibody (rFTL/1388)

Western Blot: Ferritin Light Chain Antibody (rFTL/1388) [NBP3-49113] -

Western Blot Analysis of human Kidney tissue lysate using Ferritin Light Chain Antibody (rFTL/1388).
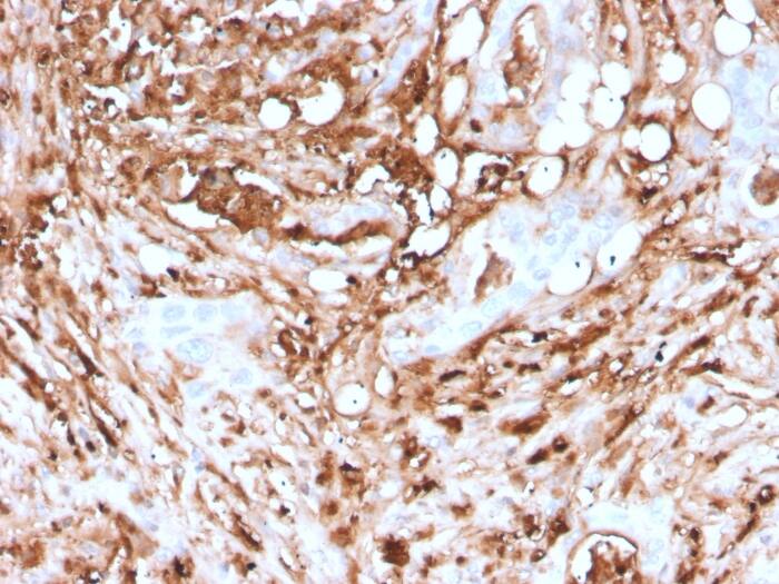
Ferritin Light Chain Antibody (rFTL/1388)

Immunohistochemistry-Paraffin: Ferritin Light Chain Antibody (rFTL/1388) [NBP3-49113] -

Formalin-fixed, paraffin-embedded human Pancreas stained with Ferritin Light Chain Antibody (rFTL/1388).

Applications for Ferritin Light Chain Antibody (rFTL/1388)

Application
Recommended Usage

Immunohistochemistry

Optimal dilutions of this antibody should be experimentally determined.

Western Blot

Optimal dilutions of this antibody should be experimentally determined.

Formulation, Preparation, and Storage

Purification

Protein A or G purified

Formulation

10 mM PBS with 0.05% BSA

Preservative

0.05% Sodium Azide

Concentration

Please see the vial label for concentration. If unlisted please contact technical services.

Shipping

The product is shipped with polar packs. Upon receipt, store it immediately at the temperature recommended below.

Stability & Storage

Store at 4C.

Background: Ferritin Light Chain

Alternate Names

Ferritin L subunit, ferritin L-chain, ferritin light chain, ferritin light polypeptide-like 3, ferritin, light polypeptide, MGC71996, NBIA3

Gene Symbol

FTL

Additional Ferritin Light Chain Products

Product Documents for Ferritin Light Chain Antibody (rFTL/1388)

Certificate of Analysis

To download a Certificate of Analysis, please enter a lot number in the search box below.

Product Specific Notices for Ferritin Light Chain Antibody (rFTL/1388)

This product is for research use only and is not approved for use in humans or in clinical diagnosis. Primary Antibodies are guaranteed for 1 year from date of receipt.

Loading...
Loading...
Loading...
Loading...