Skip to main content

Ferritin Heavy Chain Antibody (FTH/2081) - Azide and BSA Free

Novus Biologicals, part of Bio-Techne | Catalog # NBP3-08581

Novus Biologicals, part of Bio-Techne
Catalog #
Availability
Size / Price
Qty
Loading...
NBP3-08581
Conjugate
Catalog #

Key Product Details

Species Reactivity

Human

Applications

Immunohistochemistry-Paraffin, Western Blot

Label

Unconjugated

Antibody Source

Monoclonal Mouse IgG2c Kappa Clone # FTH/2081

Format

Azide and BSA Free

Concentration

1 mg/ml

Product Specifications

Immunogen

Recombinant human FTH1 protein fragment (around aa 58-180) (exact sequence is proprietary) (exact sequence is proprietary) (Uniprot: P02794)

Localization

Cytoplasmic

Marker

Microglia Marker

Clonality

Monoclonal

Host

Mouse

Isotype

IgG2c Kappa

Theoretical MW

21 kDa.
Disclaimer note: The observed molecular weight of the protein may vary from the listed predicted molecular weight due to post translational modifications, post translation cleavages, relative charges, and other experimental factors.

Description

1.0 mg/ml of antibody purified from Bioreactor Concentrate by Protein A/G. Prepared in 10mM PBS WITHOUT BSA & azide. Also available at 200 ug/ml WITH BSA & azide (NBP3-07795).

Antibody with azide - store at 2 to 8C. Antibody without azide - store at -20 to -80C.

Scientific Data Images for Ferritin Heavy Chain Antibody (FTH/2081) - Azide and BSA Free

Western Blot: Ferritin Heavy Chain Antibody (FTH/2081)Azide and BSA Free [NBP3-08581]

Western Blot: Ferritin Heavy Chain Antibody (FTH/2081)Azide and BSA Free [NBP3-08581]

Western Blot: Ferritin Heavy Chain Antibody (FTH/2081) - Azide and BSA Free [NBP3-08581] - Western Blot of HeLa, cell lysate using Ferritin Heavy Chain Mouse Monoclonal Antibody (FTH/2081).
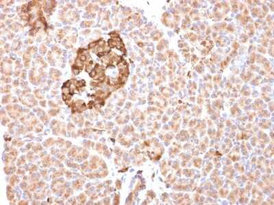
Immunohistochemistry-Paraffin: Ferritin Heavy Chain Antibody (FTH/2081) - Azide and BSA Free [NBP3-08581]

Immunohistochemistry-Paraffin: Ferritin Heavy Chain Antibody (FTH/2081) - Azide and BSA Free [NBP3-08581]

Immunohistochemistry-Paraffin: Ferritin Heavy Chain Antibody (FTH/2081) - Azide and BSA Free [NBP3-08581] - Formalin-fixed, paraffin-embedded human pancreas stained with Ferritin Heavy Chain Mouse Monoclonal Antibody (FTH/2081). Confirmation of Purity and Integrity of Antibody.
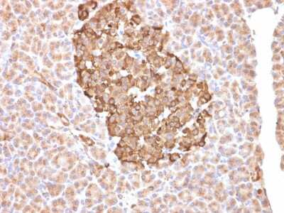
Immunohistochemistry-Paraffin: Ferritin Antibody (FTH/2081) - Azide and BSA Free [NBP3-08581]

Immunohistochemistry-Paraffin: Ferritin Heavy Chain Antibody (FTH/2081) - Azide and BSA Free [NBP3-08581]

Immunohistochemistry-Paraffin: Ferritin Heavy Chain Antibody (FTH/2081) - Azide and BSA Free [NBP3-08581] - Formalin-fixed, paraffin-embedded human pancreas stained with Ferritin Heavy Chain Mouse Monoclonal Antibody (FTH/2081). Confirmation of Purity and Integrity of Antibody.

Applications for Ferritin Heavy Chain Antibody (FTH/2081) - Azide and BSA Free

Application
Recommended Usage

Immunohistochemistry-Paraffin

0.1-0.2 ug/ml

Western Blot

1-2 ug/ml
Application Notes
Immunohistochemistry Formalin-fixed: 0.1-0.2ug/ml for 30 minutes at RT. Staining of formalin-fixed tissues requires heating tissue sections in 10mM Tris with 1mM EDTA, pH 9.0, for 45 min at 95C followed by cooling at RT for 20 minutes.

Formulation, Preparation, and Storage

Purification

Protein A or G purified

Formulation

10 mM PBS

Format

Azide and BSA Free

Preservative

No Preservative

Concentration

1 mg/ml

Shipping

The product is shipped with polar packs. Upon receipt, store it immediately at the temperature recommended below.

Stability & Storage

Store at -20 to -80C. Avoid freeze-thaw cycles.

Background: Ferritin Heavy Chain

This gene encodes the heavy subunit of ferritin, the major intracellular iron storage protein in prokaryotes and eukaryotes. It is composed of 24 subunits of the heavy and light ferritin chains. Variation in ferritin subunit composition may affect the rates of iron uptake and release in different tissues. A major function of ferritin is the storage of iron in a soluble and nontoxic state. Defects in ferritin proteins are associated with several neurodegenerative diseases. This gene has multiple pseudogenes. Several alternatively spliced transcript variants have been observed, but their biological validity has not been determined. [provided by RefSeq, Jul 2008]

Alternate Names

apoferritin, Cell proliferation-inducing gene 15 protein, Ferritin H subunit, ferritin heavy chain, ferritin, heavy polypeptide 1, FHC, FTHEC 1.16.3.1, FTHL6MGC104426, PIG15, placenta immunoregulatory factor, PLIF, proliferation-inducing protein 15

Gene Symbol

FTH1

Additional Ferritin Heavy Chain Products

Product Documents for Ferritin Heavy Chain Antibody (FTH/2081) - Azide and BSA Free

Certificate of Analysis

To download a Certificate of Analysis, please enter a lot number in the search box below.

Product Specific Notices for Ferritin Heavy Chain Antibody (FTH/2081) - Azide and BSA Free

This product is for research use only and is not approved for use in humans or in clinical diagnosis. Primary Antibodies are guaranteed for 1 year from date of receipt.

Loading...
Loading...
Loading...
Loading...