Skip to main content

Ferritin Heavy Chain Antibody (FTH/2081)

Novus Biologicals, part of Bio-Techne | Catalog # NBP3-07795

Novus Biologicals, part of Bio-Techne
Catalog #
Availability
Size / Price
Qty
Loading...
NBP3-07795-100ug
NBP3-07795-20ug

Key Product Details

Species Reactivity

Human

Applications

Immunohistochemistry-Paraffin, Western Blot

Label

Unconjugated

Antibody Source

Monoclonal Mouse IgG2c Kappa Clone # FTH/2081

Concentration

0.2 mg/ml

Product Specifications

Immunogen

Recombinant human FTH1 protein fragment (around aa 58-180) (exact sequence is proprietary) (exact sequence is proprietary) (Uniprot: P02794)

Localization

Cytoplasmic

Marker

Microglia Marker

Clonality

Monoclonal

Host

Mouse

Isotype

IgG2c Kappa

Theoretical MW

21 kDa.
Disclaimer note: The observed molecular weight of the protein may vary from the listed predicted molecular weight due to post translational modifications, post translation cleavages, relative charges, and other experimental factors.

Description

200ug/ml of antibody purified from Bioreactor Concentrate by Protein A or G. Prepared in 10 mM PBS with 0.05% BSA & 0.05% azide. Also available WITHOUT BSA & azide at 1.0 mg/ml. (NBP3-08581)

Antibody with azide - store at 2 to 8C. Antibody without azide - store at -20 to -80C.

Scientific Data Images for Ferritin Heavy Chain Antibody (FTH/2081)

Western Blot: Ferritin Antibody (FTH/2081) [NBP3-07795]

Western Blot: Ferritin Heavy Chain Antibody (FTH/2081) [NBP3-07795]

Western Blot: Ferritin Heavy Chain Antibody (FTH/2081) [NBP3-07795] - Western Blot of HeLa, cell lysate using Ferritin Heavy Chain Mouse Monoclonal Antibody (FTH/2081).
Immunohistochemistry-Paraffin: Ferritin Antibody (FTH/2081) [NBP3-07795]

Immunohistochemistry-Paraffin: Ferritin Heavy Chain Antibody (FTH/2081) [NBP3-07795]

Immunohistochemistry-Paraffin:Ferritin Heavy Chain Antibody (FTH/2081) [NBP3-07795] - Formalin-fixed, paraffin-embedded human pancreas stained with Ferritin Heavy Chain Mouse Monoclonal Antibody (FTH/2081). Confirmation of Purity and Integrity of Antibody.
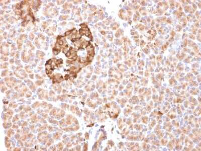
Immunohistochemistry-Paraffin: Ferritin Antibody (FTH/2081) [NBP3-07795]

Immunohistochemistry-Paraffin: Ferritin Heavy Chain Antibody (FTH/2081) [NBP3-07795]

Immunohistochemistry-Paraffin: Ferritin Heavy Chain Antibody (FTH/2081) [NBP3-07795] - Formalin-fixed, paraffin-embedded human pancreas stained with Ferritin Heavy Chain Mouse Monoclonal Antibody (FTH/2081). Confirmation of Purity and Integrity of Antibody.

Applications for Ferritin Heavy Chain Antibody (FTH/2081)

Application
Recommended Usage

Immunohistochemistry-Paraffin

0.1-0.2 ug/ml

Western Blot

1-2 ug/ml
Application Notes
Immunohistochemistry (Formalin-fixed): 0.1-0.2ug/ml for 30 min at RT. Staining of formalin-fixed tissues requires heating tissue sections in 10mM Tris with 1mM EDTA, pH 9.0, for 45 min at 95C followed by cooling at RT for 20 minutes.
Optimal dilution for a specific application should be determined.

Formulation, Preparation, and Storage

Purification

Protein A or G purified

Formulation

10 mM PBS with 0.05% BSA

Preservative

0.05% Sodium Azide

Concentration

0.2 mg/ml

Shipping

The product is shipped with polar packs. Upon receipt, store it immediately at the temperature recommended below.

Stability & Storage

Store at 4C.

Background: Ferritin Heavy Chain

This gene encodes the heavy subunit of ferritin, the major intracellular iron storage protein in prokaryotes and eukaryotes. It is composed of 24 subunits of the heavy and light ferritin chains. Variation in ferritin subunit composition may affect the rates of iron uptake and release in different tissues. A major function of ferritin is the storage of iron in a soluble and nontoxic state. Defects in ferritin proteins are associated with several neurodegenerative diseases. This gene has multiple pseudogenes. Several alternatively spliced transcript variants have been observed, but their biological validity has not been determined. [provided by RefSeq, Jul 2008]

Alternate Names

apoferritin, Cell proliferation-inducing gene 15 protein, Ferritin H subunit, ferritin heavy chain, ferritin, heavy polypeptide 1, FHC, FTHEC 1.16.3.1, FTHL6MGC104426, PIG15, placenta immunoregulatory factor, PLIF, proliferation-inducing protein 15

Gene Symbol

FTH1

UniProt

Additional Ferritin Heavy Chain Products

Product Documents for Ferritin Heavy Chain Antibody (FTH/2081)

Certificate of Analysis

To download a Certificate of Analysis, please enter a lot number in the search box below.

Product Specific Notices for Ferritin Heavy Chain Antibody (FTH/2081)

This product is for research use only and is not approved for use in humans or in clinical diagnosis. Primary Antibodies are guaranteed for 1 year from date of receipt.

Loading...
Loading...
Loading...
Loading...