FAM188B Antibody - BSA Free
Novus Biologicals, part of Bio-Techne | Catalog # NBP1-91239
Key Product Details
Species Reactivity
Human
Applications
Immunohistochemistry, Immunohistochemistry-Paraffin
Label
Unconjugated
Antibody Source
Polyclonal Rabbit IgG
Format
BSA Free
Concentration
Concentrations vary lot to lot. See vial label for concentration. If unlisted please contact technical services.
Product Specifications
Immunogen
This antibody was developed against Recombinant Protein corresponding to amino acids: TTLVNIYDLSDEDAGWRTSLSETSKARHDNLDGDVLGNFVSSKRPPHKSKPMQTVPGETPVLTSAWEKIDKLHSEPSLDVKRMGENSRPKSGLIV
Clonality
Polyclonal
Host
Rabbit
Isotype
IgG
Scientific Data Images for FAM188B Antibody - BSA Free
Immunohistochemistry-Paraffin: FAM188B Antibody [NBP1-91239]
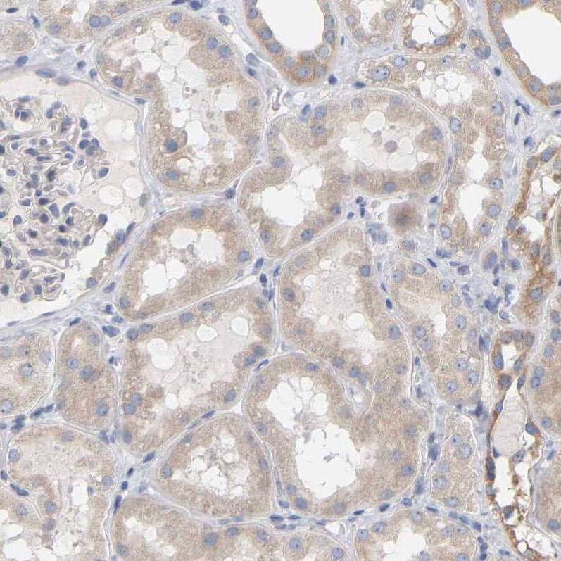
Immunohistochemistry-Paraffin: FAM188B Antibody [NBP1-91239] - Staining of human kidney shows moderate cytoplasmic positivity in cells in tubules.Immunohistochemistry: FAM188B Antibody - BSA Free [NBP1-91239]
Staining of human kidney shows moderate cytoplasmic positivity in cells in tubules.Immunohistochemistry: FAM188B Antibody - BSA Free [NBP1-91239]
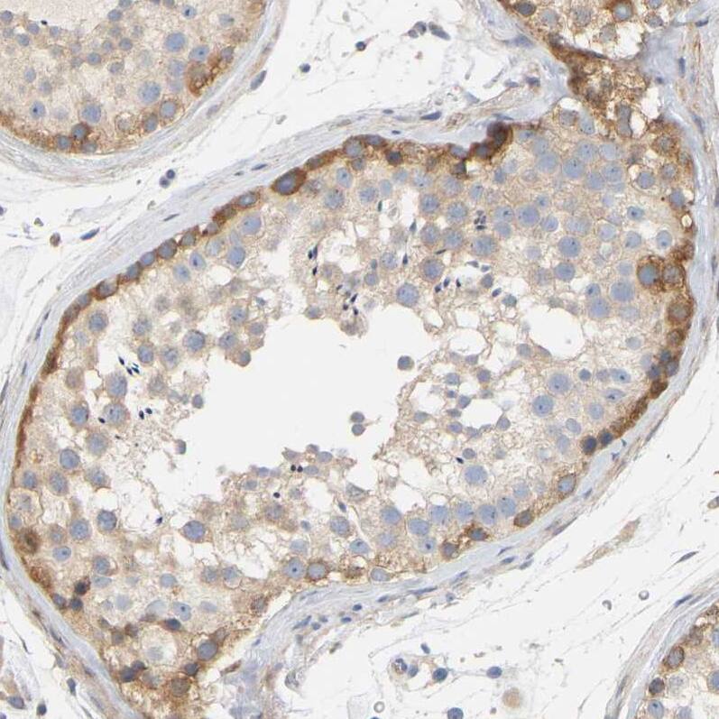
Staining of human testis shows strong cytoplasmic positivity in spermatogonia.Applications for FAM188B Antibody - BSA Free
Application
Recommended Usage
Immunohistochemistry
1:50 - 1:200
Immunohistochemistry-Paraffin
1:50 - 1:200
Application Notes
For IHC-Paraffin, HIER pH 6 retrieval is recommended.
Formulation, Preparation, and Storage
Purification
Affinity purified
Formulation
PBS (pH 7.2) and 40% Glycerol
Format
BSA Free
Preservative
0.02% Sodium Azide
Concentration
Concentrations vary lot to lot. See vial label for concentration. If unlisted please contact technical services.
Shipping
The product is shipped with polar packs. Upon receipt, store it immediately at the temperature recommended below.
Stability & Storage
Store at 4C short term. Aliquot and store at -20C long term. Avoid freeze-thaw cycles.
Background: FAM188B
Alternate Names
family with sequence similarity 188, member B, FLJ22374, hypothetical protein LOC84182, MGC44277
Gene Symbol
MINDY4
Additional FAM188B Products
Product Documents for FAM188B Antibody - BSA Free
Product Specific Notices for FAM188B Antibody - BSA Free
This product is for research use only and is not approved for use in humans or in clinical diagnosis. Primary Antibodies are guaranteed for 1 year from date of receipt.
Loading...
Loading...
Loading...
Loading...