Skip to main content

FALDH Antibody (OTI2A7)

Novus Biologicals, part of Bio-Techne | Catalog # NBP2-01017

Novus Biologicals, part of Bio-Techne
Catalog #
Availability
Size / Price
Qty
Loading...
NBP2-01017

Key Product Details

Species Reactivity

Human, Rat

Applications

Flow Cytometry, Immunohistochemistry, Immunohistochemistry-Paraffin, Western Blot

Label

Unconjugated

Antibody Source

Monoclonal Mouse IgG2B Clone # OTI2A7

Concentration

0.62 mg/ml

Product Specifications

Immunogen

Full length human recombinant protein of human ALDH3A2(NP_001026976) produced in HEK293T cell.

Clonality

Monoclonal

Host

Mouse

Isotype

IgG2B

Theoretical MW

57.5 kDa.
Disclaimer note: The observed molecular weight of the protein may vary from the listed predicted molecular weight due to post translational modifications, post translation cleavages, relative charges, and other experimental factors.

Description

Novus Biologicals Mouse FALDH Antibody (OTI2A7) (NBP2-01017) is a monoclonal antibody validated for use in IHC, WB and Flow. All Novus Biologicals antibodies are covered by our 100% guarantee.

Scientific Data Images for FALDH Antibody (OTI2A7)

Western Blot: FALDH Antibody (OTI2A7) [NBP2-01017]

Western Blot: FALDH Antibody (OTI2A7) [NBP2-01017]

Western Blot: FALDH Antibody (2A7) [NBP2-01017] - HEK293T cells were transfected with the pCMV6-ENTRY control (Left lane) or pCMV6-ENTRY FALDH (Right lane) cDNA for 48 hrs and lysed. Equivalent amounts of cell lysates (5 ug per lane) were separated by SDS-PAGE and immunoblotted with anti-FALDH.
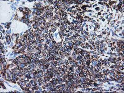
Immunohistochemistry-Paraffin: FALDH Antibody (2A7) [NBP2-01017] Staining of paraffin-embedded Human endometrium tissue using anti-FALDH mouse monoclonal antibody.
Flow Cytometry: FALDH Antibody (OTI2A7) [NBP2-01017]

Flow Cytometry: FALDH Antibody (OTI2A7) [NBP2-01017]

Flow Cytometry: FALDH Antibody (2A7) [NBP2-01017] - HEK293T cells transfected with either overexpression plasmid (Red) or empty vector control plasmid (Blue) were immunostained by anti-FALDH antibody, and then analyzed by flow cytometry.

Applications for FALDH Antibody (OTI2A7)

Application
Recommended Usage

Flow Cytometry

1:100

Immunohistochemistry

1:150

Immunohistochemistry-Paraffin

1:150

Western Blot

1:500

Formulation, Preparation, and Storage

Purification

Immunogen affinity purified

Formulation

PBS (pH 7.3), 1.0% BSA and 50% Glycerol

Preservative

0.02% Sodium Azide

Concentration

0.62 mg/ml

Shipping

The product is shipped with polar packs. Upon receipt, store it immediately at the temperature recommended below.

Stability & Storage

Store at -20C. Avoid freeze-thaw cycles.

Background: FALDH

Aldehyde dehydrogenase isozymes are thought to play a major role in the detoxification of aldehydes generated by alcohol metabolism and lipid peroxidation. This gene product catalyzes the oxidation of long-chain aliphatic aldehydes to fatty acid. Mutations in the gene cause Sjogren-Larsson syndrome. Alternatively spliced transcript variants encoding different isoforms have been found for this gene. [provided by RefSeq].

Alternate Names

Aldehyde dehydrogenase 10, aldehyde dehydrogenase 3 family, member A2, Aldehyde dehydrogenase family 3 member A2, ALDH10FLJ20851, EC 1.2.1, EC 1.2.1.3, FALDHDKFZp686E23276, fatty aldehyde dehydrogenase, Microsomal aldehyde dehydrogenase, SLS

Entrez Gene IDs

224 (Human)

Gene Symbol

ALDH3A2

Additional FALDH Products

Product Documents for FALDH Antibody (OTI2A7)

Certificate of Analysis

To download a Certificate of Analysis, please enter a lot number in the search box below.

Product Specific Notices for FALDH Antibody (OTI2A7)

This product is for research use only and is not approved for use in humans or in clinical diagnosis. Primary Antibodies are guaranteed for 1 year from date of receipt.

Loading...
Loading...
Loading...
Loading...
Loading...