Skip to main content

FAF1 Antibody (OTI10D1) - Azide and BSA Free

Novus Biologicals, part of Bio-Techne | Catalog # NBP2-71679

Novus Biologicals, part of Bio-Techne

Key Product Details

Species Reactivity

Human, Mouse, Rat

Applications

Immunohistochemistry, Immunohistochemistry-Paraffin, Western Blot

Label

Unconjugated

Antibody Source

Monoclonal Mouse IgG1 Clone # OTI10D1

Format

Azide and BSA Free

Concentration

LYOPH mg/ml

Product Specifications

Immunogen

Human recombinant protein fragment corresponding to amino acids 415-650 of human FAF1 (NP_008982) produced in E.coli.

Reactivity Notes

Please note that this antibody is reactive to Mouse and derived from the same host, Mouse. Mouse-On-Mouse blocking reagent may be needed for IHC and ICC experiments to reduce high background signal. You can find these reagents under catalog numbers PK-2200-NB and MP-2400-NB. Please contact Technical Support if you have any questions.

Clonality

Monoclonal

Host

Mouse

Isotype

IgG1

Description

Novus Biologicals Mouse FAF1 Antibody (OTI10D1) - Azide and BSA Free (NBP2-45565) is a monoclonal antibody validated for use in IHC and WB. All Novus Biologicals antibodies are covered by our 100% guarantee.

Scientific Data Images for FAF1 Antibody (OTI10D1) - Azide and BSA Free

Western Blot: FAF1 Antibody (OTI10D1)Azide and BSA Free [NBP2-71679]

Western Blot: FAF1 Antibody (OTI10D1)Azide and BSA Free [NBP2-71679]

Western Blot: FAF1 Antibody (OTI10D1) - Azide and BSA Free [NBP2-71679] - Analysis of HEK293T cells were transfected with the pCMV6-ENTRY control (Left lane) or pCMV6-ENTRY FAF1.
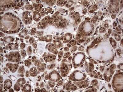
Immunohistochemistry: FAF1 Antibody (OTI10D1) - Azide and BSA Free [NBP2-71679]

Immunohistochemistry: FAF1 Antibody (OTI10D1) - Azide and BSA Free [NBP2-71679]

Immunohistochemistry: FAF1 Antibody (OTI10D1) - Azide and BSA Free [NBP2-71679] - Analysis of Human pancreas tissue.
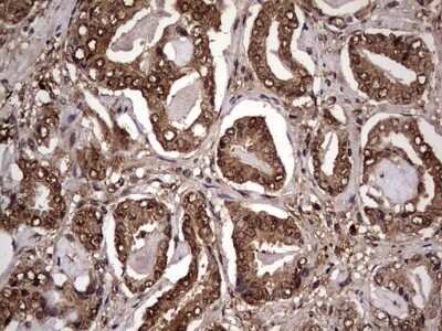
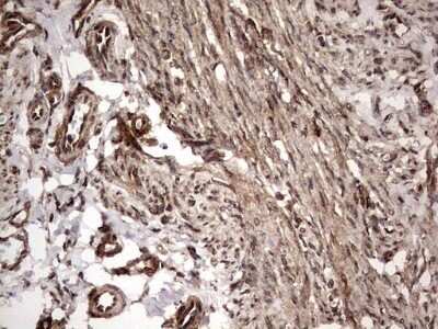
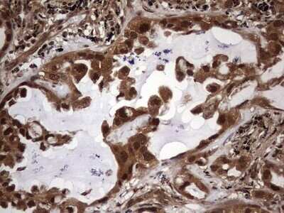
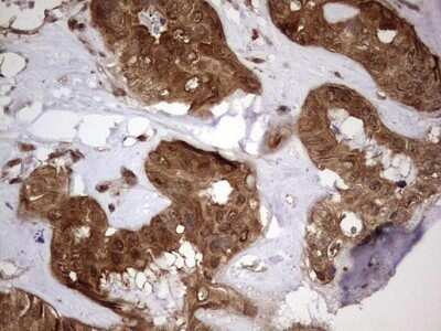
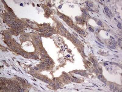
Immunohistochemistry: FAF1 Antibody (OTI10D1) - Azide and BSA Free [NBP2-71679]

Immunohistochemistry: FAF1 Antibody (OTI10D1) - Azide and BSA Free [NBP2-71679]

Immunohistochemistry: FAF1 Antibody (OTI10D1) - Azide and BSA Free [NBP2-71679] - Analysis of Adenocarcinoma of Human breast tissue.

Applications for FAF1 Antibody (OTI10D1) - Azide and BSA Free

Application
Recommended Usage

Western Blot

1:2000

Formulation, Preparation, and Storage

Purification

Immunogen affinity purified

Reconstitution

we recommend adding 100uL distilled water to a final antibody concentration of about 1 mg/mL. To use this carrier-free antibody for conjugation experiment, we strongly recommend performing another round of desalting process.

Formulation

Lyophilized from PBS (pH 7.3) with 8% Trehalose

Format

Azide and BSA Free

Preservative

No Preservative

Concentration

LYOPH mg/ml

Shipping

The product is shipped with polar packs. Upon receipt, store it immediately at the temperature recommended below.

Stability & Storage

Store at -20C. Avoid freeze-thaw cycles.

Background: FAF1

Interaction of Fas ligand (TNFSF6) with the FAS antigen (TNFRSF6) mediates programmed cell death, also called apoptosis, in a number of organ systems. The protein encoded by this gene binds to FAS antigen and can initiate apoptosis or enhance apoptosis initiated through FAS antigen. Initiation of apoptosis by the protein encoded by this gene requires a ubiquitin-like domain but not the FAS-binding domain. [provided by RefSeq]

Alternate Names

CGI-03, Fas (TNFRSF6) associated factor 1, HFAF1s, TNFRSF6-associated factor 1, UBX domain protein 3A, UBX domain-containing protein 12, UBX domain-containing protein 3A, UBXD12FLJ37524, UBXN3AhFAF1FAS-associated factor 1

Gene Symbol

FAF1

Additional FAF1 Products

Product Documents for FAF1 Antibody (OTI10D1) - Azide and BSA Free

Certificate of Analysis

To download a Certificate of Analysis, please enter a lot number in the search box below.

Product Specific Notices for FAF1 Antibody (OTI10D1) - Azide and BSA Free

This product is for research use only and is not approved for use in humans or in clinical diagnosis. Primary Antibodies are guaranteed for 1 year from date of receipt.

Loading...
Loading...
Loading...
Loading...
Loading...