Skip to main content

FAF1 Antibody (OTI10D1)

Novus Biologicals, part of Bio-Techne | Catalog # NBP2-45565

Novus Biologicals, part of Bio-Techne
Catalog #
Availability
Size / Price
Qty
Loading...
NBP2-45565

Key Product Details

Species Reactivity

Human, Mouse, Rat

Applications

Immunohistochemistry, Immunohistochemistry-Paraffin, Western Blot

Label

Unconjugated

Antibody Source

Monoclonal Mouse IgG1 Clone # OTI10D1

Concentration

1 mg/ml

Product Specifications

Immunogen

Human recombinant protein fragment corresponding to amino acids 415-650 of human FAF1 (NP_008982) produced in E.coli.

Reactivity Notes

Please note that this antibody is reactive to Mouse and derived from the same host, Mouse. Mouse-On-Mouse blocking reagent may be needed for IHC and ICC experiments to reduce high background signal. You can find these reagents under catalog numbers PK-2200-NB and MP-2400-NB. Please contact Technical Support if you have any questions.

Clonality

Monoclonal

Host

Mouse

Isotype

IgG1

Description

Novus Biologicals Mouse FAF1 Antibody (OTI10D1) (NBP2-45565) is a monoclonal antibody validated for use in IHC and WB. All Novus Biologicals antibodies are covered by our 100% guarantee.

Scientific Data Images for FAF1 Antibody (OTI10D1)

Western Blot: FAF1 Antibody (OTI10D1) [NBP2-45565]

Western Blot: FAF1 Antibody (OTI10D1) [NBP2-45565]

Western Blot: FAF1 Antibody (10D1) [NBP2-45565] - Analysis of HEK293T cells were transfected with the pCMV6-ENTRY control (Left lane) or pCMV6-ENTRY FAF1.
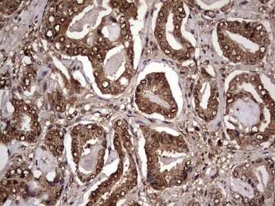
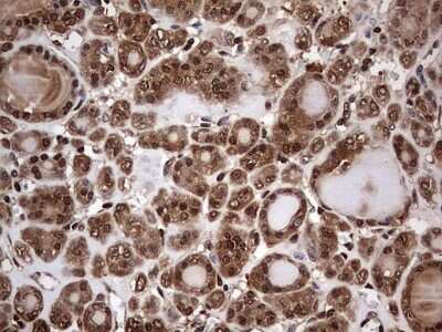
Immunohistochemistry: FAF1 Antibody (OTI10D1) [NBP2-45565]

Immunohistochemistry: FAF1 Antibody (OTI10D1) [NBP2-45565]

Immunohistochemistry: FAF1 Antibody (10D1) [NBP2-45565] - Analysis of Human lymphoma tissue.
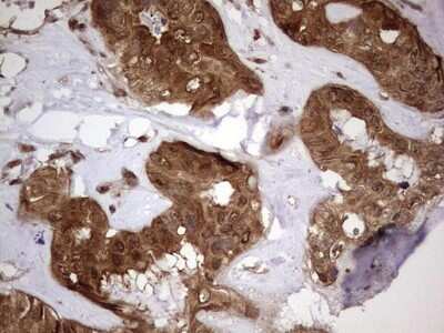
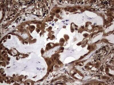
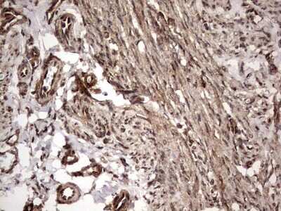
Immunohistochemistry: FAF1 Antibody (OTI10D1) [NBP2-45565]

Immunohistochemistry: FAF1 Antibody (OTI10D1) [NBP2-45565]

Immunohistochemistry: FAF1 Antibody (10D1) [NBP2-45565] - Analysis of Human breast tissue.

Applications for FAF1 Antibody (OTI10D1)

Application
Recommended Usage

Immunohistochemistry

1:150

Western Blot

1:2000

Formulation, Preparation, and Storage

Purification

Immunogen affinity purified

Formulation

PBS (pH 7.3), 1.0% BSA and 50% Glycerol

Preservative

0.02% Sodium Azide

Concentration

1 mg/ml

Shipping

The product is shipped with polar packs. Upon receipt, store it immediately at the temperature recommended below.

Stability & Storage

Store at -20C. Avoid freeze-thaw cycles.

Background: FAF1

Interaction of Fas ligand (TNFSF6) with the FAS antigen (TNFRSF6) mediates programmed cell death, also called apoptosis, in a number of organ systems. The protein encoded by this gene binds to FAS antigen and can initiate apoptosis or enhance apoptosis initiated through FAS antigen. Initiation of apoptosis by the protein encoded by this gene requires a ubiquitin-like domain but not the FAS-binding domain. [provided by RefSeq]

Alternate Names

CGI-03, Fas (TNFRSF6) associated factor 1, HFAF1s, TNFRSF6-associated factor 1, UBX domain protein 3A, UBX domain-containing protein 12, UBX domain-containing protein 3A, UBXD12FLJ37524, UBXN3AhFAF1FAS-associated factor 1

Gene Symbol

FAF1

Additional FAF1 Products

Product Documents for FAF1 Antibody (OTI10D1)

Certificate of Analysis

To download a Certificate of Analysis, please enter a lot number in the search box below.

Product Specific Notices for FAF1 Antibody (OTI10D1)

This product is for research use only and is not approved for use in humans or in clinical diagnosis. Primary Antibodies are guaranteed for 1 year from date of receipt.

Loading...
Loading...
Loading...
Loading...