Skip to main content

Factor XIIIa Antibody (F13A1/3772R) - Azide and BSA Free

Novus Biologicals, part of Bio-Techne | Catalog # NBP3-08933

Recombinant Monoclonal Antibody
Novus Biologicals, part of Bio-Techne

Key Product Details

Species Reactivity

Human

Applications

Immunohistochemistry-Paraffin

Label

Unconjugated

Antibody Source

Recombinant Monoclonal Rabbit IgG Clone # F13A1/3772R

Format

Azide and BSA Free

Concentration

1 mg/ml

Product Specifications

Immunogen

Recombinant fragment of human Factor XIIIa protein (aa46-181) (exact sequence is proprietary) (Uniprot: P00488)

Localization

Cytoplasmic and Secreted

Specificity

It recognizes a protein of 83kDa, which is identified as Factor XIIIa. It has been identified in platelets, megakaryocytes, and fibroblast-like mesenchymal or histiocytic cells in the placenta, uterus, and prostate, monocytes and macrophages and dermal dendritic cells. Anti-factor XIIIa has been found to be useful in differentiating between dermatofibroma (almost all cases are positive), dermatofibrosarcoma protuberans (-/+) and desmoplastic malignant melanoma (-). Anti-factor XIIIa positivity is also seen in capillary hemagioblastoma, hemangioendothelioma, hemangiopericytoma, xanthogranuloma, xanthoma, hepatocellular carcinoma, glomus tumor, and meningioma.

Clonality

Monoclonal

Host

Rabbit

Isotype

IgG

Theoretical MW

83 kDa.
Disclaimer note: The observed molecular weight of the protein may vary from the listed predicted molecular weight due to post translational modifications, post translation cleavages, relative charges, and other experimental factors.

Description

1.0 mg/ml of antibody purified from Bioreactor Concentrate by Protein A/G. Prepared in 10mM PBS WITHOUT BSA & azide. Also available at 200 ug/ml WITH BSA & azide (NBP3-07188).

Antibody with azide - store at 2 to 8C. Antibody without azide - store at -20 to -80C.

Scientific Data Images for Factor XIIIa Antibody (F13A1/3772R) - Azide and BSA Free

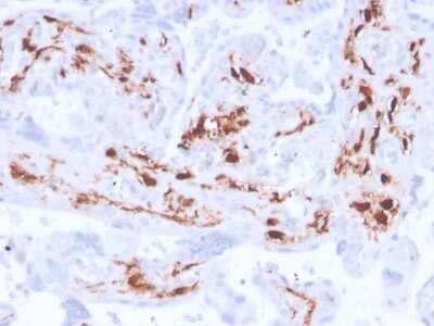
Immunohistochemistry-Paraffin: Factor XIIIa Antibody (F13A1/3772R) - Azide and BSA Free [NBP3-08933]

Immunohistochemistry-Paraffin: Factor XIIIa Antibody (F13A1/3772R) - Azide and BSA Free [NBP3-08933]

Immunohistochemistry-Paraffin: Factor XIIIa Antibody (F13A1/3772R) - Azide and BSA Free [NBP3-08933] - Formalin-fixed, paraffin-embedded human placenta stained with Factor XIIIa Recombinant Rabbit Monoclonal Antibody (F13A1/3772R).
Immunohistochemistry-Paraffin: Factor XIIIa Antibody (F13A1/3772R) - Azide and BSA Free [NBP3-08933]

Immunohistochemistry-Paraffin: Factor XIIIa Antibody (F13A1/3772R) - Azide and BSA Free [NBP3-08933]

Immunohistochemistry-Paraffin: Factor XIIIa Antibody (F13A1/3772R) - Azide and BSA Free [NBP3-08933] - Formalin-fixed, paraffin-embedded human placenta stained with Factor XIIIa Recombinant Rabbit Monoclonal Antibody (F13A1/3772R).

Applications for Factor XIIIa Antibody (F13A1/3772R) - Azide and BSA Free

Application
Recommended Usage

Immunohistochemistry-Paraffin

1-2 ug/ml
Application Notes
Immunohistochemistry Formalin-fixed: 1-2ug/ml for 30 minutes at RT. Staining of formalin-fixed tissues requires heating tissue sections in 10mM Tris with 1mM EDTA, pH 9.0, for 45 min at 95C followed by cooling at RT for 20 minutes.

Formulation, Preparation, and Storage

Purification

Protein A or G purified

Formulation

10 mM PBS

Format

Azide and BSA Free

Preservative

No Preservative

Concentration

1 mg/ml

Shipping

The product is shipped with polar packs. Upon receipt, store it immediately at the temperature recommended below.

Stability & Storage

Store at -20 to -80C. Avoid freeze-thaw cycles.

Background: F13A1

Factor XIII is a beta globulin found in plasma and is composed of two subunits. Coagulation factor XIII is the last zymogen to become activated in the blood coagulation cascade. Factor XIII A is the catalytic subunit and is a dimmer of molecular weight 160kDa. The B subunits do not have enzymatic activity and may serve as a plasma carrier molecules. Platelet factor XIII is comprised only of 2 A subunits, which are identical to those of plasma origin. Upon activation by the cleavage of the activation peptide by thrombin and in the presence of calcium ion, the plasma factor XIII dissociates its B subunits and yields the same active enzyme, factor XIII A, as platelet factor XIII. This enzyme acts as a transglutaminase to catalyze the formation of gamma-glutamyl-epsilon-lysine crosslinking between fibrin molecules, thus stabilizing the fibrin clot. It also crosslinks alpha-2-plasmin inhibitor, or fibronectin, to the alpha chains of fibrin. Factor XIII deficiency is classified into two categories: type I deficiency, characterized by the lack of both the A and B subunits; and type II deficiency, characterized by the lack of the A subunit alone. These defects can result in a lifelong bleeding tendency, defective wound healing, and habitual abortion. Factor XIII A is a dermal dendrocyte marker and shows variable reaction with these types of tumors. It can be used for histiocytic phenotyping and has been reported to mark capillary hemangiomas and tumors of the central nervous system.

Long Name

Coagulation Factor XIII, A1 Polypeptide

Alternate Names

F13A, FSF, A Subunit

Gene Symbol

F13A1

Additional F13A1 Products

Product Documents for Factor XIIIa Antibody (F13A1/3772R) - Azide and BSA Free

Certificate of Analysis

To download a Certificate of Analysis, please enter a lot number in the search box below.

Product Specific Notices for Factor XIIIa Antibody (F13A1/3772R) - Azide and BSA Free

This product is for research use only and is not approved for use in humans or in clinical diagnosis. Primary Antibodies are guaranteed for 1 year from date of receipt.

Loading...
Loading...
Loading...
Loading...