Skip to main content

FABP7/B-FABP Antibody (CL0236) - Azide and BSA Free

Novus Biologicals, part of Bio-Techne | Catalog # NBP3-43995

Novus Biologicals, part of Bio-Techne

Key Product Details

Validated by

Orthogonal Validation

Species Reactivity

Human

Applications

Immunohistochemistry-Paraffin, Western Blot

Label

Unconjugated

Antibody Source

Monoclonal Mouse IgG1 Clone # CL0236

Format

Azide and BSA Free

Concentration

LYOPH mg/ml

Product Specifications

Immunogen

This antibody was generated using a recombinant protein sequence of O15540, with the exact immunogen sequence remaining proprietary.

Clonality

Monoclonal

Host

Mouse

Isotype

IgG1

Description

Novus Biologicals Mouse FABP7/B-FABP Antibody (CL0236) - Azide and BSA Free (NBP2-52889) is a monoclonal antibody validated for use in IHC and WB. All Novus Biologicals antibodies are covered by our 100% guarantee.

Scientific Data Images for FABP7/B-FABP Antibody (CL0236) - Azide and BSA Free

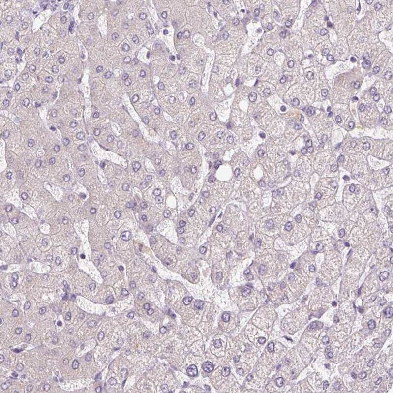
FABP7/B-FABP Antibody (CL0236) - Azide and BSA Free Immunohistochemistry-Paraffin: FABP7/B-FABP Antibody [NBP3-43995]

Immunohistochemistry-Paraffin: FABP7/B-FABP Antibody [NBP3-43995]

Analysis in human cerebral cortex and liver tissues using NBP3-43995 antibody. Corresponding FABP7/B-FABP RNA-seq data are presented for the same tissues.
FABP7/B-FABP Antibody (CL0236) - Azide and BSA Free Western Blot: FABP7/B-FABP Antibody [NBP3-43995]

Western Blot: FABP7/B-FABP Antibody [NBP3-43995]

Lane 1: Marker [kDa]
Lane 2: Human cell line U-251 MG
FABP7/B-FABP Antibody (CL0236) - Azide and BSA Free Immunohistochemistry-Paraffin: FABP7/B-FABP Antibody [NBP3-43995]

Immunohistochemistry-Paraffin: FABP7/B-FABP Antibody [NBP3-43995]

Staining of human cerebral cortex shows strong cytoplasmic positivity in a subset of cells in molecular layer.

Applications for FABP7/B-FABP Antibody (CL0236) - Azide and BSA Free

Application
Recommended Usage

Immunohistochemistry-Paraffin

1:200 - 1:500

Western Blot

1 ug/ml
Application Notes
For IHC-Paraffin, HIER pH 6 retrieval is recommended.

Formulation, Preparation, and Storage

Purification

Protein A purified

Reconstitution

Centrifuge the vial of lyophilized antibody at 12,000 x g for 20 seconds. Reconstitute by adding sterile, distilled water to achieve a final antibody concentration of 1mg/ml.

Formulation

Lyophilized from a 0.2 um filtered solution in PBS with Trehalose

Format

Azide and BSA Free

Preservative

No Preservative

Concentration

LYOPH mg/ml

Shipping

The product is shipped at ambient temperature. Upon receipt, store it immediately at the temperature recommended below.

Stability & Storage

Store at 4C short term. Aliquot and store at -20C long term. Avoid freeze-thaw cycles.

Background: FABP7/B-FABP

The protein encoded by this gene is a brain fatty acid binding protein. Fatty acid binding proteins (FABPs) are a family of small, highly conserved, cytoplasmic proteins that bind long-chain fatty acids and other hydrophobic ligands. FABPs are thought to play roles in fatty acid uptake, transport, and metabolism. [provided by RefSeq]

Long Name

Fatty Acid-Binding Protein 7

Alternate Names

B-FABP, BFABP, BLBP

Gene Symbol

FABP7

Additional FABP7/B-FABP Products

Product Documents for FABP7/B-FABP Antibody (CL0236) - Azide and BSA Free

Certificate of Analysis

To download a Certificate of Analysis, please enter a lot number in the search box below.

Product Specific Notices for FABP7/B-FABP Antibody (CL0236) - Azide and BSA Free

This product is for research use only and is not approved for use in humans or in clinical diagnosis. Primary Antibodies are guaranteed for 1 year from date of receipt.

Loading...
Loading...
Loading...
Loading...
Loading...