Skip to main content

FABP7/B-FABP Antibody (CL0236) - BSA Free

Novus Biologicals, part of Bio-Techne | Catalog # NBP2-52889

Novus Biologicals, part of Bio-Techne
Catalog #
Availability
Size / Price
Qty
Loading...
NBP2-52889
NBP2-52889-25ul

Key Product Details

Validated by

Orthogonal Validation

Species Reactivity

Validated:

Human

Predicted:

Rat (90%). Backed by our 100% Guarantee.

Applications

Immunohistochemistry, Immunohistochemistry-Paraffin, Western Blot

Label

Unconjugated

Antibody Source

Monoclonal Mouse IgG1 Clone # CL0236

Format

BSA Free

Concentration

Concentrations vary lot to lot. See vial label for concentration. If unlisted please contact technical services.

Product Specifications

Immunogen

This antibody was developed using a recombinant protein derived from O15540, with the exact immunogen sequence remaining proprietary.

Reactivity Notes

Immunogen displays the following percentage of sequence identity for non-tested species: Mouse (89%).

Clonality

Monoclonal

Host

Mouse

Isotype

IgG1

Description

Novus Biologicals Mouse FABP7/B-FABP Antibody (CL0236) - BSA Free (NBP2-52889) is a monoclonal antibody validated for use in IHC and WB. All Novus Biologicals antibodies are covered by our 100% guarantee.

Scientific Data Images for FABP7/B-FABP Antibody (CL0236) - BSA Free

FABP7/B-FABP Antibody (CL0236) FABP7/B-FABP Antibody (CL0236)

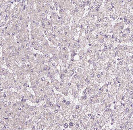
FABP7/B-FABP Antibody (CL0236) [NBP2-52889] - Analysis in human cerebral cortex and liver tissues using antibody. Corresponding FABP7 RNA-seq data are presented for the same tissues.

FABP7/B-FABP Antibody (CL0236) [NBP2-52889] - Analysis in human cerebral cortex and liver tissues using antibody. Corresponding FABP7 RNA-seq data are presented for the same tissues.
Western Blot: FABP7/B-FABP Antibody (CL0236) [NBP2-52889]

Western Blot: FABP7/B-FABP Antibody (CL0236) [NBP2-52889]

Western Blot: FABP7/B-FABP Antibody (CL0236) [NBP2-52889] - Lane 1: Marker [kDa] Lane 2: Human cell line U-251 MG
FABP7/B-FABP Antibody (CL0236) FABP7/B-FABP Antibody (CL0236)

FABP7/B-FABP Antibody (CL0236) [NBP2-52889] - Staining of human cerebral cortex shows moderate to strong cytoplasmic positivity in glial cells.

FABP7/B-FABP Antibody (CL0236) [NBP2-52889] - Staining of human cerebral cortex shows moderate to strong cytoplasmic positivity in glial cells.

Applications for FABP7/B-FABP Antibody (CL0236) - BSA Free

Application
Recommended Usage

Immunohistochemistry

1:200 - 1:500

Immunohistochemistry-Paraffin

1:200 - 1:500

Western Blot

1 ug/ml
Application Notes
For IHC-Paraffin, HIER pH 6 retrieval is recommended.

Formulation, Preparation, and Storage

Purification

Protein A purified

Formulation

PBS (pH 7.2) and 40% Glycerol

Format

BSA Free

Preservative

0.02% Sodium Azide

Concentration

Concentrations vary lot to lot. See vial label for concentration. If unlisted please contact technical services.

Shipping

The product is shipped with polar packs. Upon receipt, store it immediately at the temperature recommended below.

Stability & Storage

Store at 4C short term. Aliquot and store at -20C long term. Avoid freeze-thaw cycles.

Background: FABP7/B-FABP

The protein encoded by this gene is a brain fatty acid binding protein. Fatty acid binding proteins (FABPs) are a family of small, highly conserved, cytoplasmic proteins that bind long-chain fatty acids and other hydrophobic ligands. FABPs are thought to play roles in fatty acid uptake, transport, and metabolism. [provided by RefSeq]

Long Name

Fatty Acid-Binding Protein 7

Alternate Names

B-FABP, BFABP, BLBP

Gene Symbol

FABP7

Additional FABP7/B-FABP Products

Product Documents for FABP7/B-FABP Antibody (CL0236) - BSA Free

Certificate of Analysis

To download a Certificate of Analysis, please enter a lot number in the search box below.

Product Specific Notices for FABP7/B-FABP Antibody (CL0236) - BSA Free

This product is for research use only and is not approved for use in humans or in clinical diagnosis. Primary Antibodies are guaranteed for 1 year from date of receipt.

Loading...
Loading...
Loading...
Loading...