Skip to main content

eIF2B3 Antibody (OTI1A4)

Novus Biologicals, part of Bio-Techne | Catalog # NBP2-01370

Novus Biologicals, part of Bio-Techne
Catalog #
Availability
Size / Price
Qty
Loading...
NBP2-01370

Key Product Details

Species Reactivity

Human, Mouse, Rat, Canine

Applications

Immunohistochemistry, Immunohistochemistry-Paraffin, Western Blot, Immunocytochemistry/ Immunofluorescence

Label

Unconjugated

Antibody Source

Monoclonal Mouse IgG1 Clone # OTI1A4

Concentration

0.7 mg/ml

Product Specifications

Immunogen

Full length human recombinant protein of human EIF2B3(NP_065098) produced in HEK293T cell.

Reactivity Notes

Please note that this antibody is reactive to Mouse and derived from the same host, Mouse. Mouse-On-Mouse blocking reagent may be needed for IHC and ICC experiments to reduce high background signal. You can find these reagents under catalog numbers PK-2200-NB and MP-2400-NB. Please contact Technical Support if you have any questions.

Clonality

Monoclonal

Host

Mouse

Isotype

IgG1

Theoretical MW

50.1 kDa.
Disclaimer note: The observed molecular weight of the protein may vary from the listed predicted molecular weight due to post translational modifications, post translation cleavages, relative charges, and other experimental factors.

Description

Novus Biologicals Mouse eIF2B3 Antibody (OTI1A4) (NBP2-01370) is a monoclonal antibody validated for use in IHC, WB and ICC/IF. All Novus Biologicals antibodies are covered by our 100% guarantee.

Scientific Data Images for eIF2B3 Antibody (OTI1A4)

Western Blot: eIF2B3 Antibody (1A4) [NBP2-01370] Analysis of extracts (35ug) from 9 different cell lines by using anti-eIF2B3 monoclonal antibody.
Immunocytochemistry/ Immunofluorescence: eIF2B3 Antibody (OTI1A4) [NBP2-01370]

Immunocytochemistry/ Immunofluorescence: eIF2B3 Antibody (OTI1A4) [NBP2-01370]

Immunocytochemistry/Immunofluorescence: eIF2B3 Antibody (1A4) [NBP2-01370] - Staining of COS7 cells transiently transfected by pCMV6-ENTRY eIF2B3.
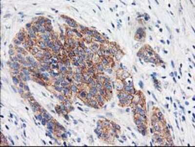
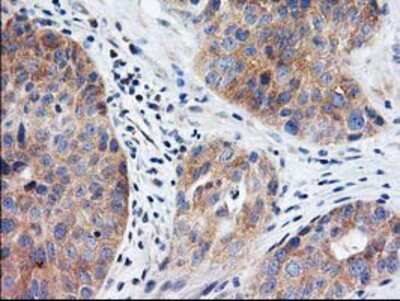
Immunohistochemistry-Paraffin: eIF2B3 Antibody (OTI1A4) [NBP2-01370]

Immunohistochemistry-Paraffin: eIF2B3 Antibody (OTI1A4) [NBP2-01370]

Immunohistochemistry-Paraffin: eIF2B3 Antibody (1A4) [NBP2-01370] - Staining of paraffin-embedded Human prostate tissue using anti-eIF2B3 mouse monoclonal antibody.

Applications for eIF2B3 Antibody (OTI1A4)

Application
Recommended Usage

Immunocytochemistry/ Immunofluorescence

1:100

Immunohistochemistry

1:150

Immunohistochemistry-Paraffin

1:150

Western Blot

1:500-2000

Formulation, Preparation, and Storage

Purification

Immunogen affinity purified

Formulation

PBS (pH 7.3), 1.0% BSA and 50% Glycerol

Preservative

0.02% Sodium Azide

Concentration

0.7 mg/ml

Shipping

The product is shipped with polar packs. Upon receipt, store it immediately at the temperature recommended below.

Stability & Storage

Store at -20C. Avoid freeze-thaw cycles.

Background: eIF2B3

The protein encoded by this gene is one of the subunits of initiation factor eIF2B, which catalyzes the exchange of eukaryotic initiation factor 2-bound GDP for GTP. It has also been found to function as a cofactor of hepatitis C virus internal ribosome entry site-mediated translation. Mutations in this gene have been associated with leukodystrophy with vanishing white matter. Alternatively spliced transcript variants encoding different isoforms have been found for this gene. [provided by RefSeq].

Alternate Names

EIF-2B, eIF-2B GDP-GTP exchange factor subunit gamma, EIF2Bgamma, eukaryotic translation initiation factor 2B, subunit 3 (gamma, 58kD), eukaryotic translation initiation factor 2B, subunit 3 gamma, 58kDa, translation initiation factor eIF-2B subunit gamma

Entrez Gene IDs

8891 (Human)

Gene Symbol

EIF2B3

Additional eIF2B3 Products

Product Documents for eIF2B3 Antibody (OTI1A4)

Certificate of Analysis

To download a Certificate of Analysis, please enter a lot number in the search box below.

Product Specific Notices for eIF2B3 Antibody (OTI1A4)

This product is for research use only and is not approved for use in humans or in clinical diagnosis. Primary Antibodies are guaranteed for 1 year from date of receipt.

Loading...
Loading...
Loading...
Loading...