Skip to main content

Dyrk1B Antibody - Azide and BSA Free

Novus Biologicals, part of Bio-Techne | Catalog # H00009149-D01P

Novus Biologicals, part of Bio-Techne
Catalog #
Availability
Size / Price
Qty
Loading...
H00009149-D01P

Key Product Details

Species Reactivity

Human

Applications

Western Blot, Immunocytochemistry/ Immunofluorescence

Label

Unconjugated

Antibody Source

Polyclonal Rabbit IgG

Format

Azide and BSA Free

Concentration

Concentrations vary lot to lot. See vial label for concentration. If unlisted please contact technical services.

Product Specifications

Immunogen

DYRK1B (NP_004705.1, 1 a.a. - 629 a.a.) full-length human protein. MAVPPGHGPFSGFPGPQEHTQVLPDVRLLPRRLPLAFRDATSAPLRKLSVDLIKTYKHINEVYYAKKKRRAQQAPPQDSSNKKEKKVLNHGYDDDNHDYIVRSGERWLERYEIDSLIGKGSFGQVVKAYDHQTQELVAIKIIKNKKAFLNQAQIELRLLELMNQHDTEMKYYIVHLKRHFMFRNHLCLVFELLSYNLYDLLRNTHFRGVSLNLTRKLAQQLCTALLFLATPELSIIHCDLKPENILLCNPKRSAIKIVDFGSSCQLGQRIYQYIQSRFYRSPEVLLGTPYDLAIDMWSLGCILVEMHTGEPLFSGSNEVDQMNRIVEVLGIPPAAMLDQAPKARKYFERLPGGGWTLRRTKELRKDYQGPGTRRLQEVLGVQTGGPGGRRAGEPGHSPADYLRFQDLVLRMLEYEPAARISPLGALQHGFFRRTADEATNTGPAGSSASTSPAPLDTCPSSSTASSISSSGGSSGSSSDNRTYRYSNRYCGGPGPPITDCEMNSPQVPPSQPLRPWAGGDVPHKTHQAPASASSLPGTGAQLPPQPRYLGRPPSPTSPPPPELMDVSLVGGPADCSPPHPAPAPQHPAASALRTRMTGGRPPLPPPDDPATLGPHLGLRGVPQSTAASS

Specificity

Reacts with dual-specificity tyrosine-(Y)-phosphorylation regulated kinase 1B.

Clonality

Polyclonal

Host

Rabbit

Isotype

IgG

Scientific Data Images for Dyrk1B Antibody - Azide and BSA Free

Western Blot: Dyrk1B Antibody [H00009149-D01P]

Western Blot: Dyrk1B Antibody [H00009149-D01P]

Western Blot: Dyrk1B Antibody [H00009149-D01P] - Analysis of DYRK1B expression in transfected 293T cell line by DYRK1B polyclonal antibody.Lane 1: DYRK1B transfected lysate(69.20 KDa).Lane 2: Non-transfected lysate.
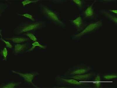
Immunocytochemistry/ Immunofluorescence: Dyrk1B Antibody [H00009149-D01P]

Immunocytochemistry/ Immunofluorescence: Dyrk1B Antibody [H00009149-D01P]

Immunocytochemistry/Immunofluorescence: Dyrk1B Antibody [H00009149-D01P] - Analysis of antibody to DYRK1B on HeLa cell. Antibody concentration 10 ug/ml.

Applications for Dyrk1B Antibody - Azide and BSA Free

Application
Recommended Usage

Immunocytochemistry/ Immunofluorescence

Optimal dilutions of this antibody should be experimentally determined.

Western Blot

Optimal dilutions of this antibody should be experimentally determined.
Application Notes
This antibody is reactive against transfected lysate in western blot, and as a detection antibody in ELISA.

Formulation, Preparation, and Storage

Purification

Protein A purified

Formulation

PBS (pH 7.4)

Format

Azide and BSA Free

Preservative

No Preservative

Concentration

Concentrations vary lot to lot. See vial label for concentration. If unlisted please contact technical services.

Shipping

The product is shipped with polar packs. Upon receipt, store it immediately at the temperature recommended below.

Stability & Storage

Aliquot and store at -20C or -80C. Avoid freeze-thaw cycles.

Background: Dyrk1B

DYRK1B is a member of the DYRK family of protein kinases. DYRK1B contains a bipartite nuclear localization signal and is found mainly in muscle and testis. The protein is proposed to be involved in the regulation of nuclear functions. Three isoforms of DYRK1B have been identified differing in the presence of two alternatively spliced exons within the catalytic domain. [provided by RefSeq]

Long Name

Dual specificity tyrosine-phosphorylation-regulated kinase 1B

Alternate Names

MIRK, Mirk protein kinase

Entrez Gene IDs

9149 (Human)

Gene Symbol

DYRK1B

Additional Dyrk1B Products

Product Documents for Dyrk1B Antibody - Azide and BSA Free

Certificate of Analysis

To download a Certificate of Analysis, please enter a lot number in the search box below.

Product Specific Notices for Dyrk1B Antibody - Azide and BSA Free

This product is produced by and distributed for Abnova, a company based in Taiwan.

This product is for research use only and is not approved for use in humans or in clinical diagnosis. Primary Antibodies are guaranteed for 1 year from date of receipt.

Loading...
Loading...
Loading...
Loading...