DP1 Antibody (8C0O3)
Novus Biologicals, part of Bio-Techne | Catalog # NBP3-16590
Recombinant Monoclonal Antibody
Key Product Details
Species Reactivity
Human, Rat
Applications
Immunohistochemistry, Immunohistochemistry-Paraffin, Western Blot
Label
Unconjugated
Antibody Source
Recombinant Monoclonal Rabbit IgG Clone # 8C0O3 expressed in HEK293
Concentration
Please see the vial label for concentration. If unlisted please contact technical services.
Product Specifications
Immunogen
A synthetic peptide corresponding to a sequence within amino acids 311-410 of human DP1 (Q14186). SGSCSAEDLKMARSLVPKALEPYVTEMAQGTVGGVFITTAGSTSNGTRFSASDLTNGADGMLATSSNGSQYSGSRVETPVSYVGEDDEEDDDFNENDEDD
Clonality
Monoclonal
Host
Rabbit
Isotype
IgG
Description
Novus Biologicals Rabbit DP1 Antibody (8C0O3) (NBP3-16590) is a recombinant monoclonal antibody validated for use in IHC and WB. All Novus Biologicals antibodies are covered by our 100% guarantee.
Scientific Data Images for DP1 Antibody (8C0O3)
Western Blot: DP1 Antibody (8C0O3) [NBP3-16590]
Western Blot: DP1 Antibody (8C0O3) [NBP3-16590] - Western blot analysis of extracts of various cell lines, using DP1 Rabbit mAb (NBP3-16590) at 1:1000 dilution. Secondary antibody: HRP Goat Anti-Rabbit IgG (H+L) at 1:10000 dilution. Lysates/proteins: 25ug per lane. Blocking buffer: 3% nonfat dry milk in TBST. Detection: ECL Basic Kit. Exposure time: 60s.Immunohistochemistry-Paraffin: DP1 Antibody (8C0O3) [NBP3-16590]
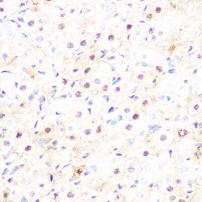
Immunohistochemistry-Paraffin: DP1 Antibody (8C0O3) [NBP3-16590] - Immunohistochemistry of paraffin-embedded human esophageal using DP1 Rabbit mAb (NBP3-16590) at dilution of 1:100 (40x lens).Perform microwave antigen retrieval with 10 mM Tris/EDTA buffer pH 9.0 before commencing with IHC staining protocol.Immunohistochemistry-Paraffin: DP1 Antibody (8C0O3) [NBP3-16590]
Immunohistochemistry-Paraffin: DP1 Antibody (8C0O3) [NBP3-16590] - Immunohistochemistry of paraffin-embedded rat ovary using DP1 Rabbit mAb (NBP3-16590) at dilution of 1:100 (40x lens).Perform microwave antigen retrieval with 10 mM Tris/EDTA buffer pH 9.0 before commencing with IHC staining protocol.Applications for DP1 Antibody (8C0O3)
Application
Recommended Usage
Immunohistochemistry
1:50 - 1:200
Western Blot
1:500 - 1:2000
Formulation, Preparation, and Storage
Purification
Affinity purified
Formulation
PBS (pH 7.3), 50% glycerol, 0.05% BSA
Preservative
0.02% Sodium Azide
Concentration
Please see the vial label for concentration. If unlisted please contact technical services.
Shipping
The product is shipped with polar packs. Upon receipt, store it immediately at the temperature recommended below.
Stability & Storage
Store at -20C. Avoid freeze-thaw cycles.
Background: DP1
Alternate Names
DP1E2F dimerization partner 1, DRTF1Dp-1, DRTF1-polypeptide 1, E2F-related transcription factor, transcription factor Dp-1
Gene Symbol
TFDP1
Additional DP1 Products
Product Documents for DP1 Antibody (8C0O3)
Product Specific Notices for DP1 Antibody (8C0O3)
This product is for research use only and is not approved for use in humans or in clinical diagnosis. Primary Antibodies are guaranteed for 1 year from date of receipt.
Loading...
Loading...
Loading...
Loading...