Skip to main content

DIS3L Antibody - BSA Free

Novus Biologicals, part of Bio-Techne | Catalog # NBP1-81941

Novus Biologicals, part of Bio-Techne
Catalog #
Availability
Size / Price
Qty
Loading...
NBP1-81941-25ul
NBP1-81941

Key Product Details

Species Reactivity

Validated:

Human

Predicted:

Mouse (91%), Rat (93%). Backed by our 100% Guarantee.

Applications

Immunohistochemistry, Immunohistochemistry-Paraffin, Immunocytochemistry/ Immunofluorescence

Label

Unconjugated

Antibody Source

Polyclonal Rabbit IgG

Format

BSA Free

Concentration

Concentrations vary lot to lot. See vial label for concentration. If unlisted please contact technical services.

Product Specifications

Immunogen

This antibody was developed against Recombinant Protein corresponding to amino acids: LRNLLKDARHDCILFANEFQQCCYLPRERGESMEKWQTRSIYNAAVWYYHHCQDRMPIVMVTEDEEAIQQYGSETEGVFVITFKNYLDNFWPDLKAAHE

Reactivity Notes

Reactivity reported in scientific literature (PMID: 24150935)

Clonality

Polyclonal

Host

Rabbit

Isotype

IgG

Description

Novus Biologicals Rabbit DIS3L Antibody - BSA Free (NBP1-81941) is a polyclonal antibody validated for use in IHC and ICC/IF. Anti-DIS3L Antibody: Cited in 1 publication. All Novus Biologicals antibodies are covered by our 100% guarantee.

Scientific Data Images for DIS3L Antibody - BSA Free

Immunocytochemistry/ Immunofluorescence: DIS3L Antibody [NBP1-81941]

Immunocytochemistry/ Immunofluorescence: DIS3L Antibody [NBP1-81941]

Immunocytochemistry/Immunofluorescence: DIS3L Antibody [NBP1-81941] - Immunofluorescent staining of human cell line U-251 MG shows localization to plasma membrane, cytosol & centrosome.
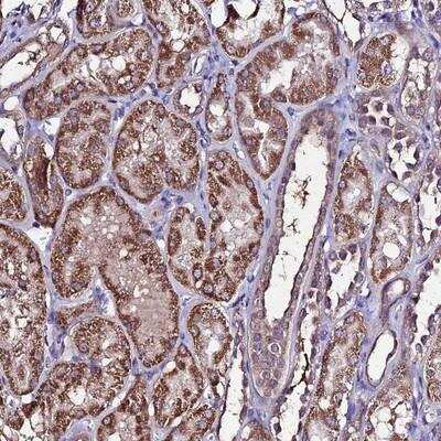
Immunohistochemistry-Paraffin: DIS3L Antibody [NBP1-81941]

Immunohistochemistry-Paraffin: DIS3L Antibody [NBP1-81941]

Immunohistochemistry-Paraffin: DIS3L Antibody [NBP1-81941] - Staining of human kidney shows moderate cytoplasmic positivity in cells in tubules.

Applications for DIS3L Antibody - BSA Free

Application
Recommended Usage

Immunocytochemistry/ Immunofluorescence

0.25-2 ug/ml

Immunohistochemistry

1:200 - 1:500

Immunohistochemistry-Paraffin

1:200 - 1:500
Application Notes
For IHC-Paraffin, HIER pH 6 retrieval is recommended. Immunocytochemistry/Immunofluorescence Fixation Permeabilization: Use PFA/Triton X-100.

Formulation, Preparation, and Storage

Purification

Affinity purified

Formulation

PBS (pH 7.2) and 40% Glycerol

Format

BSA Free

Preservative

0.02% Sodium Azide

Concentration

Concentrations vary lot to lot. See vial label for concentration. If unlisted please contact technical services.

Shipping

The product is shipped with polar packs. Upon receipt, store it immediately at the temperature recommended below.

Stability & Storage

Store at 4C short term. Aliquot and store at -20C long term. Avoid freeze-thaw cycles.

Background: DIS3L

Probable exonuclease

Alternate Names

DIS3 mitotic control homolog (S. cerevisiae)-like, DIS3-like exonuclease 1, EC 3.1.13, FLJ38088, KIAA1955EC 3.1.13.-, MGC4562

Gene Symbol

DIS3L

Additional DIS3L Products

Product Documents for DIS3L Antibody - BSA Free

Certificate of Analysis

To download a Certificate of Analysis, please enter a lot number in the search box below.

Product Specific Notices for DIS3L Antibody - BSA Free

This product is for research use only and is not approved for use in humans or in clinical diagnosis. Primary Antibodies are guaranteed for 1 year from date of receipt.

Loading...
Loading...
Loading...
Loading...