Skip to main content

Dihydrolipoamide Dehydrogenase/DLD Antibody (OTI6D5)

Novus Biologicals, part of Bio-Techne | Catalog # NBP2-01109

Novus Biologicals, part of Bio-Techne

Key Product Details

Species Reactivity

Human, Mouse, Rat

Applications

Flow Cytometry, Immunocytochemistry/ Immunofluorescence, Immunohistochemistry, Immunohistochemistry-Paraffin, Western Blot

Label

Unconjugated

Antibody Source

Monoclonal Mouse IgG1 Clone # OTI6D5

Concentration

0.82 mg/ml

Product Specifications

Immunogen

Full length human recombinant protein of human DLD(NP_000099) produced in HEK293T cell.

Reactivity Notes

Please note that this antibody is reactive to Mouse and derived from the same host, Mouse. Mouse-On-Mouse blocking reagent may be needed for IHC and ICC experiments to reduce high background signal. You can find these reagents under catalog numbers PK-2200-NB and MP-2400-NB. Please contact Technical Support if you have any questions.

Clonality

Monoclonal

Host

Mouse

Isotype

IgG1

Theoretical MW

50.1 kDa.
Disclaimer note: The observed molecular weight of the protein may vary from the listed predicted molecular weight due to post translational modifications, post translation cleavages, relative charges, and other experimental factors.

Description

Novus Biologicals Mouse Dihydrolipoamide Dehydrogenase/DLD Antibody (OTI6D5) (NBP2-01109) is a monoclonal antibody validated for use in IHC, WB, Flow and ICC/IF. All Novus Biologicals antibodies are covered by our 100% guarantee.

Scientific Data Images for Dihydrolipoamide Dehydrogenase/DLD Antibody (OTI6D5)

Western Blot: Dihydrolipoamide Dehydrogenase/DLD Antibody (OTI6D5) [NBP2-01109]

Western Blot: Dihydrolipoamide Dehydrogenase/DLD Antibody (OTI6D5) [NBP2-01109]

Western Blot: Lipoamide Dehydrogenase Antibody (6D5) [NBP2-01109] - HEK293T cells were transfected with the pCMV6-ENTRY control (Left lane) or pCMV6-ENTRY Lipoamide Dehydrogenase (Right lane) cDNA for 48 hrs and lysed. Equivalent amounts of cell lysates (5 ug per lane) were separated by SDS-PAGE and immunoblotted with anti-Lipoamide Dehydrogenase.
Immunocytochemistry/Immunofluorescence: Lipoamide Dehydrogenase Antibody (6D5) [NBP2-01109] Staining of COS7 cells transiently transfected by pCMV6-ENTRY Lipoamide Dehydrogenase.
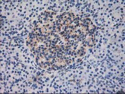
Immunohistochemistry-Paraffin: Dihydrolipoamide Dehydrogenase/DLD Antibody (OTI6D5) [NBP2-01109]

Immunohistochemistry-Paraffin: Dihydrolipoamide Dehydrogenase/DLD Antibody (OTI6D5) [NBP2-01109]

Immunohistochemistry-Paraffin: Lipoamide Dehydrogenase Antibody (6D5) [NBP2-01109] - Staining of paraffin-embedded Human pancreas tissue using anti-Lipoamide Dehydrogenase mouse monoclonal antibody.

Applications for Dihydrolipoamide Dehydrogenase/DLD Antibody (OTI6D5)

Application
Recommended Usage

Flow Cytometry

1:100

Immunocytochemistry/ Immunofluorescence

1:100

Immunohistochemistry

1:150

Immunohistochemistry-Paraffin

1:150

Western Blot

1:2000

Formulation, Preparation, and Storage

Purification

Immunogen affinity purified

Formulation

PBS (pH 7.3), 1.0% BSA and 50% Glycerol

Preservative

0.02% Sodium Azide

Concentration

0.82 mg/ml

Shipping

The product is shipped with polar packs. Upon receipt, store it immediately at the temperature recommended below.

Stability & Storage

Store at -20C. Avoid freeze-thaw cycles.

Background: Dihydrolipoamide Dehydrogenase/DLD

This gene encodes the L protein of the mitochondrial glycine cleavage system. The L protein, also named dihydrolipoamide dehydrogenase, is also a component of the pyruvate dehydrogenase complex, the alpha-ketoglutarate dehydrogenase complex, and the branched-chain alpha-keto acide dehydrogenase complex. Mutations in this gene have been identified in patients with E3-deficient maple syrup urine disease and lipoamide dehydrogenase deficiency. [provided by RefSeq].

Alternate Names

Diaphorase, DLD, DLDD, DLDH, GCSL, LAD, Lipoamide Dehydrogenase, PHE3

Entrez Gene IDs

1738 (Human)

Gene Symbol

DLD

Additional Dihydrolipoamide Dehydrogenase/DLD Products

Product Documents for Dihydrolipoamide Dehydrogenase/DLD Antibody (OTI6D5)

Certificate of Analysis

To download a Certificate of Analysis, please enter a lot number in the search box below.

Product Specific Notices for Dihydrolipoamide Dehydrogenase/DLD Antibody (OTI6D5)

This product is for research use only and is not approved for use in humans or in clinical diagnosis. Primary Antibodies are guaranteed for 1 year from date of receipt.

Loading...
Loading...
Loading...
Loading...
Loading...