Skip to main content

Dicer Antibody - BSA Free

Novus Biologicals, part of Bio-Techne | Catalog # NBP2-88949

Novus Biologicals, part of Bio-Techne

Key Product Details

Species Reactivity

Human, Mouse, Rat

Applications

Immunohistochemistry, Immunohistochemistry-Paraffin, Western Blot

Label

Unconjugated

Antibody Source

Polyclonal Rabbit

Format

BSA Free

Concentration

1.0 mg/ml

Product Specifications

Immunogen

Partial synthetic peptide made to an internal portion of the human Dicer protein (between amino acids 450-500) [UniProt Q9UPY3}

Clonality

Polyclonal

Host

Rabbit

Description

Novus Biologicals Rabbit Dicer Antibody - BSA Free (NBP2-88949) is a polyclonal antibody validated for use in IHC and WB. All Novus Biologicals antibodies are covered by our 100% guarantee.

Scientific Data Images for Dicer Antibody - BSA Free

Western Blot: Dicer AntibodyBSA Free [NBP2-88949]

Western Blot: Dicer AntibodyBSA Free [NBP2-88949]

Western Blot: Dicer Antibody [NBP2-88949] - Total protein from human HeLa and A431 cells, mouse 3T3 cells and Rat PC12 cells was separated on a 7.5% gel by SDS-PAGE, transferred to PVDF membrane and blocked in 5% non-fat milk in TBST. The membrane was probed with 2.0 ug/ml anti-Dicer in block buffer and detected with an anti-rabbit HRP secondary antibody using NovaLume chemiluminescence detection reagent (NPB2-61915).
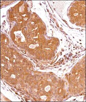
Immunohistochemistry-Paraffin: Dicer Antibody - BSA Free [NBP2-88949]

Immunohistochemistry-Paraffin: Dicer Antibody - BSA Free [NBP2-88949]

Immunohistochemistry-Paraffin: Dicer Antibody [NBP2-88949] - Analysis of a FFPE tissue section of the mouse prostate using 1:200 dilution of Dicer antibody (NBP2-88949). The signal was developed using HRP-DAB method which followed counterstaining of the cells with hematoxylin. The antibody generated moderate staining of cell cytoplasm.

Applications for Dicer Antibody - BSA Free

Application
Recommended Usage

Immunohistochemistry

1:200

Immunohistochemistry-Paraffin

1:200

Western Blot

2 ug/ml

Formulation, Preparation, and Storage

Purification

Immunogen affinity purified

Formulation

PBS

Format

BSA Free

Preservative

0.02% Sodium Azide

Concentration

1.0 mg/ml

Shipping

The product is shipped with polar packs. Upon receipt, store it immediately at the temperature recommended below.

Stability & Storage

Store at 4C short term. Aliquot and store at -20C long term. Avoid freeze-thaw cycles.

Background: Dicer

Dicer (DICER1 or double-strand-specific ribonuclease mDCR-1) belongs to RNase III family and is essential for RNA induced silencing complex (RISC) formation and it also forms a component of RISC loading complex (RLC) also known as the miRNA loading complex (miRLC) that contains - DICER1, EIF2C2/AGO2 and TARBP2. Within RLC/miRLC complex, DICER1 and TARBP2 are required to process precursor miRNAs to mature miRNAs and then load them onto EIF2C2/AGO2. Dicer also cleaves double-stranded RNA to produce short interfering RNAs (siRNAs) which targets selective destruction of complementary RNAs. siRNAs play a key roles in mitosis and DICER1 mutations have been shown to be associated with malignancies including blastoma, breast cancer, adenocarcinoma, and pancreatitis. It is also involved in myelination and other nervous system protections as well as pathologies including miRNA induced malformations of critical sensory cells in vision/hearing, cardiovascular diseases etc.

Alternate Names

DCR1, DICER, dicer 1, double-stranded RNA-specific endoribonuclease, dicer 1, ribonuclease type III, Dicer1, Dcr-1 homolog (Drosophila), EC 3.1.26, EC 3.1.26.-, EC 3.1.26.3, Helicase MOI, Helicase with RNase motif, helicase-moi, HERNADicer1, Dcr-1 homolog, K12H4.8-LIKE, KIAA0928endoribonuclease Dicer

Gene Symbol

DICER1

Additional Dicer Products

Product Documents for Dicer Antibody - BSA Free

Certificate of Analysis

To download a Certificate of Analysis, please enter a lot number in the search box below.

Product Specific Notices for Dicer Antibody - BSA Free

This product is for research use only and is not approved for use in humans or in clinical diagnosis. Primary Antibodies are guaranteed for 1 year from date of receipt.

Loading...
Loading...
Loading...
Loading...