Skip to main content

Destrin Antibody (OTI2F7) - Azide and BSA Free

Novus Biologicals, part of Bio-Techne | Catalog # NBP2-71669

Novus Biologicals, part of Bio-Techne
Catalog #
Availability
Size / Price
Qty
Loading...
NBP2-71669

Key Product Details

Species Reactivity

Human, Mouse, Canine, Monkey, Primate

Applications

Immunohistochemistry, Immunohistochemistry-Paraffin, Western Blot, Flow Cytometry, Immunocytochemistry/ Immunofluorescence, CyTOF-ready

Label

Unconjugated

Antibody Source

Monoclonal Mouse IgG1 Clone # OTI2F7

Format

Azide and BSA Free

Concentration

LYOPH mg/ml

Product Specifications

Immunogen

Full length human recombinant protein of human DSTN (NP_006861) produced in HEK293T cell.

Reactivity Notes

Please note that this antibody is reactive to Mouse and derived from the same host, Mouse. Mouse-On-Mouse blocking reagent may be needed for IHC and ICC experiments to reduce high background signal. You can find these reagents under catalog numbers PK-2200-NB and MP-2400-NB. Please contact Technical Support if you have any questions.

Clonality

Monoclonal

Host

Mouse

Isotype

IgG1

Theoretical MW

18.3 kDa.
Disclaimer note: The observed molecular weight of the protein may vary from the listed predicted molecular weight due to post translational modifications, post translation cleavages, relative charges, and other experimental factors.

Description

Novus Biologicals Mouse Destrin Antibody (OTI2F7) - Azide and BSA Free (NBP2-00527) is a monoclonal antibody validated for use in IHC, WB, Flow and ICC/IF. All Novus Biologicals antibodies are covered by our 100% guarantee.

Scientific Data Images for Destrin Antibody (OTI2F7) - Azide and BSA Free

Western Blot: Destrin Antibody (OTI2F7)Azide and BSA Free [NBP2-71669]

Western Blot: Destrin Antibody (OTI2F7)Azide and BSA Free [NBP2-71669]

Western Blot: Destrin Antibody (OTI2F7) - Azide and BSA Free [NBP2-71669] - HEK293T cells were transfected with the pCMV6-ENTRY control (Left lane) or pCMV6-ENTRY Destrin (Right lane) cDNA for 48 hrs and lysed. Equivalent amounts of cell lysates (5 ug per lane) were separated by SDS-PAGE and immunoblotted with anti-Destrin.
Immunocytochemistry/ Immunofluorescence: Destrin Antibody (OTI2F7) - Azide and BSA Free [NBP2-71669]

Immunocytochemistry/ Immunofluorescence: Destrin Antibody (OTI2F7) - Azide and BSA Free [NBP2-71669]

Immunocytochemistry/Immunofluorescence: Destrin Antibody (OTI2F7) - Azide and BSA Free [NBP2-71669] - Staining of COS7 cells transiently transfected by pCMV6-ENTRY Destrin.
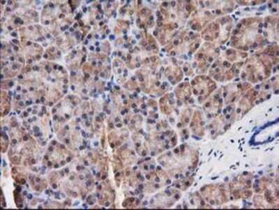
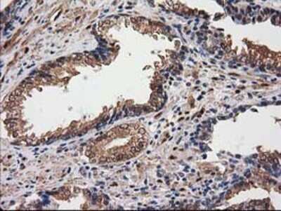
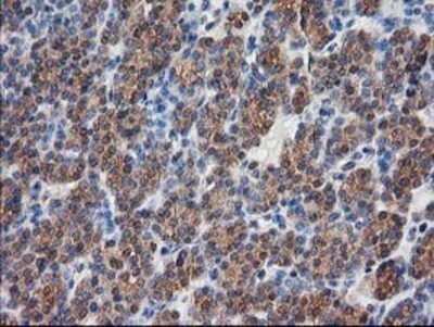
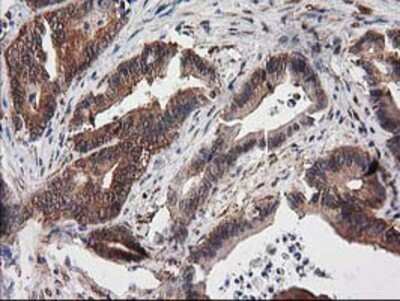
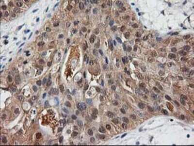
Immunohistochemistry: Destrin Antibody (OTI2F7) - Azide and BSA Free [NBP2-71669]

Immunohistochemistry: Destrin Antibody (OTI2F7) - Azide and BSA Free [NBP2-71669]

Immunohistochemistry: Destrin Antibody (OTI2F7) - Azide and BSA Free [NBP2-71669] - Staining of paraffin-embedded Human pancreas tissue using anti-Destrin mouse monoclonal antibody.

Applications for Destrin Antibody (OTI2F7) - Azide and BSA Free

Application
Recommended Usage

Flow Cytometry

1:100

Immunocytochemistry/ Immunofluorescence

1:100

Immunohistochemistry

1:150

Western Blot

1:500-2000

Formulation, Preparation, and Storage

Purification

Immunogen affinity purified

Reconstitution

we recommend adding 100uL distilled water to a final antibody concentration of about 1 mg/mL. To use this carrier-free antibody for conjugation experiment, we strongly recommend performing another round of desalting process.

Formulation

Lyophilized from PBS (pH 7.3) with 8% Trehalose

Format

Azide and BSA Free

Preservative

No Preservative

Concentration

LYOPH mg/ml

Shipping

The product is shipped with polar packs. Upon receipt, store it immediately at the temperature recommended below.

Stability & Storage

Store at -20C. Avoid freeze-thaw cycles.

Background: Destrin

The product of this gene belongs to the actin-binding proteins ADF family. This family of proteins is responsible for enhancing the turnover rate of actin in vivo. This gene encodes the actin depolymerizing protein that severs actin filaments (F-actin) and binds to actin monomers (G-actin). Two transcript variants encoding distinct isoforms have been identified for this gene. [provided by RefSeq]

Alternate Names

ACTDPdestrin, Actin-depolymerizing factor, ADFbA462D18.2 (destrin (actin depolymerizing factor ADF) (ACTDP)), bA462D18.2, destrin (actin depolymerizing factor), DSN

Gene Symbol

DSTN

Additional Destrin Products

Product Documents for Destrin Antibody (OTI2F7) - Azide and BSA Free

Certificate of Analysis

To download a Certificate of Analysis, please enter a lot number in the search box below.

Product Specific Notices for Destrin Antibody (OTI2F7) - Azide and BSA Free

This product is for research use only and is not approved for use in humans or in clinical diagnosis. Primary Antibodies are guaranteed for 1 year from date of receipt.

Loading...
Loading...
Loading...
Loading...
Loading...
Loading...