Skip to main content

Destrin Antibody (OTI2F7)

Novus Biologicals, part of Bio-Techne | Catalog # NBP2-00527

Novus Biologicals, part of Bio-Techne
Catalog #
Availability
Size / Price
Qty
Loading...
NBP2-00527

Key Product Details

Species Reactivity

Human, Mouse, Canine, Monkey, Primate

Applications

Flow Cytometry, Immunocytochemistry/ Immunofluorescence, Immunohistochemistry, Immunohistochemistry-Paraffin, Western Blot

Label

Unconjugated

Antibody Source

Monoclonal Mouse IgG1 Clone # OTI2F7

Concentration

0.4 mg/ml

Product Specifications

Immunogen

Full length human recombinant protein of human DSTN (NP_006861) produced in HEK293T cell.

Reactivity Notes

Please note that this antibody is reactive to Mouse and derived from the same host, Mouse. Mouse-On-Mouse blocking reagent may be needed for IHC and ICC experiments to reduce high background signal. You can find these reagents under catalog numbers PK-2200-NB and MP-2400-NB. Please contact Technical Support if you have any questions.

Clonality

Monoclonal

Host

Mouse

Isotype

IgG1

Theoretical MW

18.3 kDa.
Disclaimer note: The observed molecular weight of the protein may vary from the listed predicted molecular weight due to post translational modifications, post translation cleavages, relative charges, and other experimental factors.

Description

Novus Biologicals Mouse Destrin Antibody (OTI2F7) (NBP2-00527) is a monoclonal antibody validated for use in IHC, WB, Flow and ICC/IF. All Novus Biologicals antibodies are covered by our 100% guarantee.

Scientific Data Images for Destrin Antibody (OTI2F7)

Western Blot: Destrin Antibody (2F7) [NBP2-00527] Analysis of extracts (35ug) from 9 different cell lines by using anti-Destrin monoclonal antibody.
Immunocytochemistry/ Immunofluorescence: Destrin Antibody (OTI2F7) [NBP2-00527]

Immunocytochemistry/ Immunofluorescence: Destrin Antibody (OTI2F7) [NBP2-00527]

Immunocytochemistry/Immunofluorescence: Destrin Antibody (2F7) [NBP2-00527] - Staining of COS7 cells transiently transfected by pCMV6-ENTRY Destrin.
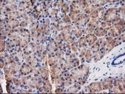
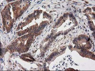
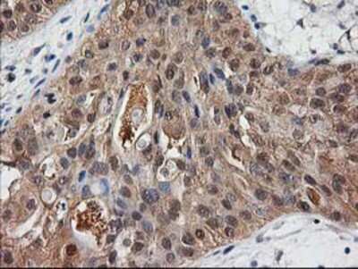
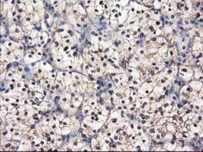
Immunohistochemistry-Paraffin: Destrin Antibody (OTI2F7) [NBP2-00527]

Immunohistochemistry-Paraffin: Destrin Antibody (OTI2F7) [NBP2-00527]

Immunohistochemistry-Paraffin: Destrin Antibody (2F7) [NBP2-00527] - Staining of paraffin-embedded Human prostate tissue using anti-Destrin mouse monoclonal antibody.

Applications for Destrin Antibody (OTI2F7)

Application
Recommended Usage

Flow Cytometry

1:100

Immunocytochemistry/ Immunofluorescence

1:100

Immunohistochemistry

1:150

Immunohistochemistry-Paraffin

1:150

Western Blot

1:500-2000

Formulation, Preparation, and Storage

Purification

Immunogen affinity purified

Formulation

PBS (pH 7.3), 1.0% BSA and 50% Glycerol

Preservative

0.02% Sodium Azide

Concentration

0.4 mg/ml

Shipping

The product is shipped with polar packs. Upon receipt, store it immediately at the temperature recommended below.

Stability & Storage

Store at -20C. Avoid freeze-thaw cycles.

Background: Destrin

The product of this gene belongs to the actin-binding proteins ADF family. This family of proteins is responsible for enhancing the turnover rate of actin in vivo. This gene encodes the actin depolymerizing protein that severs actin filaments (F-actin) and binds to actin monomers (G-actin). Two transcript variants encoding distinct isoforms have been identified for this gene. [provided by RefSeq].

Alternate Names

ACTDPdestrin, Actin-depolymerizing factor, ADFbA462D18.2 (destrin (actin depolymerizing factor ADF) (ACTDP)), bA462D18.2, destrin (actin depolymerizing factor), DSN

Entrez Gene IDs

11034 (Human)

Gene Symbol

DSTN

Additional Destrin Products

Product Documents for Destrin Antibody (OTI2F7)

Certificate of Analysis

To download a Certificate of Analysis, please enter a lot number in the search box below.

Product Specific Notices for Destrin Antibody (OTI2F7)

This product is for research use only and is not approved for use in humans or in clinical diagnosis. Primary Antibodies are guaranteed for 1 year from date of receipt.

Loading...
Loading...
Loading...
Loading...
Loading...