DDX19B Antibody - BSA Free
Novus Biologicals, part of Bio-Techne | Catalog # NBP2-33462
Key Product Details
Species Reactivity
Validated:
Human
Predicted:
Mouse (94%), Rat (90%). Backed by our 100% Guarantee.
Applications
Immunohistochemistry, Immunohistochemistry-Paraffin, Western Blot
Label
Unconjugated
Antibody Source
Polyclonal Rabbit IgG
Format
BSA Free
Concentration
Concentrations vary lot to lot. See vial label for concentration. If unlisted please contact technical services.
Product Specifications
Immunogen
This antibody was developed against a recombinant protein corresponding to amino acids: AAAESLSNLHLKEEKIKPDTNGAVVKTNANA
Clonality
Polyclonal
Host
Rabbit
Isotype
IgG
Description
Novus Biologicals Rabbit DDX19B Antibody - BSA Free (NBP2-33462) is a polyclonal antibody validated for use in IHC and WB. All Novus Biologicals antibodies are covered by our 100% guarantee.
Scientific Data Images for DDX19B Antibody - BSA Free
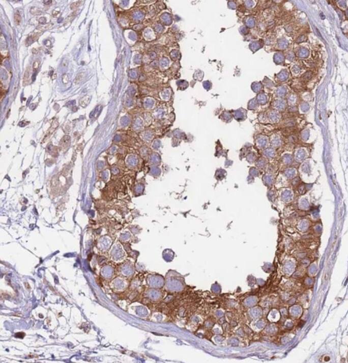
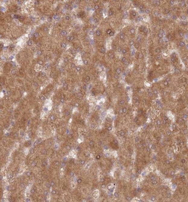
DDX19B Antibody [NBP2-33462] -
Staining of human testis shows strong cytoplasmic-membranous/nuclear membranous positivity in cells in seminiferous ducts.DDX19B Antibody [NBP2-33462] -
Analysis in human cell line CACO-2.DDX19B Antibody [NBP2-33462] -
Staining of human liver shows moderate cytoplasmic additional nuclear membranous positivity in hepatocytes.Applications for DDX19B Antibody - BSA Free
Application
Recommended Usage
Immunohistochemistry
1:50 - 1:200
Immunohistochemistry-Paraffin
1:50 - 1:200
Western Blot
0.04-0.4 ug/ml
Application Notes
IHC-Paraffin, HIER pH 6 retrieval is recommended.
Formulation, Preparation, and Storage
Purification
Affinity purified
Formulation
PBS (pH 7.2) and 40% Glycerol
Format
BSA Free
Preservative
0.02% Sodium Azide
Concentration
Concentrations vary lot to lot. See vial label for concentration. If unlisted please contact technical services.
Shipping
The product is shipped with polar packs. Upon receipt, store it immediately at the temperature recommended below.
Stability & Storage
Store at 4C short term. Aliquot and store at -20C long term. Avoid freeze-thaw cycles.
Background: DDX19B
Alternate Names
ATP-dependent RNA helicase DDX19, DBP5ATP-dependent RNA helicase DDX19B, DDX19DEAD-box protein 5, DEAD (Asp-Glu-Ala-As) box polypeptide 19, DEAD (Asp-Glu-Ala-As) box polypeptide 19B, DEAD box protein 19B, DEAD box RNA helicase DEAD5, DEAD/H (Asp-Glu-Ala-Asp/His) box polypeptide 19 (Dbp5, yeast, homolog), DEAD-box RNA helicase DEAD5, EC 3.6.1, EC 3.6.4.13, RNAh, yeast Dbp5 homolog
Gene Symbol
DDX19B
UniProt
Additional DDX19B Products
Product Documents for DDX19B Antibody - BSA Free
Product Specific Notices for DDX19B Antibody - BSA Free
This product is for research use only and is not approved for use in humans or in clinical diagnosis. Primary Antibodies are guaranteed for 1 year from date of receipt.
Loading...
Loading...
Loading...
Loading...