Skip to main content

DBC1/p30 Antibody - BSA Free

Novus Biologicals, part of Bio-Techne | Catalog # NBP3-38390

Novus Biologicals, part of Bio-Techne
Catalog #
Availability
Size / Price
Qty
Loading...
NBP3-38390-100ul
NBP3-38390-20ul

Key Product Details

Species Reactivity

Human, Mouse, Rat

Applications

Immunohistochemistry, Immunohistochemistry-Paraffin, Western Blot, ELISA

Label

Unconjugated

Antibody Source

Polyclonal Rabbit IgG

Format

BSA Free

Concentration

Please see the vial label for concentration. If unlisted please contact technical services.

Product Specifications

Immunogen

Recombinant fusion protein containing a sequence corresponding to amino acids 654-923 of human DBC1/p30 (NP_066997.3).

Sequence:
LLRDDGEEEFAGAKLEDSEVRSVASNQSEMEFSSLQDMPKELDPSAVLPLDCLLAFVFFDANWCGYLHRRDLERILLTLGIRLSAEQAKQLVSRVVTQNICQYRSLQYSRQEGLDGGLPEEVLFGNLDLLPPPGKSTKPGAAPTEHKALVSHNGSLINVGSLLQRAEQQDSGRLYLENKIHTLELKLEESHNRFSATEVTNKTLAAEMQELRVRLAEAEETARTAERQKSQLQRLLQELRRRLTPLQLEIQRVVEKADSWVEKEEPAPSN

Clonality

Polyclonal

Host

Rabbit

Isotype

IgG

Theoretical MW

103 kDa.
Disclaimer note: The observed molecular weight of the protein may vary from the listed predicted molecular weight due to post translational modifications, post translation cleavages, relative charges, and other experimental factors.

Description

Novus Biologicals Rabbit DBC1/p30 Antibody - BSA Free (NBP3-38390) is a polyclonal antibody validated for use in IHC, WB and ELISA. All Novus Biologicals antibodies are covered by our 100% guarantee.

Scientific Data Images for DBC1/p30 Antibody - BSA Free

DBC1/p30 Antibody

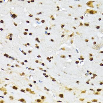
Immunohistochemistry: DBC1/p30 Antibody [NBP3-38390] -

Immunohistochemistry: DBC1/p30 Antibody [NBP3-38390] - Immunohistochemistry analysis of paraffin-embedded Rat brain using DBC1/p30 Rabbit pAb at dilution of 1:100 (40x lens). Microwave antigen retrieval performed with 0.01M PBS Buffer (pH 7.2) prior to IHC staining.
DBC1/p30 Antibody

Western Blot: DBC1/p30 Antibody [NBP3-38390] -

Western Blot: DBC1/p30 Antibody [NBP3-38390] - Western blot analysis of various lysates using DBC1/p30 Rabbit pAb at 1:1000 dilution.
Secondary antibody: HRP-conjugated Goat anti-Rabbit IgG (H+L) at 1:10000 dilution.
Lysates/proteins: 25ug per lane.
Blocking buffer: 3% nonfat dry milk in TBST.
Detection: ECL Basic Kit.
Exposure time: 30s.
DBC1/p30 Antibody

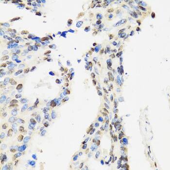
Immunohistochemistry: DBC1/p30 Antibody [NBP3-38390] -

Immunohistochemistry: DBC1/p30 Antibody [NBP3-38390] - Immunohistochemistry analysis of paraffin-embedded Mouse brain using DBC1/p30 Rabbit pAb at dilution of 1:100 (40x lens). Microwave antigen retrieval performed with 0.01M PBS Buffer (pH 7.2) prior to IHC staining.

Applications for DBC1/p30 Antibody - BSA Free

Application
Recommended Usage

Immunohistochemistry-Paraffin

1:50 - 1:200

Western Blot

1:500 - 1:2000

Formulation, Preparation, and Storage

Purification

Affinity purified

Formulation

PBS (pH 7.3), 50% glycerol

Format

BSA Free

Preservative

0.02% Sodium Azide

Concentration

Please see the vial label for concentration. If unlisted please contact technical services.

Shipping

The product is shipped with polar packs. Upon receipt, store it immediately at the temperature recommended below.

Stability & Storage

Store at -20C. Avoid freeze-thaw cycles.

Background: DBC1/p30

DBC1 inhibits SIRT1 deacetylase activity leading to increasing levels of p53/TP53 acetylation and p53-mediatedapoptosis. Inhibits SUV39H1 methyltransferase activity

Alternate Names

DBC.1, DBC1deleted in breast cancer 1, DBC-1p30 DBC protein, Deleted in breast cancer gene 1 protein, KIAA1967, NET35, p30 DBC, p30DBC

Gene Symbol

CCAR2

Additional DBC1/p30 Products

Product Documents for DBC1/p30 Antibody - BSA Free

Certificate of Analysis

To download a Certificate of Analysis, please enter a lot number in the search box below.

Product Specific Notices for DBC1/p30 Antibody - BSA Free

This product is for research use only and is not approved for use in humans or in clinical diagnosis. Primary Antibodies are guaranteed for 1 year from date of receipt.

Loading...
Loading...
Loading...
Loading...