Skip to main content

DBC1/p30 Antibody

Novus Biologicals, part of Bio-Techne | Catalog # NB100-40858

Novus Biologicals, part of Bio-Techne
Catalog #
Availability
Size / Price
Qty
Loading...
NB100-40858

Key Product Details

Species Reactivity

Human, Mouse

Applications

Immunohistochemistry, Immunohistochemistry-Paraffin

Label

Unconjugated

Antibody Source

Polyclonal Rabbit IgG

Concentration

0.05 mg/ml

Product Specifications

Immunogen

Between amino acids 1 and 50 of human Deleted in Breast Cancer 1

Clonality

Polyclonal

Host

Rabbit

Isotype

IgG

Scientific Data Images for DBC1/p30 Antibody

Immunohistochemistry: DBC1/p30 Antibody [NB100-40858]

Immunohistochemistry: DBC1/p30 Antibody [NB100-40858]

Immunohistochemistry: DBC1/p30 Antibody [NB100-40858] - Sample: FFPE section of mouse squamous cell carcinoma Antibody: Affinity purified rabbit anti-DBC1/p30 used at a dilution of 1:250. Detection: DAB staining using Immunohistochemistry Accessory Kit .
Immunohistochemistry: DBC1/p30 Antibody [NB100-40858]

Immunohistochemistry: DBC1/p30 Antibody [NB100-40858]

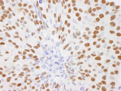
Immunohistochemistry: DBC1/p30 Antibody [NB100-40858] - Sample: FFPE section of human breast tumor. Antibody: Affinity purified rabbit anti-DBC1/p30 used at a dilution of 1:250. Detection: DAB staining using Immunohistochemistry Accessory Kit .

Applications for DBC1/p30 Antibody

Application
Recommended Usage

Immunohistochemistry

1:10-1:500

Immunohistochemistry-Paraffin

1:100-1:500

Formulation, Preparation, and Storage

Purification

Immunogen affinity purified

Formulation

TBS and 0.1% BSA

Preservative

0.09% Sodium Azide

Concentration

0.05 mg/ml

Shipping

The product is shipped with polar packs. Upon receipt, store it immediately at the temperature recommended below.

Stability & Storage

Store at 4C. Do not freeze.

Background: DBC1/p30

This gene is located within a chromosomal region that shows loss of heterozygosity in some bladder cancers. It contains a 5' CpG island that may be a frequent target of hypermethylation, and it may undergo hypermethylation-based silencing in some bladder cancers.

Alternate Names

DBC.1, DBC1deleted in breast cancer 1, DBC-1p30 DBC protein, Deleted in breast cancer gene 1 protein, KIAA1967, NET35, p30 DBC, p30DBC

Entrez Gene IDs

57805 (Human)

Gene Symbol

CCAR2

Additional DBC1/p30 Products

Product Documents for DBC1/p30 Antibody

Certificate of Analysis

To download a Certificate of Analysis, please enter a lot number in the search box below.

Product Specific Notices for DBC1/p30 Antibody

This product is for research use only and is not approved for use in humans or in clinical diagnosis. Primary Antibodies are guaranteed for 1 year from date of receipt.

Loading...
Loading...
Loading...
Loading...