Skip to main content

Cytosolic Sulfotransferase 1B1/SULT1B1 Antibody - Azide and BSA Free

Novus Biologicals, part of Bio-Techne | Catalog # NBP2-99836

Novus Biologicals, part of Bio-Techne

Key Product Details

Species Reactivity

Human

Applications

Immunohistochemistry, Immunohistochemistry-Paraffin, ELISA

Label

Unconjugated

Antibody Source

Polyclonal Rabbit IgG

Format

Azide and BSA Free

Concentration

Please see the vial label for concentration. If unlisted please contact technical services.

Product Specifications

Immunogen

Produced in rabbits immunized with purified, recombinant Human Cytosolic Sulfotransferase 1B1/SULT1B1 (Accession#: NP_055280.2; Leu 2-Ile 296)

Clonality

Polyclonal

Host

Rabbit

Isotype

IgG

Description

This antibody can be stored at 2C to 8C for one month without detectable loss of activity. Antibody products are stable for twelve months from date of receipt when stored at -20C to -80C. Avoid repeated freeze-thaw cycles.

Scientific Data Images for Cytosolic Sulfotransferase 1B1/SULT1B1 Antibody - Azide and BSA Free

Immunohistochemistry-Paraffin: Cytosolic Sulfotransferase 1B1/SULT1B1 Antibody [NBP2-99836]

Immunohistochemistry-Paraffin: Cytosolic Sulfotransferase 1B1/SULT1B1 Antibody [NBP2-99836]

Immunohistochemistry-Paraffin: Cytosolic Sulfotransferase 1B1/SULT1B1 Antibody [NBP2-99836] - Immunochemical staining of human Cytosolic Sulfotransferase 1B1/SULT1B1 in human spleen with rabbit polyclonal antibody (1:1000, formalin-fixed paraffin embedded sections). The left panel: tissue incubated with primary antibody; The right panel: tissue in
Cytosolic Sulfotransferase 1B1/SULT1B1 Antibody - Azide and BSA Free

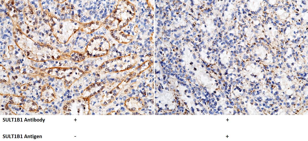
Immunohistochemistry-Paraffin: Cytosolic Sulfotransferase 1B1/Cytosolic Sulfotransferase 1B1/SULT1B1 Antibody [NBP2-99836] -

Immunohistochemistry-Paraffin: Cytosolic Sulfotransferase 1B1/Cytosolic Sulfotransferase 1B1/SULT1B1 Antibody [NBP2-99836] - Immunochemical staining of human Cytosolic Sulfotransferase 1B1/SULT1B1 in human spleen with NBP2-99836 (1:1000, formalin-fixed paraffin embedded sections). The left panel: tissue incubated with primary antibody; The right panel: tissue incubated with the mixture of primary antibody and antigen (recombinant protein).

Applications for Cytosolic Sulfotransferase 1B1/SULT1B1 Antibody - Azide and BSA Free

Application
Recommended Usage

ELISA

1:5000-1:10000

Immunohistochemistry-Paraffin

1:500-1:2000

Formulation, Preparation, and Storage

Purification

Antigen and protein A Affinity-purified

Formulation

0.2 um filtered solution in PBS

Format

Azide and BSA Free

Preservative

No Preservative

Concentration

Please see the vial label for concentration. If unlisted please contact technical services.

Shipping

The product is shipped with polar packs. Upon receipt, store it immediately at the temperature recommended below.

Stability & Storage

Store at 4C short term. Aliquot and store at -20C long term. Avoid freeze-thaw cycles.

Background: Cytosolic Sulfotransferase 1B1/SULT1B1

Sulfotransferase enzymes catalyze the sulfate conjugation of many hormones, neurotransmitters, drugs, and xenobiotic compounds. These cytosolic enzymes are different in their tissue distributions and substrate specificities. The gene structure (number and length of exons) is similar among family members. However, the total genomic length of this gene is greater than that of other SULT1 genes. [provided by RefSeq]

Alternate Names

ST1B2, SULT1B1, SULT1B2

Gene Symbol

SULT1B1

Additional Cytosolic Sulfotransferase 1B1/SULT1B1 Products

Product Documents for Cytosolic Sulfotransferase 1B1/SULT1B1 Antibody - Azide and BSA Free

Certificate of Analysis

To download a Certificate of Analysis, please enter a lot number in the search box below.

Product Specific Notices for Cytosolic Sulfotransferase 1B1/SULT1B1 Antibody - Azide and BSA Free

This product is for research use only and is not approved for use in humans or in clinical diagnosis. Primary Antibodies are guaranteed for 1 year from date of receipt.

Loading...
Loading...
Loading...
Loading...