Skip to main content

Cytosol Nonspecific Dipeptidase (CNDP2)/CPGL Antibody - BSA Free

Novus Biologicals, part of Bio-Techne | Catalog # NBP2-38337

Novus Biologicals, part of Bio-Techne
Catalog #
Availability
Size / Price
Qty
Loading...
NBP2-38337
NBP2-38337-25ul

Key Product Details

Validated by

Orthogonal Validation, Independent Antibodies

Species Reactivity

Validated:

Human

Predicted:

Mouse (95%), Rat (92%). Backed by our 100% Guarantee.

Applications

Immunohistochemistry, Immunohistochemistry-Paraffin, Western Blot, Immunocytochemistry/ Immunofluorescence

Label

Unconjugated

Antibody Source

Polyclonal Rabbit IgG

Format

BSA Free

Concentration

Concentrations vary lot to lot. See vial label for concentration. If unlisted please contact technical services.

Product Specifications

Immunogen

This antibody was developed against a recombinant protein corresponding to amino acids: AKWVAIQSVSAWPEKRGEIRRMMEVAAADVKQLGGSVELVDIGKQKLPDGSEIPLPPILLGRLGSDPQKKTVCI

Clonality

Polyclonal

Host

Rabbit

Isotype

IgG

Description

Novus Biologicals Rabbit Cytosol Nonspecific Dipeptidase (CNDP2)/CPGL Antibody - BSA Free (NBP2-38337) is a polyclonal antibody validated for use in IHC, WB and ICC/IF. All Novus Biologicals antibodies are covered by our 100% guarantee.

Scientific Data Images for Cytosol Nonspecific Dipeptidase (CNDP2)/CPGL Antibody - BSA Free

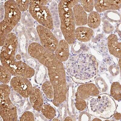
Immunohistochemistry-Paraffin: Cytosol Nonspecific Dipeptidase (CNDP2)/CPGL Antibody [NBP2-38337]

Immunohistochemistry-Paraffin: Cytosol Nonspecific Dipeptidase (CNDP2)/CPGL Antibody [NBP2-38337]

Immunohistochemistry-Paraffin: Cytosol Nonspecific Dipeptidase (CNDP2)/CPGL Antibody [NBP2-38337] - Staining in human kidney and skeletal muscle tissues using anti-CNDP2 antibody. Corresponding CNDP2 RNA-seq data are presented for the same tissues.
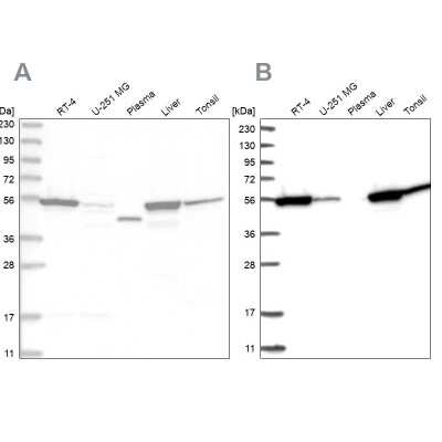
Western Blot: Cytosol Nonspecific Dipeptidase (CNDP2)/CPGL Antibody [NBP2-38337]

Western Blot: Cytosol Nonspecific Dipeptidase (CNDP2)/CPGL Antibody [NBP2-38337]

Western Blot: Cytosol Nonspecific Dipeptidase (CNDP2)/CPGL Antibody [NBP2-38337] - Analysis using Anti-CNDP2 antibody NBP2-38337 (A) shows similar pattern to independent antibody NBP2-38338 (B).
Immunocytochemistry/ Immunofluorescence: Cytosol Nonspecific Dipeptidase (CNDP2)/CPGL Antibody [NBP2-38337]

Immunocytochemistry/ Immunofluorescence: Cytosol Nonspecific Dipeptidase (CNDP2)/CPGL Antibody [NBP2-38337]

Immunocytochemistry/Immunofluorescence: Cytosol Nonspecific Dipeptidase (CNDP2)/CPGL Antibody [NBP2-38337] - Immunofluorescent staining of human cell line A-431 shows localization to nucleoplasm & cytosol.

Applications for Cytosol Nonspecific Dipeptidase (CNDP2)/CPGL Antibody - BSA Free

Application
Recommended Usage

Immunocytochemistry/ Immunofluorescence

0.25-2 ug/ml

Immunohistochemistry

1:2500 - 1:5000

Immunohistochemistry-Paraffin

1:2500 - 1:5000

Western Blot

0.04-0.4 ug/ml
Application Notes
For IHC-Paraffin, HIER pH 6 retrieval is recommended. ICC/IF, Fixation Permeabilization: Use PFA/Triton X-100.

Formulation, Preparation, and Storage

Purification

Affinity purified

Formulation

PBS (pH 7.2) and 40% Glycerol

Format

BSA Free

Preservative

0.02% Sodium Azide

Concentration

Concentrations vary lot to lot. See vial label for concentration. If unlisted please contact technical services.

Shipping

The product is shipped with polar packs. Upon receipt, store it immediately at the temperature recommended below.

Stability & Storage

Store at 4C short term. Aliquot and store at -20C long term. Avoid freeze-thaw cycles.

Background: Cytosol Nonspecific Dipeptidase (CNDP2)/CPGL

CNDP2, also known as tissue carnosinase and peptidase A (EC 3.4.13.18), is a nonspecific dipeptidase rather than a selective carnosinase (Teufel et al., 2003 [PubMed 12473676]).[supplied by OMIM]

Alternate Names

CN2, CNDP2, CPGL, PEPA

Gene Symbol

CNDP2

UniProt

Additional Cytosol Nonspecific Dipeptidase (CNDP2)/CPGL Products

Product Documents for Cytosol Nonspecific Dipeptidase (CNDP2)/CPGL Antibody - BSA Free

Certificate of Analysis

To download a Certificate of Analysis, please enter a lot number in the search box below.

Product Specific Notices for Cytosol Nonspecific Dipeptidase (CNDP2)/CPGL Antibody - BSA Free

This product is for research use only and is not approved for use in humans or in clinical diagnosis. Primary Antibodies are guaranteed for 1 year from date of receipt.

Loading...
Loading...
Loading...
Loading...