Cytochrome P450 2B6 Antibody (OTI3D5)
Novus Biologicals, part of Bio-Techne | Catalog # NBP2-01800
Conjugate
Catalog #
Forumulation
Catalog #
Key Product Details
Species Reactivity
Validated:
Human, Mouse, Rat, Canine, Monkey
Cited:
Mouse
Applications
Immunohistochemistry, Immunohistochemistry-Paraffin, Western Blot, Flow Cytometry, Immunocytochemistry/ Immunofluorescence
Label
Unconjugated
Antibody Source
Monoclonal Mouse IgG2A Clone # OTI3D5
Concentration
Please see the vial label for concentration. If unlisted please contact technical services.
Product Specifications
Immunogen
Full length human recombinant protein of human CYP2B6(NP_000758) produced in HEK293T cell.
Reactivity Notes
Please note that this antibody is reactive to Mouse and derived from the same host, Mouse. Mouse-On-Mouse blocking reagent may be needed for IHC and ICC experiments to reduce high background signal. You can find these reagents under catalog numbers PK-2200-NB and MP-2400-NB. Please contact Technical Support if you have any questions.
Clonality
Monoclonal
Host
Mouse
Isotype
IgG2A
Theoretical MW
56.1 kDa.
Disclaimer note: The observed molecular weight of the protein may vary from the listed predicted molecular weight due to post translational modifications, post translation cleavages, relative charges, and other experimental factors.
Disclaimer note: The observed molecular weight of the protein may vary from the listed predicted molecular weight due to post translational modifications, post translation cleavages, relative charges, and other experimental factors.
Description
Novus Biologicals Mouse Cytochrome P450 2B6 Antibody (OTI3D5) (NBP2-01800) is a monoclonal antibody validated for use in IHC, WB, Flow and ICC/IF. Anti-Cytochrome P450 2B6 Antibody: Cited in 1 publication. All Novus Biologicals antibodies are covered by our 100% guarantee.
Scientific Data Images for Cytochrome P450 2B6 Antibody (OTI3D5)
Western Blot: Cytochrome P450 2B6 Antibody (OTI3D5) [NBP2-01800]
Western Blot: Cytochrome P450 2B6 Antibody (3D5) [NBP2-01800] - Analysis of extracts (35ug) from 9 different cell lines by using anti-Cytochrome P450 2B6 monoclonal antibody (HepG2: human; HeLa: human; SVT2: mouse; A549: human; COS7: monkey; Jurkat: human; MDCK: canine; PC12: rat; MCF7: human).Immunocytochemistry/ Immunofluorescence: Cytochrome P450 2B6 Antibody (OTI3D5) [NBP2-01800]
Immunocytochemistry/Immunofluorescence: Cytochrome P450 2B6 Antibody (3D5) [NBP2-01800] - Staining of COS7 cells transiently transfected by pCMV6-ENTRY Cytochrome P450 2B6.Immunohistochemistry-Paraffin: Cytochrome P450 2B6 Antibody (OTI3D5) [NBP2-01800]
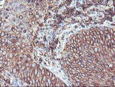
Immunohistochemistry-Paraffin: Cytochrome P450 2B6 Antibody (3D5) [NBP2-01800] - Staining of paraffin-embedded Human liver tissue using anti-Cytochrome P450 2B6 mouse monoclonal antibody.Applications for Cytochrome P450 2B6 Antibody (OTI3D5)
Application
Recommended Usage
Flow Cytometry
1:100
Immunocytochemistry/ Immunofluorescence
1:100
Immunohistochemistry
1:150
Immunohistochemistry-Paraffin
1:150
Western Blot
1:500-2000
Formulation, Preparation, and Storage
Purification
Immunogen affinity purified
Formulation
PBS (pH 7.3), 1.0% BSA and 50% Glycerol
Preservative
0.02% Sodium Azide
Concentration
Please see the vial label for concentration. If unlisted please contact technical services.
Shipping
The product is shipped with polar packs. Upon receipt, store it immediately at the temperature recommended below.
Stability & Storage
Store at -20C. Avoid freeze-thaw cycles.
Background: Cytochrome P450 2B6
Long Name
Cytochrome P450 2B6
Alternate Names
CYP2B6, CYPIIB6, EC 1.14.13.-
Entrez Gene IDs
1555 (Human)
Gene Symbol
CYP2B6
Additional Cytochrome P450 2B6 Products
Product Documents for Cytochrome P450 2B6 Antibody (OTI3D5)
Product Specific Notices for Cytochrome P450 2B6 Antibody (OTI3D5)
This product is for research use only and is not approved for use in humans or in clinical diagnosis. Primary Antibodies are guaranteed for 1 year from date of receipt.
Loading...
Loading...
Loading...
Loading...
Loading...