CYP2F1 Antibody - BSA Free
Novus Biologicals, part of Bio-Techne | Catalog # NBP2-92810
Key Product Details
Species Reactivity
Human, Mouse, Rat
Applications
Immunohistochemistry, Immunohistochemistry-Paraffin, Western Blot
Label
Unconjugated
Antibody Source
Polyclonal Rabbit IgG
Format
BSA Free
Concentration
Please see the vial label for concentration. If unlisted please contact technical services.
Product Specifications
Immunogen
Recombinant fusion protein containing a sequence corresponding to amino acids 100-290 of human CYP2F1 (NP_000765.2). DYPAFFNFTKGNGIAFSSGDRWKVLRQFSIQILRNFGMGKRSIEERILEEGSFLLAELRKTEGEPFDPTFVLSRSVSNIICSVLFGSRFDYDDERLLTIIRLINDNFQIMSSPWGELYDIFPSLLDWVPGPHQRIFQNFKCLRDLIAHSVHDHQASLDPRSPRDFIQCFLTKMAEEKEDPLSHFHMDTLLM
Clonality
Polyclonal
Host
Rabbit
Isotype
IgG
Description
Novus Biologicals Rabbit CYP2F1 Antibody - BSA Free (NBP2-92810) is a polyclonal antibody validated for use in IHC and WB. All Novus Biologicals antibodies are covered by our 100% guarantee.
Scientific Data Images for CYP2F1 Antibody - BSA Free
Western Blot: CYP2F1 AntibodyBSA Free [NBP2-92810]
Western Blot: CYP2F1 Antibody [NBP2-92810] - Analysis of extracts of various cell lines, using CYP2F1 at 1:1000 dilution.Secondary antibody: HRP Goat Anti-Rabbit IgG (H+L) at 1:10000 dilution.Lysates/proteins: 25ug per lane.Blocking buffer: 3% nonfat dry milk in TBST.Detection: ECL Basic Kit .Exposure time: 90s.Immunohistochemistry-Paraffin: CYP2F1 Antibody - BSA Free [NBP2-92810]
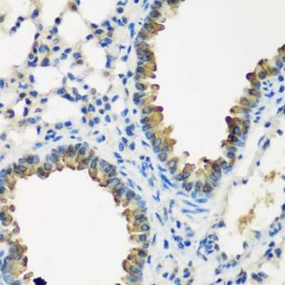
Immunohistochemistry-Paraffin: CYP2F1 Antibody [NBP2-92810] - Paraffin-embedded mouse lung using CYP2F1 .Applications for CYP2F1 Antibody - BSA Free
Application
Recommended Usage
Immunohistochemistry
1:50-1:200
Western Blot
1:500-1:2000
Formulation, Preparation, and Storage
Purification
Affinity purified
Formulation
PBS (pH 7.3), 50% glycerol
Format
BSA Free
Preservative
0.02% Sodium Azide
Concentration
Please see the vial label for concentration. If unlisted please contact technical services.
Shipping
The product is shipped with polar packs. Upon receipt, store it immediately at the temperature recommended below.
Stability & Storage
Store at -20C. Avoid freeze-thaw cycles.
Background: CYP2F1
Alternate Names
C2F1, CYP2F, CYPIIF1, cytochrome P450 2F1, cytochrome P450, family 2, subfamily F, polypeptide 1, cytochrome P450, subfamily IIF, polypeptide 1, EC 1.14.14.1, flavoprotein-linked monooxygenase, MGC126121, microsomal monooxygenase, xenobiotic monooxygenase
Gene Symbol
CYP2F1
Additional CYP2F1 Products
Product Documents for CYP2F1 Antibody - BSA Free
Product Specific Notices for CYP2F1 Antibody - BSA Free
This product is for research use only and is not approved for use in humans or in clinical diagnosis. Primary Antibodies are guaranteed for 1 year from date of receipt.
Loading...
Loading...
Loading...
Loading...