Skip to main content

CYP27A1 Antibody (HL1820) - Azide and BSA Free

Novus Biologicals, part of Bio-Techne | Catalog # NBP3-25429

Recombinant Monoclonal Antibody
Novus Biologicals, part of Bio-Techne
Catalog #
Availability
Size / Price
Qty
Loading...
NBP3-25429

Key Product Details

Validated by

Orthogonal Validation

Species Reactivity

Human, Mouse, Rat

Applications

Immunocytochemistry/ Immunofluorescence, Immunohistochemistry, Immunohistochemistry-Paraffin, Western Blot

Label

Unconjugated

Antibody Source

Recombinant Monoclonal Rabbit IgG Clone # HL1820 expressed in HEK293

Format

Azide and BSA Free

Concentration

Concentrations vary lot to lot. See vial label for concentration. If unlisted please contact technical services.

Product Specifications

Immunogen

Recombinant fragment of human CYP27A1.

Clonality

Monoclonal

Host

Rabbit

Isotype

IgG

Description

Novus Biologicals Rabbit CYP27A1 Antibody (HL1820) - Azide and BSA Free (NBP3-25429) is a recombinant monoclonal antibody validated for use in IHC, WB and ICC/IF. All Novus Biologicals antibodies are covered by our 100% guarantee.

Scientific Data Images for CYP27A1 Antibody (HL1820) - Azide and BSA Free

CYP27A1 Antibody (HL1820) - Azide and BSA Free

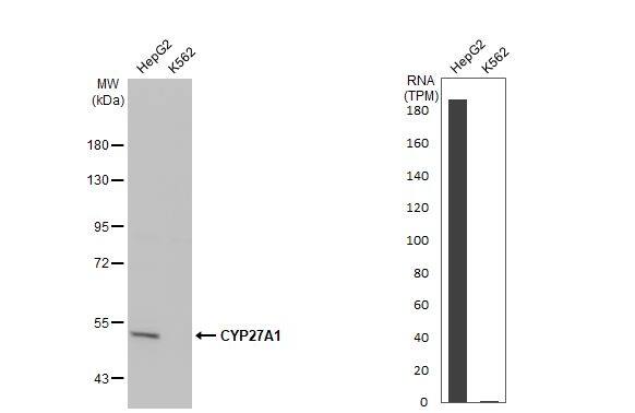
Western Blot: CYP27A1 Antibody (HL1820) - Azide and BSA Free [NBP3-25429] -

Western Blot: CYP27A1 Antibody (HL1820) - Azide and BSA Free [NBP3-25429] - Various tissue extracts (50 ug) were separated by 7.5% SDS-PAGE, and the membrane was blotted with CYP27A1 antibody [HL1820] (NBP3-25429) diluted at 1:1000. The HRP-conjugated anti-rabbit IgG antibody was used to detect the primary antibody.
CYP27A1 Antibody (HL1820) - Azide and BSA Free

Immunocytochemistry/Immunofluorescence: CYP27A1 Antibody (HL1820) - Azide and BSA Free [NBP3-25429] -

Immunocytochemistry/Immunofluorescence: CYP27A1 Antibody (HL1820) - Azide and BSA Free [NBP3-25429] - CYP27A1 antibody [HL1820] detects CYP27A1 protein at mitochondria by immunofluorescent analysis. Sample: HepG2 cells were fixed in ice-cold MeOH for 5 min. Green: CYP27A1 stained by CYP27A1 antibody [HL1820] (NBP3-25429) diluted at 1:500. Blue: Fluoroshield with DAPI .
CYP27A1 Antibody (HL1820) - Azide and BSA Free

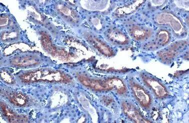
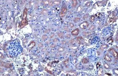
Immunohistochemistry-Paraffin: CYP27A1 Antibody (HL1820) - Azide and BSA Free [NBP3-25429] -

Immunohistochemistry-Paraffin: CYP27A1 Antibody (HL1820) - Azide and BSA Free [NBP3-25429] - CYP27A1 antibody [HL1820] detects CYP27A1 protein at cytoplasm by immunohistochemical analysis. Sample: Paraffin-embedded rat kidney. CYP27A1 stained by CYP27A1 antibody [HL1820] (NBP3-25429) diluted at 1:100. Antigen Retrieval: Citrate buffer, pH 6.0, 15 min

Applications for CYP27A1 Antibody (HL1820) - Azide and BSA Free

Application
Recommended Usage

Western Blot

1:500-1:3000

Formulation, Preparation, and Storage

Purification

Protein A purified

Formulation

PBS

Format

Azide and BSA Free

Preservative

No Preservative

Concentration

Concentrations vary lot to lot. See vial label for concentration. If unlisted please contact technical services.

Shipping

The product is shipped with polar packs. Upon receipt, store it immediately at the temperature recommended below.

Stability & Storage

Store at 4C short term. Aliquot and store at -20C long term. Avoid freeze-thaw cycles.

Background: CYP27A1

Long Name

Sterol 26-hydroxylase, mitochondrial

Alternate Names

CYP27, Cytochrome P450 27, EC 1.14.15.15

Gene Symbol

CYP27A1

Additional CYP27A1 Products

Product Documents for CYP27A1 Antibody (HL1820) - Azide and BSA Free

Certificate of Analysis

To download a Certificate of Analysis, please enter a lot number in the search box below.

Product Specific Notices for CYP27A1 Antibody (HL1820) - Azide and BSA Free

This product is for research use only and is not approved for use in humans or in clinical diagnosis. Primary Antibodies are guaranteed for 1 year from date of receipt.

Loading...
Loading...
Loading...
Loading...