Skip to main content

CYP24A1 Antibody (HL1783) - Azide and BSA Free

Novus Biologicals, part of Bio-Techne | Catalog # NBP3-25427

Recombinant Monoclonal Antibody
Novus Biologicals, part of Bio-Techne
Catalog #
Availability
Size / Price
Qty
Loading...
NBP3-25427

Key Product Details

Validated by

Knockout/Knockdown, Orthogonal Validation

Species Reactivity

Human, Mouse, Rat

Applications

Immunohistochemistry, Immunohistochemistry-Paraffin, Western Blot, Immunocytochemistry/ Immunofluorescence

Label

Unconjugated

Antibody Source

Recombinant Monoclonal Rabbit IgG Clone # HL1783 expressed in HEK293

Format

Azide and BSA Free

Concentration

Concentrations vary lot to lot. See vial label for concentration. If unlisted please contact technical services.

Product Specifications

Immunogen

Recombinant fragment of human CYP24A1

Clonality

Monoclonal

Host

Rabbit

Isotype

IgG

Theoretical MW

59 kDa.
Disclaimer note: The observed molecular weight of the protein may vary from the listed predicted molecular weight due to post translational modifications, post translation cleavages, relative charges, and other experimental factors.

Description

Novus Biologicals Rabbit CYP24A1 Antibody (HL1783) - Azide and BSA Free (NBP3-25427) is a recombinant monoclonal antibody validated for use in IHC, WB and ICC/IF. All Novus Biologicals antibodies are covered by our 100% guarantee.

Scientific Data Images for CYP24A1 Antibody (HL1783) - Azide and BSA Free

CYP24A1 Antibody (HL1783) - Azide and BSA Free

Immunohistochemistry-Paraffin: CYP24A1 Antibody (HL1783) - Azide and BSA Free [NBP3-25427] -

Immunohistochemistry-Paraffin: CYP24A1 Antibody (HL1783) - Azide and BSA Free [NBP3-25427] - CYP24A1 antibody [HL1783] detects CYP24A1 protein at mitochondria by immunohistochemical analysis. Sample: Paraffin-embedded human oral carcinoma. CYP24A1 stained by CYP24A1 antibody [HL1783] (NBP3-25427) diluted at 1:200. Antigen Retrieval: Citrate buffer, pH 6.0, 15 min
CYP24A1 Antibody (HL1783) - Azide and BSA Free

Western Blot: CYP24A1 Antibody (HL1783) - Azide and BSA Free [NBP3-25427] -

Western Blot: CYP24A1 Antibody (HL1783) - Azide and BSA Free [NBP3-25427] - Non-transfected (-) and transfected (+) A549 whole cell extracts (30 ug) were separated by 7.5% SDS-PAGE, and the membrane was blotted with CYP24A1 antibody [HL1783] (NBP3-25427) diluted at 1:1000. The HRP-conjugated anti-rabbit IgG antibody was used to detect the primary antibody, and the signal was developed with Trident ECL plus-Enhanced.
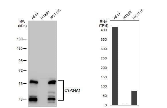
CYP24A1 Antibody (HL1783) - Azide and BSA Free

Western Blot: CYP24A1 Antibody (HL1783) - Azide and BSA Free [NBP3-25427] -

Western Blot: CYP24A1 Antibody (HL1783) - Azide and BSA Free [NBP3-25427] - Various whole cell extracts (30 ug) were separated by 7.5% SDS-PAGE, and the membrane was blotted with CYP24A1 antibody [HL1783] (NBP3-25427) diluted at 1:2000. The HRP-conjugated anti-rabbit IgG antibody was used to detect the primary antibody. Corresponding RNA expression data for the same cell lines are based on Human Protein Atlas program.

Applications for CYP24A1 Antibody (HL1783) - Azide and BSA Free

Application
Recommended Usage

Immunocytochemistry/ Immunofluorescence

Assay dependent

Immunohistochemistry

Assay dependent

Immunohistochemistry-Paraffin

Assay dependent

Western Blot

1:500-1:3000

Formulation, Preparation, and Storage

Purification

Protein A purified

Formulation

PBS

Format

Azide and BSA Free

Preservative

No Preservative

Concentration

Concentrations vary lot to lot. See vial label for concentration. If unlisted please contact technical services.

Shipping

The product is shipped with polar packs. Upon receipt, store it immediately at the temperature recommended below.

Stability & Storage

Store at 4C short term. Aliquot and store at -20C long term. Avoid freeze-thaw cycles.

Background: CYP24A1

The immunosuppressant cyclosporin A (CsA) forms a trimolecular complex with cyclophilin and calcineurins to inhibit calcineurin phosphatase activity. Cyclophilins are conserved, ubiquitous and abundant cytosolic peptidyl-prolyl cis-trans isomerases that accelerate the isomerization of XaaPro peptide bonds and the refolding of proteins. Human cyclophilin A (CyPA), an intracellular protein of 165 amino acids, is the target of the CsA and is encoded by a single unique gene conserved from yeast to humans. CyPA is involved in T cell differentiation and proliferation and is highly expressed in brain. CyPA is incorporated into the virion of the type 1 human immunodeficiency virus (HIV-1) via a direct interaction with the capsid domain of the viral Gag polyprotein and is crucial for efficient viral replication.

Long Name

1,25-dihydroxyvitamin D(3) 24-hydroxylase, mitochondrial

Alternate Names

24-OHase, CYP24, EC 1.14.15.16

Gene Symbol

CYP24A1

Additional CYP24A1 Products

Product Documents for CYP24A1 Antibody (HL1783) - Azide and BSA Free

Certificate of Analysis

To download a Certificate of Analysis, please enter a lot number in the search box below.

Product Specific Notices for CYP24A1 Antibody (HL1783) - Azide and BSA Free

This product is for research use only and is not approved for use in humans or in clinical diagnosis. Primary Antibodies are guaranteed for 1 year from date of receipt.

Loading...
Loading...
Loading...
Loading...