Skip to main content

CYP11B1 Antibody - BSA Free

Novus Biologicals, part of Bio-Techne | Catalog # NBP3-04876

Novus Biologicals, part of Bio-Techne
Catalog #
Availability
Size / Price
Qty
Loading...
NBP3-04876-100ul
NBP3-04876-20ul

Key Product Details

Species Reactivity

Human

Applications

Immunocytochemistry/ Immunofluorescence, Immunohistochemistry, Immunohistochemistry-Paraffin

Label

Unconjugated

Antibody Source

Polyclonal Rabbit IgG

Format

BSA Free

Concentration

Please see the vial label for concentration. If unlisted please contact technical services.

Product Specifications

Immunogen

Recombinant fusion protein containing a sequence corresponding to amino acids 234-503 of human CYP11B1 (NP_000488.3). TVQLMFMPRSLSRWTSPKVWKEHFEAWDCIFQYGDNCIQKIYQELAFSRPQQYTSIVAELLLNAELSPDAIKANSMELTAGSVDTTVFPLLMTLFELARNPNVQQALRQESLAAAASISEHPQKATTELPLLRAALKETLRLYPVGLFLERVASSDLVLQNYHIPAGTLVRVFLYSLGRNPALFPRPERYNPQRWLDIRGSGRNFYHVPFGFGMRQCLGRRLAEAEMLLLLHHVLKHLQVETLTQEDIKMVYSFILRPSMFPLLTFRAIN

Clonality

Polyclonal

Host

Rabbit

Isotype

IgG

Description

Novus Biologicals Rabbit CYP11B1 Antibody - BSA Free (NBP3-04876) is a polyclonal antibody validated for use in IHC and ICC/IF. All Novus Biologicals antibodies are covered by our 100% guarantee.

Scientific Data Images for CYP11B1 Antibody - BSA Free

Immunocytochemistry/ Immunofluorescence: CYP11B1 Antibody - BSA Free [NBP3-04876]

Immunocytochemistry/ Immunofluorescence: CYP11B1 Antibody - BSA Free [NBP3-04876]

Immunocytochemistry/Immunofluorescence: CYP11B1 Antibody [NBP3-04876] - Analysis of U2OS cells using CYP11B1 antibody at dilution of 1:100. Blue: DAPI for nuclear staining.
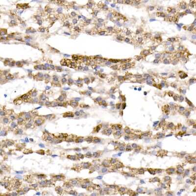
Immunohistochemistry-Paraffin: CYP11B1 Antibody - BSA Free [NBP3-04876]

Immunohistochemistry-Paraffin: CYP11B1 Antibody - BSA Free [NBP3-04876]

Immunohistochemistry-Paraffin: CYP11B1 Antibody [NBP3-04876] - Immunohistochemistry of paraffin-embedded Human adrenal gland using CYP11B1 Rabbit pAb (NBP3-04876) at dilution of 1:500 (40x lens). Perform high pressure antigen retrieval with 10 mM citrate buffer pH 6.0 before commencing with IHC staining protocol.

Applications for CYP11B1 Antibody - BSA Free

Application
Recommended Usage

Immunocytochemistry/ Immunofluorescence

1:50 - 1:200

Immunohistochemistry

1:100 - 1:500

Formulation, Preparation, and Storage

Purification

Affinity purified

Formulation

PBS (pH 7.3), 50% glycerol

Format

BSA Free

Preservative

0.02% Sodium Azide

Concentration

Please see the vial label for concentration. If unlisted please contact technical services.

Shipping

The product is shipped with polar packs. Upon receipt, store it immediately at the temperature recommended below.

Stability & Storage

Store at -20C. Avoid freeze-thaw cycles.

Background: CYP11B1

Long Name

Cytochrome P450 11B1, mitochondrial

Alternate Names

CYPXIB1, Cytochrome P-450c11, Cytochrome P450C11, EC 1.14.15.4, S11BH

Gene Symbol

CYP11B1

Additional CYP11B1 Products

Product Documents for CYP11B1 Antibody - BSA Free

Certificate of Analysis

To download a Certificate of Analysis, please enter a lot number in the search box below.

Product Specific Notices for CYP11B1 Antibody - BSA Free

This product is for research use only and is not approved for use in humans or in clinical diagnosis. Primary Antibodies are guaranteed for 1 year from date of receipt.

Loading...
Loading...
Loading...
Loading...