Skip to main content

Ctip1 Antibody (JB35-68)

Novus Biologicals, part of Bio-Techne | Catalog # NBP2-75455

Recombinant Monoclonal Antibody.
Novus Biologicals, part of Bio-Techne
Catalog #
Availability
Size / Price
Qty
Loading...
NBP2-75455

Key Product Details

Species Reactivity

Human, Mouse

Applications

Flow Cytometry, Immunohistochemistry, Immunohistochemistry-Paraffin, Western Blot

Label

Unconjugated

Antibody Source

Recombinant Monoclonal Rabbit IgG Clone # JB35-68 expressed in HEK293

Concentration

1 mg/ml

Product Specifications

Immunogen

Recombinant protein within Human Ctip1 aa 381-609 / 835. (SwissProt: Q9H165 Human)

Localization

Cytoplasm. Nucleus.

Clonality

Monoclonal

Host

Rabbit

Isotype

IgG

Theoretical MW

91 kDa.
Disclaimer note: The observed molecular weight of the protein may vary from the listed predicted molecular weight due to post translational modifications, post translation cleavages, relative charges, and other experimental factors.

Description

Novus Biologicals Rabbit Ctip1 Antibody (JB35-68) (NBP2-75455) is a recombinant monoclonal antibody validated for use in IHC, WB and Flow. All Novus Biologicals antibodies are covered by our 100% guarantee.

Scientific Data Images for Ctip1 Antibody (JB35-68)

Western Blot: Ctip1 Antibody (JB35-68) [NBP2-75455]

Western Blot: Ctip1 Antibody (JB35-68) [NBP2-75455]

Western Blot: Ctip1 Antibody (JB35-68) [NBP2-75455] - Analysis of Ctip1 on Daudi (1) and U937 (2) cell lysate using anti-Ctip1 antibody at 1/500 dilution.
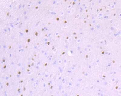
Immunohistochemistry-Paraffin: Ctip1 Antibody (JB35-68) [NBP2-75455]

Immunohistochemistry-Paraffin: Ctip1 Antibody (JB35-68) [NBP2-75455]

Immunohistochemistry-Paraffin: Ctip1 Antibody (JB35-68) [NBP2-75455] - Analysis of paraffin-embedded mouse cerebellum tissue using anti-Ctip1 antibody. Counter stained with hematoxylin.
Flow Cytometry: Ctip1 Antibody (JB35-68) [NBP2-75455]

Flow Cytometry: Ctip1 Antibody (JB35-68) [NBP2-75455]

Flow Cytometry: Ctip1 Antibody (JB35-68) [NBP2-75455] - Analysis of Jurkat cells with Ctip1 antibody at 1/100 dilution (red) compared with an unlabelled control (cells without incubation with primary antibody; black). Alexa Fluor 488-conjugated goat anti-rabbit IgG was used as the secondary antibody.

Applications for Ctip1 Antibody (JB35-68)

Application
Recommended Usage

Flow Cytometry

1:50-1:100

Immunohistochemistry-Paraffin

1:50-1:200

Western Blot

1:500-1:1000

Formulation, Preparation, and Storage

Purification

Protein A purified

Formulation

TBS (pH7.4), 0.05% BSA, 40% Glycerol

Preservative

0.05% Sodium Azide

Concentration

1 mg/ml

Shipping

The product is shipped with polar packs. Upon receipt, store it immediately at the temperature recommended below.

Stability & Storage

Store at 4C short term. Aliquot and store at -20C long term. Avoid freeze-thaw cycles.

Background: Ctip1

The Ctip1 gene encodes a C2H2 type zinc-finger protein by its similarity to the mouse Bcl11a/Evi9 protein. The corresponding mouse gene is a common site of retroviral integration in myeloid leukemia, and may function as a leukemia disease gene, in part, throug

Alternate Names

B-cell CLL/lymphoma 11A, B-cell CLL/lymphoma 11A (zinc finger protein), B-cell CLL/lymphoma 11A (zinc finger protein) isoform 2, B-cell lymphoma/leukemia 11A, BCL-11A, BCL11A B-cell CLL/lymphoma 11A (zinc finger protein) isoform 1, BCL11A-S, BCL11A-XL, C2H2-type zinc finger protein, COUP-TF-interacting protein 1, CTIP1ecotropic viral integration site 9, ecotropic viral integration site 9 homolog, Ecotropic viral integration site 9 protein homolog, EVI-9, EVI9FLJ34997, HBFQTL5, KIAA1809BCL11A-L, Zinc finger protein 856, ZNF856FLJ10173

Gene Symbol

BCL11A

Additional Ctip1 Products

Product Documents for Ctip1 Antibody (JB35-68)

Certificate of Analysis

To download a Certificate of Analysis, please enter a lot number in the search box below.

Product Specific Notices for Ctip1 Antibody (JB35-68)

This product is for research use only and is not approved for use in humans or in clinical diagnosis. Primary Antibodies are guaranteed for 1 year from date of receipt.

Loading...
Loading...
Loading...
Loading...
Loading...