Skip to main content

Ctip1 Antibody (CL13501) - BSA Free

Novus Biologicals, part of Bio-Techne | Catalog # NBP3-24562

Novus Biologicals, part of Bio-Techne
Catalog #
Availability
Size / Price
Qty
Loading...
NBP3-24562-100ul
NBP3-24562-25ul

Key Product Details

Validated by

Orthogonal Validation

Species Reactivity

Validated:

Human

Predicted:

Mouse (92%), Rat (92%). Backed by our 100% Guarantee.

Applications

Immunocytochemistry/ Immunofluorescence, Immunohistochemistry, Immunohistochemistry-Paraffin, Western Blot

Label

Unconjugated

Antibody Source

Monoclonal Mouse IgG1 Clone # CL13501

Format

BSA Free

Concentration

Concentrations vary lot to lot. See vial label for concentration. If unlisted please contact technical services.

Product Specifications

Immunogen

This antibody was developed using a synthetic peptide derived from Q9H165, with the exact immunogen sequence remaining proprietary.

Clonality

Monoclonal

Host

Mouse

Isotype

IgG1

Description

Novus Biologicals Mouse Ctip1 Antibody (CL13501) - BSA Free (NBP3-24562) is a monoclonal antibody validated for use in IHC, WB and ICC/IF. All Novus Biologicals antibodies are covered by our 100% guarantee.

Scientific Data Images for Ctip1 Antibody (CL13501) - BSA Free

Immunohistochemistry-Paraffin: Ctip1 Antibody (CL13501) [NBP3-24562]

Staining of human skeletal muscle shows no positivity in myocytes as expected.

Immunohistochemistry-Paraffin: Ctip1 Antibody (CL13501) [NBP3-24562]

Staining of human cervix shows strong nuclear positivity in squamous epithelial cells.

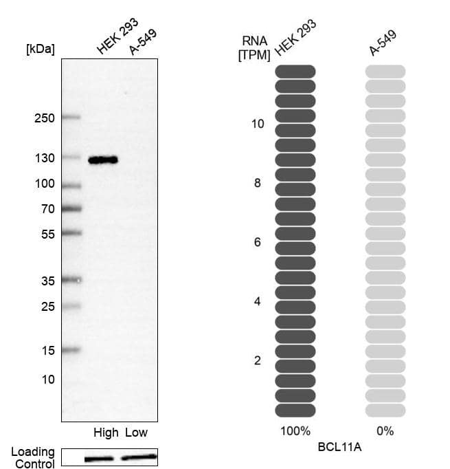
Western Blot: Ctip1 Antibody (CL13501) [NBP3-24562]

Western blot analysis in human cell lines HEK293 and A-549 using Anti-BCL11A antibody. Corresponding BCL11A RNA-seq data are presented for the same cell lines. Loading control: Anti-HSP90B1.

Applications for Ctip1 Antibody (CL13501) - BSA Free

Application
Recommended Usage

Immunocytochemistry/ Immunofluorescence

2-10 ug/ml

Immunohistochemistry

1.200 - 1:500

Immunohistochemistry-Paraffin

1.200 - 1:500

Western Blot

1ug/ml
Application Notes
For IHC-Paraffin, we recommend using Heat-Induced Epitope Retrieval (HIER) with a pH level of 6. This optimized retrieval method ensures the best results for your experiments, For ICC/IF, we recommend using a combination of PFA and Triton X-100. This will give you the optimal results for your experiments.

Formulation, Preparation, and Storage

Purification

Protein A purified

Formulation

PBS, pH 7.2, 40% glycerol

Format

BSA Free

Preservative

0.02% Sodium Azide

Concentration

Concentrations vary lot to lot. See vial label for concentration. If unlisted please contact technical services.

Shipping

The product is shipped with polar packs. Upon receipt, store it immediately at the temperature recommended below.

Stability & Storage

Store at 4C short term. Aliquot and store at -20C long term. Avoid freeze-thaw cycles.

Background: Ctip1

The Ctip1 gene encodes a C2H2 type zinc-finger protein by its similarity to the mouse Bcl11a/Evi9 protein. The corresponding mouse gene is a common site of retroviral integration in myeloid leukemia, and may function as a leukemia disease gene, in part, throug

Alternate Names

B-cell CLL/lymphoma 11A, B-cell CLL/lymphoma 11A (zinc finger protein), B-cell CLL/lymphoma 11A (zinc finger protein) isoform 2, B-cell lymphoma/leukemia 11A, BCL-11A, BCL11A B-cell CLL/lymphoma 11A (zinc finger protein) isoform 1, BCL11A-S, BCL11A-XL, C2H2-type zinc finger protein, COUP-TF-interacting protein 1, CTIP1ecotropic viral integration site 9, ecotropic viral integration site 9 homolog, Ecotropic viral integration site 9 protein homolog, EVI-9, EVI9FLJ34997, HBFQTL5, KIAA1809BCL11A-L, Zinc finger protein 856, ZNF856FLJ10173

Gene Symbol

BCL11A

Additional Ctip1 Products

Product Documents for Ctip1 Antibody (CL13501) - BSA Free

Certificate of Analysis

To download a Certificate of Analysis, please enter a lot number in the search box below.

Product Specific Notices for Ctip1 Antibody (CL13501) - BSA Free

This product is for research use only and is not approved for use in humans or in clinical diagnosis. Primary Antibodies are guaranteed for 1 year from date of receipt.

Loading...
Loading...
Loading...
Loading...