Skip to main content

CTBP2 Antibody (OTI4D4) - Azide and BSA Free

Novus Biologicals, part of Bio-Techne | Catalog # NBP2-70487

Novus Biologicals, part of Bio-Techne
Catalog #
Availability
Size / Price
Qty
Loading...
NBP2-70487

Key Product Details

Species Reactivity

Human, Mouse, Rat

Applications

Immunohistochemistry, Immunohistochemistry-Paraffin, Western Blot

Label

Unconjugated

Antibody Source

Monoclonal Mouse IgG1 Clone # OTI4D4

Format

Azide and BSA Free

Concentration

LYOPH mg/ml

Product Specifications

Immunogen

Human recombinant protein fragment corresponding to amino acids 233-336 of human CTBP2(NP_073713) produced in E.coli.

Reactivity Notes

Please note that this antibody is reactive to Mouse and derived from the same host, Mouse. Mouse-On-Mouse blocking reagent may be needed for IHC and ICC experiments to reduce high background signal. You can find these reagents under catalog numbers PK-2200-NB and MP-2400-NB. Please contact Technical Support if you have any questions.

Clonality

Monoclonal

Host

Mouse

Isotype

IgG1

Description

Novus Biologicals Mouse CTBP2 Antibody (OTI4D4) - Azide and BSA Free (NBP2-46390) is a monoclonal antibody validated for use in IHC and WB. All Novus Biologicals antibodies are covered by our 100% guarantee.

Scientific Data Images for CTBP2 Antibody (OTI4D4) - Azide and BSA Free

Western Blot: CTBP2 Antibody (OTI4D4)Azide and BSA Free [NBP2-70487]

Western Blot: CTBP2 Antibody (OTI4D4)Azide and BSA Free [NBP2-70487]

Western Blot: CTBP2 Antibody (OTI4D4) - Azide and BSA Free [NBP2-70487] - Analysis of HEK293T cells were transfected with the pCMV6-ENTRY control (Left lane) or pCMV6-ENTRY CTBP2.
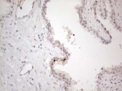
Immunohistochemistry: CTBP2 Antibody (OTI4D4) - Azide and BSA Free [NBP2-70487]

Immunohistochemistry: CTBP2 Antibody (OTI4D4) - Azide and BSA Free [NBP2-70487]

Immunohistochemistry: CTBP2 Antibody (OTI4D4) - Azide and BSA Free [NBP2-70487] - Analysis of Human prostate tissue. (Heat-induced epitope retrieval by 1mM EDTA in 10mM Tris buffer (pH8.5) at 120C for 3 min)
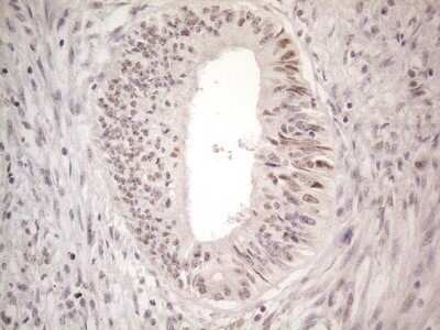
Immunohistochemistry: CTBP2 Antibody (OTI4D4) - Azide and BSA Free [NBP2-70487]

Immunohistochemistry: CTBP2 Antibody (OTI4D4) - Azide and BSA Free [NBP2-70487]

Immunohistochemistry: CTBP2 Antibody (OTI4D4) - Azide and BSA Free [NBP2-70487] - Analysis of Adenocarcinoma of Human colon tissue. (Heat-induced epitope retrieval by 1mM EDTA in 10mM Tris buffer (pH8.5) at 120C for 3 min)

Applications for CTBP2 Antibody (OTI4D4) - Azide and BSA Free

Application
Recommended Usage

Immunohistochemistry

1:150

Western Blot

1:2000

Formulation, Preparation, and Storage

Purification

Immunogen affinity purified

Reconstitution

we recommend adding 100uL distilled water to a final antibody concentration of about 1 mg/mL. To use this carrier-free antibody for conjugation experiment, we strongly recommend performing another round of desalting process.

Formulation

Lyophilized from PBS (pH 7.3) with 8% Trehalose

Format

Azide and BSA Free

Preservative

No Preservative

Concentration

LYOPH mg/ml

Shipping

The product is shipped with polar packs. Upon receipt, store it immediately at the temperature recommended below.

Stability & Storage

Store at -20C. Avoid freeze-thaw cycles.

Background: CTBP2

Alternate Names

CtBP2, C-terminal binding protein 2, 10ribeye, C-terminal-binding protein 2

Gene Symbol

CTBP2

Additional CTBP2 Products

Product Documents for CTBP2 Antibody (OTI4D4) - Azide and BSA Free

Certificate of Analysis

To download a Certificate of Analysis, please enter a lot number in the search box below.

Product Specific Notices for CTBP2 Antibody (OTI4D4) - Azide and BSA Free

This product is for research use only and is not approved for use in humans or in clinical diagnosis. Primary Antibodies are guaranteed for 1 year from date of receipt.

Loading...
Loading...
Loading...
Loading...
Loading...