Skip to main content

CTBP2 Antibody (OTI4D4)

Novus Biologicals, part of Bio-Techne | Catalog # NBP2-46390

Novus Biologicals, part of Bio-Techne
Catalog #
Availability
Size / Price
Qty
Loading...
NBP2-46390

Key Product Details

Species Reactivity

Human, Mouse, Rat

Applications

Immunohistochemistry, Immunohistochemistry-Paraffin, Western Blot

Label

Unconjugated

Antibody Source

Monoclonal Mouse IgG1 Clone # OTI4D4

Concentration

1 mg/ml

Product Specifications

Immunogen

Human recombinant protein fragment corresponding to amino acids 233-336 of human CTBP2(NP_073713) produced in E.coli.

Reactivity Notes

Please note that this antibody is reactive to Mouse and derived from the same host, Mouse. Mouse-On-Mouse blocking reagent may be needed for IHC and ICC experiments to reduce high background signal. You can find these reagents under catalog numbers PK-2200-NB and MP-2400-NB. Please contact Technical Support if you have any questions.

Clonality

Monoclonal

Host

Mouse

Isotype

IgG1

Description

Novus Biologicals Mouse CTBP2 Antibody (OTI4D4) (NBP2-46390) is a monoclonal antibody validated for use in IHC and WB. All Novus Biologicals antibodies are covered by our 100% guarantee.

Scientific Data Images for CTBP2 Antibody (OTI4D4)

Western Blot: CTBP2 Antibody (OTI4D4) [NBP2-46390]

Western Blot: CTBP2 Antibody (OTI4D4) [NBP2-46390]

Western Blot: CTBP2 Antibody (4D4) [NBP2-46390] - Analysis of HEK293T cells were transfected with the pCMV6-ENTRY control (Left lane) or pCMV6-ENTRY CTBP2.
Immunohistochemistry: CTBP2 Antibody (OTI4D4) [NBP2-46390]

Immunohistochemistry: CTBP2 Antibody (OTI4D4) [NBP2-46390]

Immunohistochemistry: CTBP2 Antibody (4D4) [NBP2-46390] - Analysis of Human bladder tissue. (Heat-induced epitope retrieval by 1mM EDTA in 10mM Tris buffer (pH8.5) at 120C for 3 min)
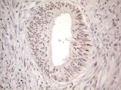
Immunohistochemistry: CTBP2 Antibody (OTI4D4) [NBP2-46390]

Immunohistochemistry: CTBP2 Antibody (OTI4D4) [NBP2-46390]

Immunohistochemistry: CTBP2 Antibody (4D4) [NBP2-46390] - Analysis of Adenocarcinoma of Human colon tissue. (Heat-induced epitope retrieval by 1mM EDTA in 10mM Tris buffer (pH8.5) at 120C for 3 min)

Applications for CTBP2 Antibody (OTI4D4)

Application
Recommended Usage

Immunohistochemistry

1:150

Immunohistochemistry-Paraffin

1:150

Western Blot

1:2000

Formulation, Preparation, and Storage

Purification

Immunogen affinity purified

Formulation

PBS (pH 7.3), 1.0% BSA and 50% Glycerol

Preservative

0.02% Sodium Azide

Concentration

1 mg/ml

Shipping

The product is shipped with polar packs. Upon receipt, store it immediately at the temperature recommended below.

Stability & Storage

Store at -20C. Avoid freeze-thaw cycles.

Background: CTBP2

Alternate Names

CtBP2, C-terminal binding protein 2, 10ribeye, C-terminal-binding protein 2

Gene Symbol

CTBP2

Additional CTBP2 Products

Product Documents for CTBP2 Antibody (OTI4D4)

Certificate of Analysis

To download a Certificate of Analysis, please enter a lot number in the search box below.

Product Specific Notices for CTBP2 Antibody (OTI4D4)

This product is for research use only and is not approved for use in humans or in clinical diagnosis. Primary Antibodies are guaranteed for 1 year from date of receipt.

Loading...
Loading...
Loading...
Loading...