Skip to main content

CTAGE5 Antibody - BSA Free

Novus Biologicals, part of Bio-Techne | Catalog # NBP1-85391

Novus Biologicals, part of Bio-Techne
Catalog #
Availability
Size / Price
Qty
Loading...
NBP1-85391
NBP1-85391-25ul

Key Product Details

Species Reactivity

Validated:

Human

Predicted:

Mouse (95%), Rat (94%). Backed by our 100% Guarantee.

Applications

Immunohistochemistry, Immunohistochemistry-Paraffin, Western Blot

Label

Unconjugated

Antibody Source

Polyclonal Rabbit IgG

Format

BSA Free

Concentration

Concentrations vary lot to lot. See vial label for concentration. If unlisted please contact technical services.

Product Specifications

Immunogen

This antibody was developed against Recombinant Protein corresponding to amino acids: NEMKLHRKLTVEENYRLEKEEKLSKVDEKISHATEELETYRKRAKDLEEELERTIHSYQGQIISHEKKAHDNWLAARNAERNLNDLRKENAHNRQKLTETELKFELLEKDPYALDV

Clonality

Polyclonal

Host

Rabbit

Isotype

IgG

Description

Novus Biologicals Rabbit CTAGE5 Antibody - BSA Free (NBP1-85391) is a polyclonal antibody validated for use in IHC and WB. Anti-CTAGE5 Antibody: Cited in 2 publications. All Novus Biologicals antibodies are covered by our 100% guarantee.

Scientific Data Images for CTAGE5 Antibody - BSA Free

Western Blot: CTAGE5 Antibody [NBP1-85391]

Western Blot: CTAGE5 Antibody [NBP1-85391]

Western Blot: CTAGE5 Antibody [NBP1-85391] - Analysis in human cell line CAPAN-2.
Immunohistochemistry-Paraffin: CTAGE5 Antibody [NBP1-85391]

Immunohistochemistry-Paraffin: CTAGE5 Antibody [NBP1-85391]

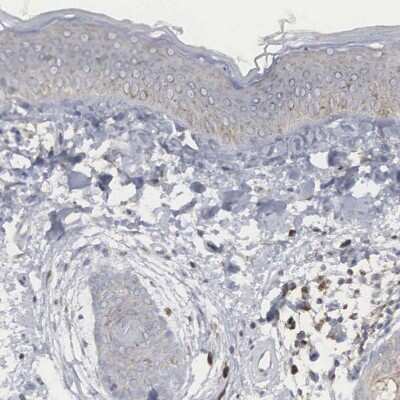
Immunohistochemistry-Paraffin: CTAGE5 Antibody [NBP1-85391] - Staining of human skin shows low positivity in squamous epithelial cells as expected.
Immunohistochemistry-Paraffin: CTAGE5 Antibody [NBP1-85391]

Immunohistochemistry-Paraffin: CTAGE5 Antibody [NBP1-85391]

Immunohistochemistry-Paraffin: CTAGE5 Antibody [NBP1-85391] - Staining of human kidney shows weak granular positivity in cytoplasm in cells in tubules.

Applications for CTAGE5 Antibody - BSA Free

Application
Recommended Usage

Immunohistochemistry

1:1000 - 1:2500

Immunohistochemistry-Paraffin

1:1000 - 1:2500

Western Blot

0.04-0.4 ug/ml
Application Notes
For IHC-Paraffin, HIER pH 6 retrieval is recommended.

Formulation, Preparation, and Storage

Purification

Immunogen affinity purified

Formulation

PBS (pH 7.2) and 40% Glycerol

Format

BSA Free

Preservative

0.02% Sodium Azide

Concentration

Concentrations vary lot to lot. See vial label for concentration. If unlisted please contact technical services.

Shipping

The product is shipped with polar packs. Upon receipt, store it immediately at the temperature recommended below.

Stability & Storage

Store at 4C short term. Aliquot and store at -20C long term. Avoid freeze-thaw cycles.

Background: CTAGE5

Tumor-associated antigen

Alternate Names

cTAGE family member 5, CTAGE family, member 5, cTAGE-5A, cTAGE-5D, cutaneous T-cell lymphoma-associated antigen 5, MEA11, MEA6cTAGE-5B, meningioma expressed antigen 6 (coiled-coil proline-rich), Meningioma-expressed antigen 6/11, MGEA, MGEA11cTAGE-5C, MGEA6, Protein cTAGE-5

Gene Symbol

MIA2

Additional CTAGE5 Products

Product Documents for CTAGE5 Antibody - BSA Free

Certificate of Analysis

To download a Certificate of Analysis, please enter a lot number in the search box below.

Product Specific Notices for CTAGE5 Antibody - BSA Free

This product is for research use only and is not approved for use in humans or in clinical diagnosis. Primary Antibodies are guaranteed for 1 year from date of receipt.

Loading...
Loading...
Loading...
Loading...