CS Citrate Synthase Antibody (CL2545) - BSA Free
Novus Biologicals, part of Bio-Techne | Catalog # NBP2-36771
Conjugate
Catalog #
Forumulation
Catalog #
Key Product Details
Species Reactivity
Validated:
Human
Predicted:
Mouse (93%), Rat (94%). Backed by our 100% Guarantee.
Applications
Immunohistochemistry, Immunohistochemistry-Paraffin, Western Blot, Immunocytochemistry/ Immunofluorescence
Label
Unconjugated
Antibody Source
Monoclonal Mouse IgG1 Clone # CL2545
Format
BSA Free
Concentration
1 mg/ml
Product Specifications
Immunogen
This antibody was developed using a recombinant protein derived from O75390, with the exact immunogen sequence remaining proprietary.
Reactivity Notes
Please note that this antibody is reactive to Mouse and derived from the same host, Mouse. Mouse-On-Mouse blocking reagent may be needed for IHC and ICC experiments to reduce high background signal. You can find these reagents under catalog numbers PK-2200-NB and MP-2400-NB. Please contact Technical Support if you have any questions
Clonality
Monoclonal
Host
Mouse
Isotype
IgG1
Scientific Data Images for CS Citrate Synthase Antibody (CL2545) - BSA Free
Western Blot: CS Citrate Synthase Antibody (CL2545) [NBP2-36771]
Western Blot: CS Citrate Synthase Antibody (CL2545) [NBP2-36771] - Lane 1: Marker [kDa]. Lane 2:Human cell line U-251 MGImmunocytochemistry/ Immunofluorescence: CS Citrate Synthase Antibody (CL2545) [NBP2-36771]
Immunocytochemistry/Immunofluorescence: CS Citrate Synthase Antibody (CL2545) [NBP2-36771] - Staining in U251 cell line showing specific mitochondrial staining in green. Microtubule-staining and nuclear probes are visualized in red and blue respectively (where available). Antibody staining is shown in green.Immunohistochemistry-Paraffin: CS Citrate Synthase Antibody (CL2545) [NBP2-36771]
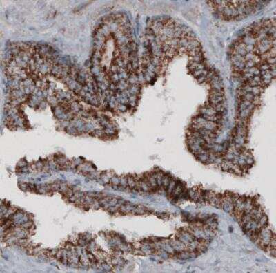
Immunohistochemistry-Paraffin: CS Citrate Synthase Antibody (CL2545) [NBP2-36771] - Staining of human endometrium shows strong granular cytoplasmic immunoreactivity in glandular cells.Applications for CS Citrate Synthase Antibody (CL2545) - BSA Free
Application
Recommended Usage
Immunocytochemistry/ Immunofluorescence
2-10 ug/ml
Immunohistochemistry
1:2500 - 1:5000
Immunohistochemistry-Paraffin
1:2500 - 1:5000
Western Blot
1 ug/ml
Application Notes
For IHC-Paraffin, HIER pH 6 retrieval is recommended. ICC/IF,Fixation Permeabilization: Use PFA/Triton X-100.
Formulation, Preparation, and Storage
Purification
Protein A purified
Formulation
PBS (pH 7.2) and 40% Glycerol
Format
BSA Free
Preservative
0.02% Sodium Azide
Concentration
1 mg/ml
Shipping
The product is shipped with polar packs. Upon receipt, store it immediately at the temperature recommended below.
Stability & Storage
Store at 4C short term. Aliquot and store at -20C long term. Avoid freeze-thaw cycles.
Background: CS Citrate Synthase
Long Name
CS Citrate Synthase
Alternate Names
citrate (Si)-synthase, citrate synthase, mitochondrial, EC 2.3.3.1
Gene Symbol
CS
UniProt
Additional CS Citrate Synthase Products
Product Documents for CS Citrate Synthase Antibody (CL2545) - BSA Free
Product Specific Notices for CS Citrate Synthase Antibody (CL2545) - BSA Free
This product is for research use only and is not approved for use in humans or in clinical diagnosis. Primary Antibodies are guaranteed for 1 year from date of receipt.
Loading...
Loading...
Loading...
Loading...