Skip to main content

CRYZ Antibody - BSA Free

Novus Biologicals, part of Bio-Techne | Catalog # NBP1-89533

Novus Biologicals, part of Bio-Techne
Catalog #
Availability
Size / Price
Qty
Loading...
NBP1-89533
NBP1-89533-25ul

Key Product Details

Validated by

Independent Antibodies

Species Reactivity

Human, Mouse, Rat

Applications

Immunohistochemistry, Immunohistochemistry-Paraffin, Western Blot

Label

Unconjugated

Antibody Source

Polyclonal Rabbit IgG

Format

BSA Free

Concentration

Concentrations vary lot to lot. See vial label for concentration. If unlisted please contact technical services.

Product Specifications

Immunogen

This antibody was developed against Recombinant Protein corresponding to amino acids: KLMRAVRVFEFGGPEVLKLRSDIAVPIPKDHQVLIKVHACGVNPVETYIRSGTYSRKPLLPYTPGSDVAGVIEAVGDNASAFKKGDRVFTSSTISGGYAEYALAADHTVYKLPE

Clonality

Polyclonal

Host

Rabbit

Isotype

IgG

Description

Novus Biologicals Rabbit CRYZ Antibody - BSA Free (NBP1-89533) is a polyclonal antibody validated for use in IHC and WB. All Novus Biologicals antibodies are covered by our 100% guarantee.

Scientific Data Images for CRYZ Antibody - BSA Free

Immunohistochemistry-Paraffin: CRYZ Antibody [NBP1-89533]

Immunohistochemistry-Paraffin: CRYZ Antibody [NBP1-89533]

Immunohistochemistry-Paraffin: CRYZ Antibody [NBP1-89533] - Staining of human colon shows strong cytoplasmic positivity in glandular cells.
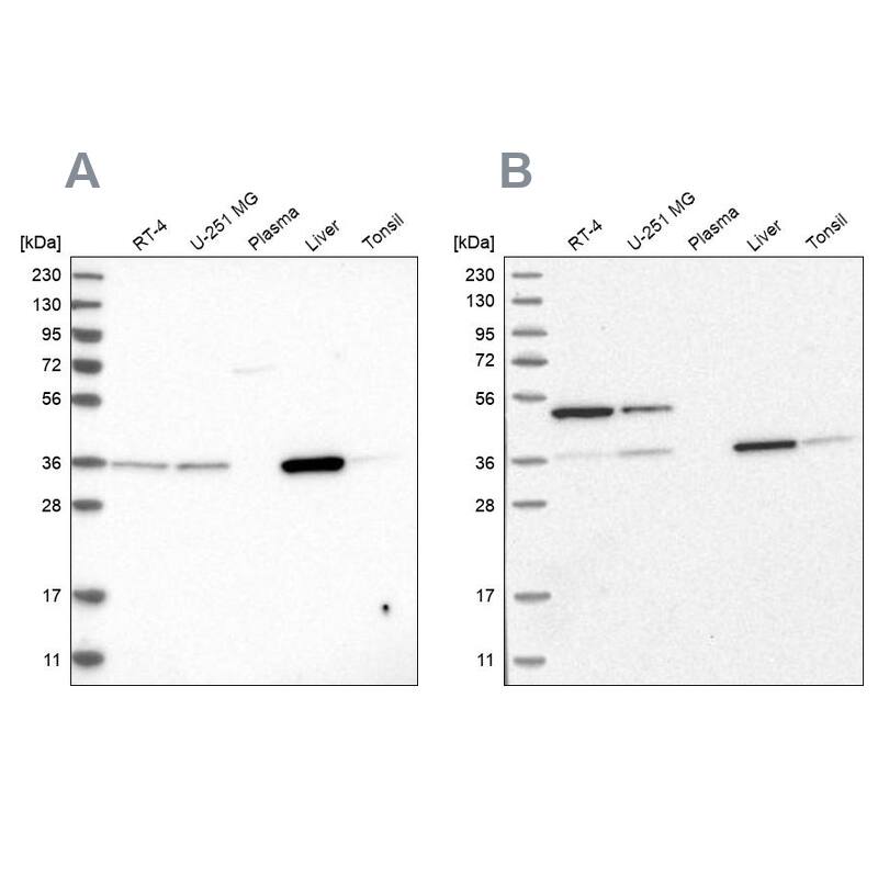
CRYZ Antibody - BSA Free Western Blot: CRYZ Antibody - BSA Free [NBP1-89533]

Western Blot: CRYZ Antibody - BSA Free [NBP1-89533]

Analysis using Anti-CRYZ antibody NBP1-89533 (A) shows similar pattern to independent antibody NBP1-89536 (B).
CRYZ Antibody - BSA Free Western Blot: CRYZ Antibody - BSA Free [NBP1-89533]

Western Blot: CRYZ Antibody - BSA Free [NBP1-89533]

Lane 1: NIH-3T3 cell lysate (Mouse embryonic fibroblast cells)
Lane 2: NBT-II cell lysate (Rat Wistar bladder tumour cells)

Applications for CRYZ Antibody - BSA Free

Application
Recommended Usage

Immunohistochemistry

1:200 - 1:500

Immunohistochemistry-Paraffin

1:200 - 1:500

Western Blot

0.04-0.4 ug/ml
Application Notes
For IHC-Paraffin, HIER pH 6 retrieval is recommended.

Formulation, Preparation, and Storage

Purification

Immunogen affinity purified

Formulation

PBS (pH 7.2) and 40% Glycerol

Format

BSA Free

Preservative

0.02% Sodium Azide

Concentration

Concentrations vary lot to lot. See vial label for concentration. If unlisted please contact technical services.

Shipping

The product is shipped with polar packs. Upon receipt, store it immediately at the temperature recommended below.

Stability & Storage

Store at 4C short term. Aliquot and store at -20C long term. Avoid freeze-thaw cycles.

Background: CRYZ

Alternate Names

crystallin, zeta (quinone reductase), DKFZp779E0834, EC 1.6.5.5, FLJ41475, NADPH:quinone reductase, quinone oxidoreductase, Zeta-crystallin

Gene Symbol

CRYZ

Additional CRYZ Products

Product Documents for CRYZ Antibody - BSA Free

Certificate of Analysis

To download a Certificate of Analysis, please enter a lot number in the search box below.

Product Specific Notices for CRYZ Antibody - BSA Free

This product is for research use only and is not approved for use in humans or in clinical diagnosis. Primary Antibodies are guaranteed for 1 year from date of receipt.

Loading...
Loading...
Loading...
Loading...