Skip to main content

Connexin 50/GJA8 Antibody - BSA Free

Novus Biologicals, part of Bio-Techne | Catalog # NBP2-68799

Novus Biologicals, part of Bio-Techne
Catalog #
Availability
Size / Price
Qty
Loading...
NBP2-68799
NBP2-68799-25ul

Key Product Details

Validated by

Independent Antibodies

Species Reactivity

Human

Applications

Immunohistochemistry, Immunohistochemistry-Paraffin

Label

Unconjugated

Antibody Source

Polyclonal Rabbit IgG

Format

BSA Free

Concentration

Concentrations vary lot to lot. See vial label for concentration. If unlisted please contact technical services.

Product Specifications

Immunogen

This antibody was developed against a recombinant protein corresponding to amino acids: VHYVRMEEKRKSREAEELGQQAGTNGGPDQGSVKKSSGSKGTKKFRLEGTLL

Clonality

Polyclonal

Host

Rabbit

Isotype

IgG

Description

Novus Biologicals Rabbit Connexin 50/GJA8 Antibody - BSA Free (NBP2-68799) is a polyclonal antibody validated for use in IHC. All Novus Biologicals antibodies are covered by our 100% guarantee.

Scientific Data Images for Connexin 50/GJA8 Antibody - BSA Free

Immunocytochemistry/ Immunofluorescence: Connexin 50/GJA8 Antibody [NBP2-68799]

Immunocytochemistry/ Immunofluorescence: Connexin 50/GJA8 Antibody [NBP2-68799]

Immunocytochemistry/Immunofluorescence: Connexin 50/GJA8 Antibody [NBP2-68799] - Immunohistochemical staining of human eye shows moderate positivity in lens.
Immunohistochemistry-Paraffin: Connexin 50/GJA8 Antibody [NBP2-68799]

Immunohistochemistry-Paraffin: Connexin 50/GJA8 Antibody [NBP2-68799]

Immunohistochemistry-Paraffin: Connexin 50/GJA8 Antibody [NBP2-68799] - Staining of human cerebral cortex.
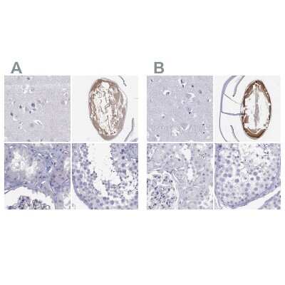
Immunohistochemistry-Paraffin: Connexin 50/GJA8 Antibody [NBP2-68799]

Immunohistochemistry-Paraffin: Connexin 50/GJA8 Antibody [NBP2-68799]

Immunohistochemistry-Paraffin: Connexin 50/GJA8 Antibody [NBP2-68799] - Staining of human cerebral cortex, eye, kidney and testis using Anti-GJA8 antibody NBP2-68799 (A) shows similar protein distribution across tissues to independent antibody NBP2-68589 (B).

Applications for Connexin 50/GJA8 Antibody - BSA Free

Application
Recommended Usage

Immunohistochemistry

1:2500 - 1:5000

Immunohistochemistry-Paraffin

1:2500 - 1:5000
Application Notes
Recommended conditions for IHC,Retrieval method: HIER pH6

Formulation, Preparation, and Storage

Purification

Protein A purified

Formulation

PBS (pH 7.2) and 40% Glycerol

Format

BSA Free

Preservative

0.02% Sodium Azide

Concentration

Concentrations vary lot to lot. See vial label for concentration. If unlisted please contact technical services.

Shipping

The product is shipped with polar packs. Upon receipt, store it immediately at the temperature recommended below.

Stability & Storage

Store at 4C short term. Aliquot and store at -20C long term. Avoid freeze-thaw cycles.

Background: Connexin 50/GJA8

The 433 amino acid long, 48 kDA transmembrane connexin, gap junction alpha-8 protein encoded by the GJA8 gene is critical in growth and development of lens fiber cells. Mutations in the GJA8 gene may lead to zonular pulverulent cataracts, nuclear progressive cataracts, and cataract-microcornea syndrome. The GJA8 gene has been linked to myopia, microphthalmia, neuronitis, cycstic fibrosis, neuopathy, cervical adenocarcinoma, and juvenile myoclonic epilepsy. The GJA8 gene interacts with TJP1, MIP, MED14, GJA1, and GJB1 to participate in pathways such as gap junction assembly, membrane trafficking, and connexin synthesis.

Alternate Names

CAE1, CX50, CZP1, GJA8, MP70

Gene Symbol

GJA8

Additional Connexin 50/GJA8 Products

Product Documents for Connexin 50/GJA8 Antibody - BSA Free

Certificate of Analysis

To download a Certificate of Analysis, please enter a lot number in the search box below.

Product Specific Notices for Connexin 50/GJA8 Antibody - BSA Free

This product is for research use only and is not approved for use in humans or in clinical diagnosis. Primary Antibodies are guaranteed for 1 year from date of receipt.

Loading...
Loading...
Loading...
Loading...