Skip to main content

Clathrin Heavy Chain 1/CHC17 Antibody - Azide and BSA Free

Novus Biologicals, part of Bio-Techne | Catalog # NBP2-99436

Catalog #
Availability
Size / Price
Qty
Loading...
NBP2-99436-100ul
NBP2-99436-50ul
Conjugate
Catalog #

Key Product Details

Species Reactivity

Validated:

Human, Mouse, Rat

Predicted:

Bovine (100%), Human (100%), Rat (100%). Backed by our 100% Guarantee.

Applications

Immunohistochemistry, Immunohistochemistry-Paraffin, Western Blot

Label

Unconjugated

Antibody Source

Polyclonal Rabbit IgG

Format

Azide and BSA Free

Concentration

Please see the vial label for concentration. If unlisted please contact technical services.

Product Specifications

Immunogen

Produced in rabbits immunized with a synthetic peptide corresponding to the center region of the Human Clathrin Heavy Chain 1/CHC17

Clonality

Polyclonal

Host

Rabbit

Isotype

IgG

Description

This antibody can be stored at 2C to 8C for one month without detectable loss of activity. Antibody products are stable for twelve months from date of receipt when stored at -20C to -80C. Avoid repeated freeze-thaw cycles.

Scientific Data Images for Clathrin Heavy Chain 1/CHC17 Antibody - Azide and BSA Free

Western Blot: Clathrin Heavy Chain 1/CHC17 Antibody [NBP2-99436]

Western Blot: Clathrin Heavy Chain 1/CHC17 Antibody [NBP2-99436]

Western Blot: Clathrin Heavy Chain 1/CHC17 Antibody [NBP2-99436] - Anti-Clathrin Heavy Chain 1/CHC17 rabbit polyclonal antibody at 1:500 dilution. Lane A: Mouse brain tissue Lysate. Lane B: HepG2 Whole Cell Lysate. Lane C: Jurkat Whole Cell Lysate. Lysates/proteins at 30 ug per lane Secondary Goat Anti-Rabbit IgG (H+L)/HRP at 1/10000 dilution. Developed using the ECL technique. Performed under reducing conditions. Predicted band size: 180 kDa. Observed band size: 180 kDa
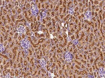
Immunohistochemistry-Paraffin: Clathrin Heavy Chain 1/CHC17 Antibody [NBP2-99436]

Immunohistochemistry-Paraffin: Clathrin Heavy Chain 1/CHC17 Antibody [NBP2-99436]

Immunohistochemistry-Paraffin: Clathrin Heavy Chain 1/CHC17 Antibody [NBP2-99436] - Immunochemical staining Clathrin Heavy Chain 1/CHC17 in rat kidney with rabbit polyclonal antibody at 1:1000 dilution, formalin-fixed paraffin embedded sections.
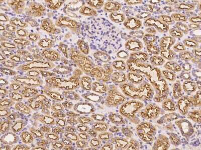
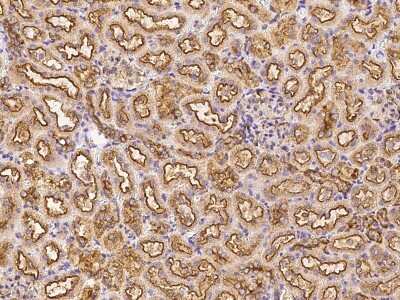
Immunohistochemistry-Paraffin: Clathrin Heavy Chain 1/CHC17 Antibody [NBP2-99436]

Immunohistochemistry-Paraffin: Clathrin Heavy Chain 1/CHC17 Antibody [NBP2-99436]

Immunohistochemistry-Paraffin: Clathrin Heavy Chain 1/CHC17 Antibody [NBP2-99436] - Immunochemical staining Clathrin Heavy Chain 1/CHC17 in human kidney with rabbit polyclonal antibody at 1:1000 dilution, formalin-fixed paraffin embedded sections.

Applications for Clathrin Heavy Chain 1/CHC17 Antibody - Azide and BSA Free

Application
Recommended Usage

Immunohistochemistry-Paraffin

1:500-1:2000

Western Blot

1:500-1:2000

Formulation, Preparation, and Storage

Purification

Antigen and protein A Affinity-purified

Formulation

0.2 um filtered solution in PBS

Format

Azide and BSA Free

Preservative

No Preservative

Concentration

Please see the vial label for concentration. If unlisted please contact technical services.

Shipping

The product is shipped with polar packs. Upon receipt, store it immediately at the temperature recommended below.

Stability & Storage

Store at 4C short term. Aliquot and store at -20C long term. Avoid freeze-thaw cycles.

Background: Clathrin Heavy Chain 1/CHC17

Clathrin is a major protein component of the cytoplasmic face of intracellular organelles, called coated vesicles and coated pits. These specialized organelles are involved in the intracellular trafficking of receptors and endocytosis of a variety of macromolecules. The basic subunit of the clathrin coat is composed of three heavy chains (192 kDa) and three light chains (LCa or LCb, 25-29 kDa) and self assembles into a polyhedral cytoskeletal element. Self assembly facilitates clathrin's central role in membrane sorting and selective transport within the cell.

Long Name

Clathrin Heavy Chain on Chromosome 17

Alternate Names

CHC17, CLH17, CLTC, CLTCL2

Gene Symbol

CLTC

Additional Clathrin Heavy Chain 1/CHC17 Products

Product Documents for Clathrin Heavy Chain 1/CHC17 Antibody - Azide and BSA Free

Certificate of Analysis

To download a Certificate of Analysis, please enter a lot number in the search box below.

Product Specific Notices for Clathrin Heavy Chain 1/CHC17 Antibody - Azide and BSA Free

This product is for research use only and is not approved for use in humans or in clinical diagnosis. Primary Antibodies are guaranteed for 1 year from date of receipt.

Loading...
Loading...
Loading...
Loading...