Skip to main content

cIAP-1/HIAP-2 Antibody (HL1045) - Azide and BSA Free

Novus Biologicals, part of Bio-Techne | Catalog # NBP3-13700

Recombinant Monoclonal Antibody
Novus Biologicals, part of Bio-Techne
Catalog #
Availability
Size / Price
Qty
Loading...
NBP3-13700

Key Product Details

Validated by

Knockout/Knockdown

Species Reactivity

Human

Applications

Western Blot

Label

Unconjugated

Antibody Source

Recombinant Monoclonal Rabbit IgG Clone # HL1045

Format

Azide and BSA Free

Concentration

Concentrations vary lot to lot. See vial label for concentration. If unlisted please contact technical services.

Product Specifications

Immunogen

Recombinant protein encompassing a sequence within the center region of human cIAP-1/HIAP-2. The exact sequence is proprietary.

Clonality

Monoclonal

Host

Rabbit

Isotype

IgG

Description

Centrifuge briefly prior to opening.

Scientific Data Images for cIAP-1/HIAP-2 Antibody (HL1045) - Azide and BSA Free

Western Blot: cIAP-1/HIAP-2 Antibody (HL1045) [NBP3-13700]

Western Blot: cIAP-1/HIAP-2 Antibody (HL1045) [NBP3-13700]

Western Blot: cIAP-1/HIAP-2 Antibody (HL1045) [NBP3-13700] - Non-transfected (-) and transfected (+) 293T whole cell extracts (30 ug) were separated by 7.5% SDS-PAGE, and the membrane was blotted with cIAP-1/HIAP-2 antibody [HL1045] (NBP3-13700) diluted at 1:5000. The HRP-conjugated anti-rabbit IgG antibody (NBP2-19301) was used to detect the primary antibody.
Western Blot: cIAP-1/HIAP-2 Antibody (HL1045) [NBP3-13700]

Western Blot: cIAP-1/HIAP-2 Antibody (HL1045) [NBP3-13700]

Western Blot: cIAP-1/HIAP-2 Antibody (HL1045) [NBP3-13700] - Whole cell extract (30 ug) was separated by 7.5% SDS-PAGE, and the membrane was blotted with cIAP-1/HIAP-2 antibody [HL1045] (NBP3-13700) diluted at 1:1000. The HRP-conjugated anti-rabbit IgG antibody (NBP2-19301) was used to detect the primary antibody.
cIAP-1/HIAP-2 Antibody (HL1045)

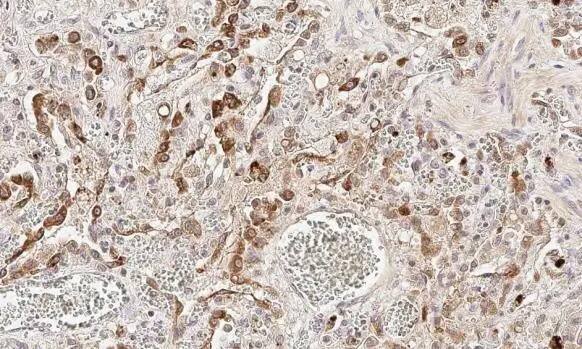
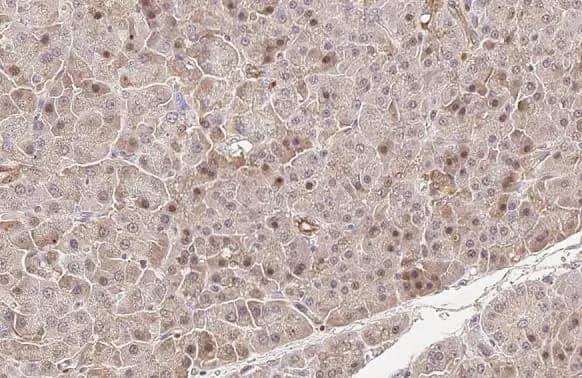
Immunohistochemistry-Paraffin: cIAP-1/HIAP-2 Antibody (HL1045) [NBP3-13700] -

Immunohistochemistry-Paraffin: cIAP-1/HIAP-2 Antibody (HL1045) [NBP3-13700] - cIAP-1/HIAP-2 antibody [HL1045] detects cIAP-1/HIAP-2 protein at nucleus by immunohistochemical analysis.
Sample: Paraffin-embedded dog pancreas.
cIAP-1/HIAP-2 stained by cIAP-1/HIAP-2 antibody [HL1045] (NBP3-13700) diluted at 1:100.
Antigen Retrieval: Citrate buffer, pH 6.0, 15 min

Applications for cIAP-1/HIAP-2 Antibody (HL1045) - Azide and BSA Free

Application
Recommended Usage

Western Blot

Optimal dilutions of this antibody should be experimentally determined.

Formulation, Preparation, and Storage

Purification

Protein A purified

Formulation

PBS

Format

Azide and BSA Free

Preservative

No Preservative

Concentration

Concentrations vary lot to lot. See vial label for concentration. If unlisted please contact technical services.

Shipping

The product is shipped with polar packs. Upon receipt, store it immediately at the temperature recommended below.

Stability & Storage

Store at 4C short term. Aliquot and store at -20C long term. Avoid freeze-thaw cycles.

Background: cIAP-1/HIAP-2

cIAP1 (HIAP2, MIHB) is a member of the family of inhibitor of apoptosis proteins (IAP). IAPs suppress mitochondria-dependent and -independent apoptosis by binding to and inhibiting caspases through their BIR domains (reviewed in Liston et al, 2003; Wright and Duckett, 2005). Resistance towards apoptosis is a hallmark of cancer cells, and overexpression of IAPs can contribute to the development of cancer though inhibiting apoptosis. In addition to at least one BIR domain, some IAP members also have a RING-type finger motif at their carboxyl-terminal. The RING finger domain of several IAPs, including cIAP2, have E3 ubiquitin ligase activity and target the degradation of Smac/DIABLO through ubqiuitination. Smac/DIABLO is a death inducer and functions by inhibiting IAP-caspase interactions, thereby promoting apoptosis. Degradation of cell death inducers like Smac/DIABLO is thought to be a conserved mechanism by which IAPs enhance their anti-apoptotic activity, thereby promoting cell survival. The IAPs, including cIAP1, have widespread tissue protein expression, with expression levels and subcellular localization patterns differing depending on the cell lineage (see Vischioni et al. 2005 for a comprehensive study). This antibody recognizes cIAP1, human cIAP1 is a 618 amino acid protein.

Long Name

Cellular Inhibitor of Apoptosis Protein 1

Alternate Names

BIRC2, cIAP1, HIAP-2, MIHB

Gene Symbol

BIRC2

Additional cIAP-1/HIAP-2 Products

Product Documents for cIAP-1/HIAP-2 Antibody (HL1045) - Azide and BSA Free

Certificate of Analysis

To download a Certificate of Analysis, please enter a lot number in the search box below.

Product Specific Notices for cIAP-1/HIAP-2 Antibody (HL1045) - Azide and BSA Free

This product is for research use only and is not approved for use in humans or in clinical diagnosis. Primary Antibodies are guaranteed for 1 year from date of receipt.

Loading...
Loading...
Loading...
Loading...