Skip to main content

CHREBP Antibody (2D9NB) - Azide and BSA Free

Novus Biologicals, part of Bio-Techne | Catalog # NBP2-80669

Novus Biologicals, part of Bio-Techne
Catalog #
Availability
Size / Price
Qty
Loading...
NBP2-80669

Key Product Details

Species Reactivity

Human, Mouse, Rat

Applications

Immunohistochemistry, Immunohistochemistry-Paraffin, Western Blot, Immunocytochemistry/ Immunofluorescence

Label

Unconjugated

Antibody Source

Monoclonal Mouse IgG2b Kappa Clone # 2D9NB

Format

Azide and BSA Free

Concentration

1 mg/ml

Product Specifications

Immunogen

Partial recombinant human ChREBP protein between amino acids 600-800.

Localization

Cytoplasm, Nucleus

Clonality

Monoclonal

Host

Mouse

Isotype

IgG2b Kappa

Description

Novus Biologicals Mouse CHREBP Antibody (2D9NB) - Azide and BSA Free (NBP2-44307) is a monoclonal antibody validated for use in IHC, WB and ICC/IF. All Novus Biologicals antibodies are covered by our 100% guarantee.

Scientific Data Images for CHREBP Antibody (2D9NB) - Azide and BSA Free

Immunocytochemistry/ Immunofluorescence: CHREBP Antibody (2D9NB) - Azide and BSA Free [NBP2-80669]

Immunocytochemistry/ Immunofluorescence: CHREBP Antibody (2D9NB) - Azide and BSA Free [NBP2-80669]

Immunocytochemistry/Immunofluorescence: CHREBP Antibody (2D9NB) - Azide and BSA Free [NBP2-80669] - HeLa cells were fixed for 10 minutes using 10% formalin and then permeabilized for 5 minutes using 1X TBS + 0.5% Triton X-100. The cells were incubated with CHREBP (2D9NB) at a 1:100 dilution overnight at 4C and detected with DyLight 488 (Green) at a 1:500 dilution. Actin was detected with Phalloidin 568 (Red) at a 1:200 dilution. Nuclei were detected with DAPI (Blue) at 2.0 ug/ml in 1X PBS. Cells were imaged using a 40X objective. Image from the standard format of this antibody.
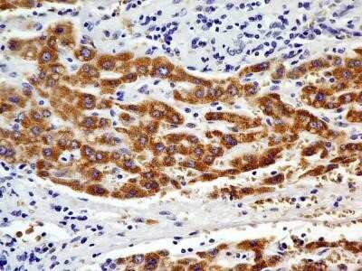
Immunohistochemistry: CHREBP Antibody (2D9NB) - Azide and BSA Free [NBP2-80669]

Immunohistochemistry: CHREBP Antibody (2D9NB) - Azide and BSA Free [NBP2-80669]

Immunohistochemistry: CHREBP Antibody (2D9NB) - Azide and BSA Free [NBP2-80669] - Analysis of a FFPE tissue section of human hepatocellular carcinoma using 1:200 dilution of CHREBP antibody (clone 2D9NB). The antibody generated a diffused to punctate staining pattern in the cytoplasm of cancer cells. Some cells depicted nuclear positiv
Immunohistochemistry-Paraffin: CHREBP Antibody (2D9NB) - Azide and BSA Free [NBP2-80669]

Immunohistochemistry-Paraffin: CHREBP Antibody (2D9NB) - Azide and BSA Free [NBP2-80669]

Immunohistochemistry-Paraffin: CHREBP Antibody (2D9NB) - Azide and BSA Free [NBP2-80669] - Analysis of a FFPE tissue section of normal human kidney using 1:200 dilution of CHREBP antibody (clone 2D9NB). The antibody generated a diffused to punctate staining pattern mainly in the cytoplasm (but in some nuclei also) of cuboidal epithelial cells o

Applications for CHREBP Antibody (2D9NB) - Azide and BSA Free

Application
Recommended Usage

Immunocytochemistry/ Immunofluorescence

1:100

Immunohistochemistry

1:200

Western Blot

1:500 ug/ml

Formulation, Preparation, and Storage

Purification

Protein G purified

Formulation

PBS

Format

Azide and BSA Free

Preservative

No Preservative

Concentration

1 mg/ml

Shipping

The product is shipped with polar packs. Upon receipt, store it immediately at the temperature recommended below.

Stability & Storage

Store at 4C short term. Aliquot and store at -20C long term. Avoid freeze-thaw cycles.

Background: CHREBP

Carbohydrate response element-binding protein (ChREBP) is a glucose sensitive basic helix-loop-helix/leucine zipper transcription factor which heterodimerise with MLX and binds to carbohydrate response element (ChoRE) on DNA for the induction genes involved in glycolysis, de novo lipogenesis (DNL), and fatty acid desaturation. Some of the target genes of ChREBP are glucokinase (GCK), fatty acid synthase (FAS), acetyl-CoA carboxylase (ACC), pyruvate kinase/liver type pyruvate kinase (PK1/ PKLR), delta-9-desaturase (SCD/SCD1) etc. ChREBP is expressed as alpha and beta alternatively spliced isoforms, and among these two isoforms, the alpha-isoform is activated in a glucose-dependent manner. ChREBP is expressed in the cytoplasm and nuclei of a number of mammalian tissues, with high levels found in liver, skeletal muscle, white/brown adipose, heart, kidney, cerebellum and intestine. Glucose stimulates ChREBP transcriptional expression and activates the transactivity of ChREBP protein. It is activated independent of insulin and recent findings have suggested that together with its binding partner Mlx, ChREBP implicates in metabolic processes, insulin signaling related pathways, and also tumorigenesis/cancers. Also, increased hepatic ChREBP expression has been suggested to result in development of non-alcoholic fatty liver disease (NAFLD) and obesity through the conversion of carbohydrates into triglycerides (de novo lipogenesis).

Alternate Names

BHLHD14, CHREBPcarbohydrate-responsive element-binding protein, Class D basic helix-loop-helix protein 14, MIOWS basic-helix-loop-helix leucine zipper protein, MLX interacting protein-like, MLX interactor, MLX-interacting protein-like, MONDOBWilliams-Beuren syndrome chromosomal region 14 protein, WBSCR14Williams-Beuren syndrome chromosome region 14 protein 1, Williams Beuren syndrome chromosome region 14, Williams-Beuren syndrome chromosome region 14 protein 2, WS-bHLHbHLHd14carbohydrate response element binding protein

Gene Symbol

MLXIPL

Additional CHREBP Products

Product Documents for CHREBP Antibody (2D9NB) - Azide and BSA Free

Certificate of Analysis

To download a Certificate of Analysis, please enter a lot number in the search box below.

Product Specific Notices for CHREBP Antibody (2D9NB) - Azide and BSA Free

This product is for research use only and is not approved for use in humans or in clinical diagnosis. Primary Antibodies are guaranteed for 1 year from date of receipt.

Loading...
Loading...
Loading...
Loading...