CHREBP Antibody (2D9NB) - BSA Free
Novus Biologicals, part of Bio-Techne | Catalog # NBP2-44307
Conjugate
Catalog #
Forumulation
Catalog #
Key Product Details
Species Reactivity
Validated:
Human, Mouse, Rat
Cited:
Mouse, Rat
Applications
Validated:
Immunohistochemistry, Immunohistochemistry-Paraffin, Western Blot, Immunocytochemistry/ Immunofluorescence, Chromatin Immunoprecipitation, Chromatin Immunoprecipitation (ChIP)
Cited:
Western Blot, Chemotaxis
Label
Unconjugated
Antibody Source
Monoclonal Mouse IgG2b Kappa Clone # 2D9NB
Format
BSA Free
Concentration
1.0 mg/ml
Product Specifications
Immunogen
Partial recombinant human ChREBP protein between amino acids 600-800.
Reactivity Notes
Mouse reactivity reported in scientific literature (PMID: 31289120). Use in Rat reported in scientific literature (PMID:19363290).
Localization
Cytoplasm, Nucleus
Clonality
Monoclonal
Host
Mouse
Isotype
IgG2b Kappa
Scientific Data Images for CHREBP Antibody (2D9NB) - BSA Free
Immunocytochemistry/ Immunofluorescence: CHREBP Antibody (2D9NB) - BSA Free [NBP2-44307]
Immunocytochemistry/Immunofluorescence: CHREBP Antibody (2D9NB) [NBP2-44307] - HeLa cells were fixed for 10 minutes using 10% formalin and then permeabilized for 5 minutes using 1X TBS + 0.5% Triton X-100. The cells were incubated with CHREBP (2D9NB) at a 1:100 dilution overnight at 4C and detected with DyLight 488 (Green) at a 1:500 dilution. Actin was detected with Phalloidin 568 (Red) at a 1:200 dilution. Nuclei were detected with DAPI (Blue) at 2.0 ug/ml in 1X PBS. Cells were imaged using a 40X objective.Immunohistochemistry-Paraffin: CHREBP Antibody (2D9NB) - BSA Free [NBP2-44307]
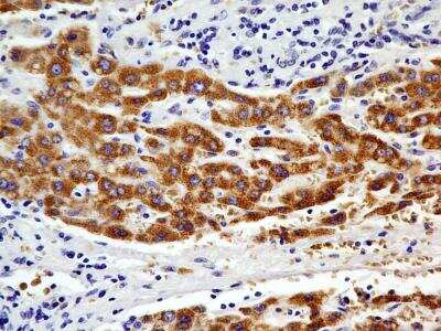
Immunohistochemistry-Paraffin: CHREBP Antibody (2D9NB) [NBP2-44307] - Analysis of a FFPE tissue section of human hepatocellular carcinoma using 1:200 dilution of CHREBP antibody (clone 2D9NB). The antibody generated a diffused to punctate staining pattern in the cytoplasm of cancer cells. Some cells depicted nuclear positivity also while the stroma was largely negative for CHREBP expression.Immunohistochemistry-Paraffin: CHREBP Antibody (2D9NB) - BSA Free [NBP2-44307]
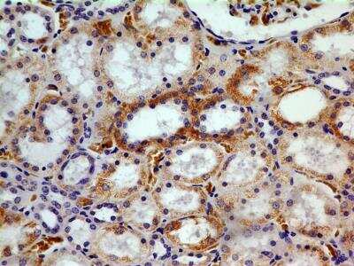
Immunohistochemistry-Paraffin: CHREBP Antibody (2D9NB) [NBP2-44307] - Analysis of a FFPE tissue section of normal human kidney using 1:200 dilution of CHREBP antibody (clone 2D9NB). The antibody generated a diffused to punctate staining pattern mainly in the cytoplasm (but in some nuclei also) of cuboidal epithelial cells of various ducts and tubules.Applications for CHREBP Antibody (2D9NB) - BSA Free
Application
Recommended Usage
Chromatin Immunoprecipitation
reported in scientific literature (PMID 31289120)
Immunocytochemistry/ Immunofluorescence
1:100
Immunohistochemistry
1:200
Immunohistochemistry-Paraffin
1:200
Western Blot
1:500 ug/ml
Formulation, Preparation, and Storage
Purification
Protein G purified
Formulation
PBS
Format
BSA Free
Preservative
0.02% Sodium Azide
Concentration
1.0 mg/ml
Shipping
The product is shipped with polar packs. Upon receipt, store it immediately at the temperature recommended below.
Stability & Storage
Store at 4C short term. Aliquot and store at -20C long term. Avoid freeze-thaw cycles.
Background: CHREBP
Alternate Names
BHLHD14, CHREBPcarbohydrate-responsive element-binding protein, Class D basic helix-loop-helix protein 14, MIOWS basic-helix-loop-helix leucine zipper protein, MLX interacting protein-like, MLX interactor, MLX-interacting protein-like, MONDOBWilliams-Beuren syndrome chromosomal region 14 protein, WBSCR14Williams-Beuren syndrome chromosome region 14 protein 1, Williams Beuren syndrome chromosome region 14, Williams-Beuren syndrome chromosome region 14 protein 2, WS-bHLHbHLHd14carbohydrate response element binding protein
Entrez Gene IDs
51085 (Human)
Gene Symbol
MLXIPL
UniProt
Additional CHREBP Products
Product Documents for CHREBP Antibody (2D9NB) - BSA Free
Product Specific Notices for CHREBP Antibody (2D9NB) - BSA Free
This product is for research use only and is not approved for use in humans or in clinical diagnosis. Primary Antibodies are guaranteed for 1 year from date of receipt.
Loading...
Loading...
Loading...
Loading...