Skip to main content

CHMP2B Antibody

Novus Biologicals, part of Bio-Techne | Catalog # NBP2-15887

Novus Biologicals, part of Bio-Techne
Catalog #
Availability
Size / Price
Qty
Loading...
NBP2-15887

Key Product Details

Species Reactivity

Validated:

Human, Mouse

Predicted:

Bovine (99%), Chicken (96%), Mouse (100%), Porcine (99%), Rhesus Macaque (99%), Xenopus (94%). Backed by our 100% Guarantee.

Applications

Knockout Validated, Immunohistochemistry, Immunohistochemistry-Paraffin, Western Blot, Immunocytochemistry/ Immunofluorescence

Label

Unconjugated

Antibody Source

Polyclonal Rabbit IgG

Concentration

Concentrations vary lot to lot. See vial label for concentration. If unlisted please contact technical services.

Product Specifications

Immunogen

Recombinant protein encompassing a sequence within the center region of human CHMP2B. The exact sequence is proprietary.

Reactivity Notes

Xenopus laevis (94%).

Localization

Cytoplasm; cytosol; Late endosome membrane

Clonality

Polyclonal

Host

Rabbit

Isotype

IgG

Theoretical MW

24 kDa.
Disclaimer note: The observed molecular weight of the protein may vary from the listed predicted molecular weight due to post translational modifications, post translation cleavages, relative charges, and other experimental factors.

Description

Novus Biologicals Knockout (KO) Validated Rabbit CHMP2B Antibody (NBP2-15887) is a polyclonal antibody validated for use in IHC, WB and ICC/IF. All Novus Biologicals antibodies are covered by our 100% guarantee.

Scientific Data Images for CHMP2B Antibody

Western Blot: CHMP2B Antibody [NBP2-15887]

Western Blot: CHMP2B Antibody [NBP2-15887]

Western Blot: CHMP2B Antibody [NBP2-15887] - Jurkat whole cell extracts and Jurkat exosome extract (15.4 ug) were separated by 12% SDS-PAGE, and the membrane was blotted with CHMP2B antibody diluted at 1:250. HRP-conjugated anti-rabbit IgG antibody was used to detect the primary antibody.
Immunocytochemistry/ Immunofluorescence: CHMP2B Antibody [NBP2-15887]

Immunocytochemistry/ Immunofluorescence: CHMP2B Antibody [NBP2-15887]

Immunocytochemistry/Immunofluorescence: CHMP2B Antibody [NBP2-15887] - Immunofluorescence analysis of methanol-fixed HeLa, using antibody at 1:500 dilution.
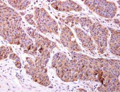
Immunohistochemistry-Paraffin: CHMP2B Antibody [NBP2-15887]

Immunohistochemistry-Paraffin: CHMP2B Antibody [NBP2-15887]

Immunohistochemistry-Paraffin: CHMP2B Antibody [NBP2-15887] - Paraffin-embedded human breast carcinoma. CHMP2B antibody diluted at 1:500.

Applications for CHMP2B Antibody

Application
Recommended Usage

Immunocytochemistry/ Immunofluorescence

1:100-1:1000

Immunohistochemistry

1:100-1:1000

Immunohistochemistry-Paraffin

1:100-1:1000

Western Blot

1:500-1:3000

Formulation, Preparation, and Storage

Purification

Antigen Affinity-purified

Formulation

PBS, 20% Glycerol

Preservative

0.01% Thimerosal

Concentration

Concentrations vary lot to lot. See vial label for concentration. If unlisted please contact technical services.

Shipping

The product is shipped with polar packs. Upon receipt, store it immediately at the temperature recommended below.

Stability & Storage

Aliquot and store at -20C or -80C. Avoid freeze-thaw cycles.

Background: CHMP2B

This gene encodes a component of the heteromeric ESCRT-III complex (Endosomal Sorting Complex Required for Transport III) that functions in the recycling or degradation of cell surface receptors. ESCRT-III functions in the concentration and invagination of ubiquitinated endosomal cargos into intralumenal vesicles. The protein encoded by this gene is found as a monomer in the cytosol or as an oligomer in ESCRT-III complexes on endosomal membranes. It is expressed in neurons of all major regions of the brain. Mutations in this gene result in one form of familial frontotemporal lobar degeneration. [provided by RefSeq]

Long Name

Charged Multivesicular Body Protein 2B

Alternate Names

CHMP2.5, DMT1, Vps2-2, VPS2B

Gene Symbol

CHMP2B

UniProt

Additional CHMP2B Products

Product Documents for CHMP2B Antibody

Certificate of Analysis

To download a Certificate of Analysis, please enter a lot number in the search box below.

Product Specific Notices for CHMP2B Antibody

This product is for research use only and is not approved for use in humans or in clinical diagnosis. Primary Antibodies are guaranteed for 1 year from date of receipt.

Loading...
Loading...
Loading...
Loading...

⚠ WARNING: This product can expose you to chemicals including mercury, which is known to the State of California to cause reproductive toxicity with developmental effects.  For more information go to www.P65Warnings.ca.gov.