Skip to main content

Ceruloplasmin Antibody (6C3K9)

Novus Biologicals, part of Bio-Techne | Catalog # NBP3-15868

Recombinant Monoclonal Antibody
Novus Biologicals, part of Bio-Techne
Catalog #
Availability
Size / Price
Qty
Loading...
NBP3-15868-20ul
NBP3-15868-100ul

Key Product Details

Species Reactivity

Human, Mouse, Rat

Applications

ELISA, Immunocytochemistry/ Immunofluorescence, Immunohistochemistry, Immunohistochemistry-Paraffin, Western Blot

Label

Unconjugated

Antibody Source

Recombinant Monoclonal Rabbit IgG Clone # 6C3K9 expressed in HEK293

Concentration

Please see the vial label for concentration. If unlisted please contact technical services.

Product Specifications

Immunogen

Recombinant fusion protein containing a sequence corresponding to amino acids 366-572 of human Ceruloplasmin (NP_000087.1). IRGKHVRHYYIAAEEIIWNYAPSGIDIFTKENLTAPGSDSAVFFEQGTTRIGGSYKKLVYREYTDASFTNRKERGPEEEHLGILGPVIWAEVGDTIRVTFHNKGAYPLSIEPIGVRFNKNNEGTYYSPNYNPQSRSVPPSASHVAPTETFTYEWTVPKEVGPTNADPVCLAKMYYSAVDPTKDIFTGLIGPMKICKKGSLHANGRQK

Clonality

Monoclonal

Host

Rabbit

Isotype

IgG

Theoretical MW

122 kDa.
Disclaimer note: The observed molecular weight of the protein may vary from the listed predicted molecular weight due to post translational modifications, post translation cleavages, relative charges, and other experimental factors.

Description

Novus Biologicals Rabbit Ceruloplasmin Antibody (6C3K9) (NBP3-15868) is a recombinant monoclonal antibody validated for use in IHC, WB, ELISA and ICC/IF. All Novus Biologicals antibodies are covered by our 100% guarantee.

Scientific Data Images for Ceruloplasmin Antibody (6C3K9)

Ceruloplasmin Antibody (6C3K9)

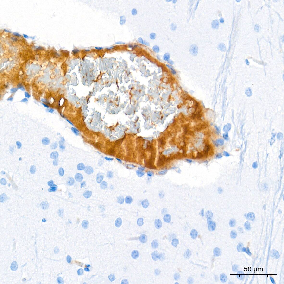
Immunohistochemistry: Ceruloplasmin Antibody (6C3K9) [Ceruloplasmin] -

Immunohistochemistry: Ceruloplasmin Antibody (6C3K9) [Ceruloplasmin] - Immunohistochemistry analysis of paraffin-embedded Rat brain tissue using Ceruloplasmin Rabbit mAb at a dilution of 1:10000 (40x lens). High pressure antigen retrieval performed with 0.01M Tris-EDTA Buffer (pH 9.0) prior to IHC staining.
Ceruloplasmin Antibody (6C3K9)

Immunohistochemistry: Ceruloplasmin Antibody (6C3K9) [Ceruloplasmin] -

Immunohistochemistry: Ceruloplasmin Antibody (6C3K9) [Ceruloplasmin] - Immunohistochemistry analysis of paraffin-embedded Mouse testis tissue using Ceruloplasmin Rabbit mAb at a dilution of 1:10000 (40x lens). High pressure antigen retrieval performed with 0.01M Tris-EDTA Buffer (pH 9.0) prior to IHC staining.
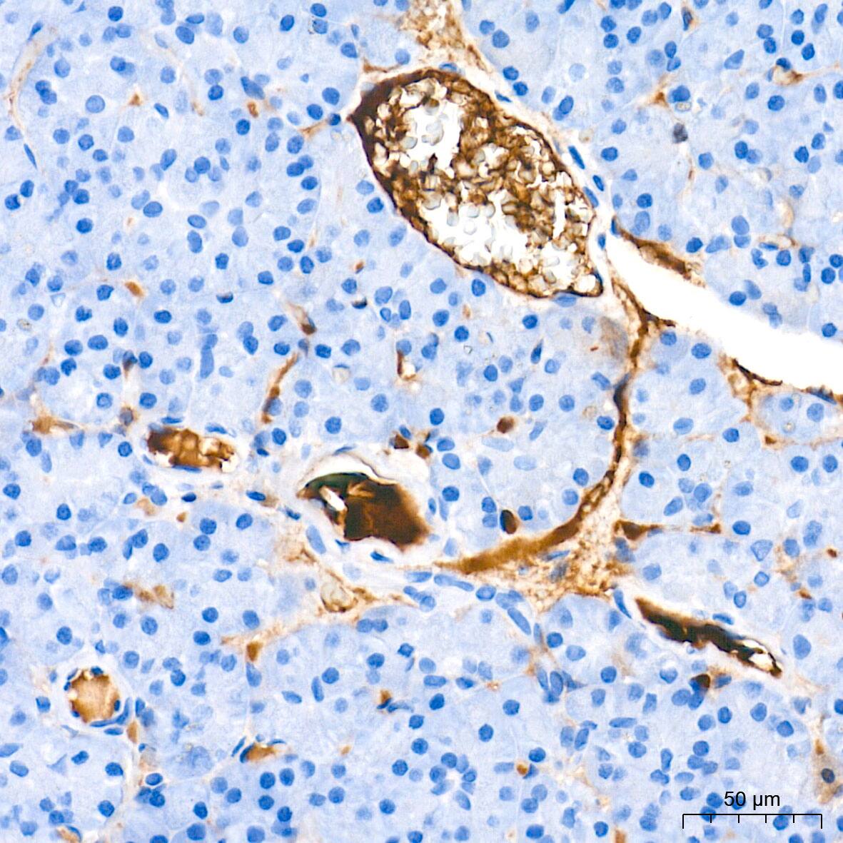
Ceruloplasmin Antibody (6C3K9)

Immunohistochemistry: Ceruloplasmin Antibody (6C3K9) [Ceruloplasmin] -

Immunohistochemistry: Ceruloplasmin Antibody (6C3K9) [Ceruloplasmin] - Immunohistochemistry analysis of paraffin-embedded Human pancreas tissue using Ceruloplasmin Rabbit mAb at a dilution of 1:10000 (40x lens). High pressure antigen retrieval performed with 0.01M Tris-EDTA Buffer (pH 9.0) prior to IHC staining.

Applications for Ceruloplasmin Antibody (6C3K9)

Application
Recommended Usage

ELISA

Recommended starting concentration is 1 ug/mL. Please optimize the concentration based on your specific assay requirements.

Immunocytochemistry/ Immunofluorescence

1:50 - 1:200

Immunohistochemistry-Paraffin

1:5000-1:20000

Western Blot

1:1000 - 1:2000
Application Notes
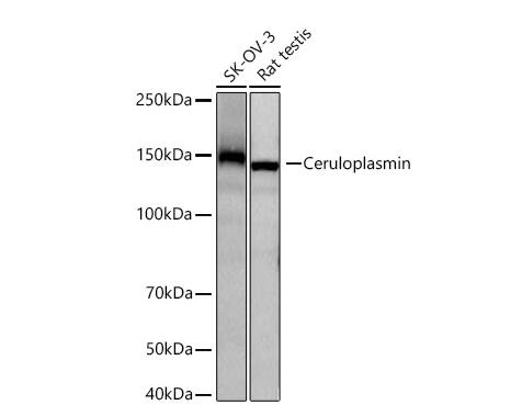
Observed MW: 140kDa

Formulation, Preparation, and Storage

Purification

Affinity purified

Formulation

PBS (pH 7.3), 50% glycerol, 0.05% BSA

Preservative

0.05% Proclin 300

Concentration

Please see the vial label for concentration. If unlisted please contact technical services.

Shipping

The product is shipped with polar packs. Upon receipt, store it immediately at the temperature recommended below.

Stability & Storage

Store at -20C. Avoid freeze-thaw cycles.

Background: Ceruloplasmin

The protein encoded by the Ceruloplasmin gene is a metalloprotein that binds most of the copper in plasma and is involved in theperoxidation of Fe(II)transferrin to Fe(III) transferrin. Mutations in this gene cause aceruloplasminemia, whichresults in iron accumulation and tissue damage, and is associated with diabetes and neurologic abnormalities.(provided by RefSeq)

Alternate Names

ceruloplasmin, ceruloplasmin (ferroxidase), CP-2, EC 1.16.3.1, Ferroxidase

Gene Symbol

CP

Additional Ceruloplasmin Products

Product Documents for Ceruloplasmin Antibody (6C3K9)

Certificate of Analysis

To download a Certificate of Analysis, please enter a lot number in the search box below.

Product Specific Notices for Ceruloplasmin Antibody (6C3K9)

This product is for research use only and is not approved for use in humans or in clinical diagnosis. Primary Antibodies are guaranteed for 1 year from date of receipt.

Loading...
Loading...
Loading...
Loading...
Loading...

⚠ WARNING: This product can expose you to chemicals including Methotrexate, which is known to the State of California to cause reproductive toxicity with developmental effects. For more information, go to www.P65Warnings.ca.gov