CEACAM5/CD66e Antibody (OTI3D8)
Novus Biologicals, part of Bio-Techne | Catalog # NBP2-46231
Conjugate
Catalog #
Forumulation
Catalog #
Key Product Details
Species Reactivity
Human
Applications
Immunohistochemistry, Immunohistochemistry-Paraffin, Western Blot
Label
Unconjugated
Antibody Source
Monoclonal Mouse IgG2A Clone # OTI3D8
Concentration
1 mg/ml
Product Specifications
Immunogen
Human recombinant protein fragment corresponding to amino acids 35-680 of human CEACAM5 (NP_004354) produced in SF9 cell.
Clonality
Monoclonal
Host
Mouse
Isotype
IgG2A
Description
Novus Biologicals Mouse CEACAM5/CD66e Antibody (OTI3D8) (NBP2-46231) is a monoclonal antibody validated for use in IHC and WB. All Novus Biologicals antibodies are covered by our 100% guarantee.
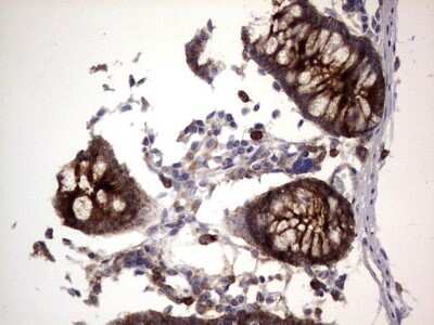
Scientific Data Images for CEACAM5/CD66e Antibody (OTI3D8)
Western Blot: CEACAM5/CD66e Antibody (OTI3D8) [NBP2-46231]
Western Blot: CEACAM-5/CD66e Antibody (3D8) [NBP2-46231] - Analysis of HEK293T cells were transfected with the pCMV6-ENTRY control (Left lane) or pCMV6-ENTRY CEACAM-5.Immunohistochemistry: CEACAM5/CD66e Antibody (OTI3D8) [NBP2-46231]
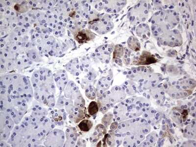
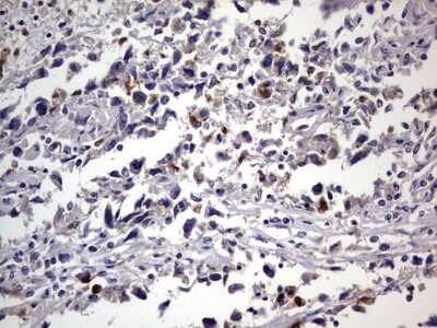
Immunohistochemistry: CEACAM-5/CD66e Antibody (3D8) [NBP2-46231] - Analysis of Human tonsil tissue.Immunohistochemistry: CEACAM5/CD66e Antibody (OTI3D8) [NBP2-46231]
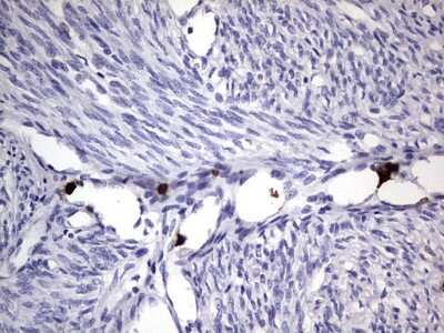
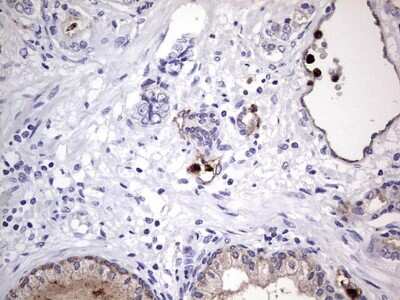
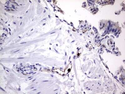
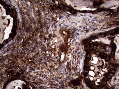
Immunohistochemistry: CEACAM-5/CD66e Antibody (3D8) [NBP2-46231] - Analysis of Human colon tissue.Applications for CEACAM5/CD66e Antibody (OTI3D8)
Application
Recommended Usage
Immunohistochemistry
1:150
Immunohistochemistry-Paraffin
1:150
Western Blot
1:2000
Formulation, Preparation, and Storage
Purification
Immunogen affinity purified
Formulation
PBS (pH 7.3), 1.0% BSA and 50% Glycerol
Preservative
0.02% Sodium Azide
Concentration
1 mg/ml
Shipping
The product is shipped with polar packs. Upon receipt, store it immediately at the temperature recommended below.
Stability & Storage
Store at -20C. Avoid freeze-thaw cycles.
Background: CEACAM-5/CD66e
Long Name
Carcinoembryonic Antigen-related Cell Adhesion Molecule 5
Alternate Names
CD66e, CEA, CEACAM5
Gene Symbol
CEACAM5
Additional CEACAM-5/CD66e Products
Product Documents for CEACAM5/CD66e Antibody (OTI3D8)
Product Specific Notices for CEACAM5/CD66e Antibody (OTI3D8)
This product is for research use only and is not approved for use in humans or in clinical diagnosis. Primary Antibodies are guaranteed for 1 year from date of receipt.
Loading...
Loading...
Loading...
Loading...