Skip to main content

CD23/Fc epsilon RII Antibody (OTI2B6) - Azide and BSA Free

Novus Biologicals, part of Bio-Techne | Catalog # NBP2-70701

Novus Biologicals, part of Bio-Techne

Key Product Details

Species Reactivity

Human

Applications

Immunohistochemistry, Immunohistochemistry-Paraffin, Western Blot, Flow Cytometry

Label

Unconjugated

Antibody Source

Monoclonal Mouse IgG1 Clone # OTI2B6

Format

Azide and BSA Free

Concentration

LYOPH mg/ml

Product Specifications

Immunogen

Human recombinant protein fragment corresponding to amino acids 48-321 of human FCER2 (NP_001993) produced in SF9 cell.

Clonality

Monoclonal

Host

Mouse

Isotype

IgG1

Theoretical MW

36.3 kDa.
Disclaimer note: The observed molecular weight of the protein may vary from the listed predicted molecular weight due to post translational modifications, post translation cleavages, relative charges, and other experimental factors.

Description

Novus Biologicals Mouse CD23/Fc epsilon RII Antibody (OTI2B6) - Azide and BSA Free (NBP2-45624) is a monoclonal antibody validated for use in IHC, WB and Flow. All Novus Biologicals antibodies are covered by our 100% guarantee.

Scientific Data Images for CD23/Fc epsilon RII Antibody (OTI2B6) - Azide and BSA Free

Western Blot: CD23/Fc epsilon RII Antibody (OTI2B6)Azide and BSA Free [NBP2-70701]

Western Blot: CD23/Fc epsilon RII Antibody (OTI2B6)Azide and BSA Free [NBP2-70701]

Western Blot: CD23/Fc epsilon RII Antibody (OTI2B6) - Azide and BSA Free [NBP2-70701] - Analysis of HEK293T cells were transfected with the pCMV6-ENTRY control (Left lane) or pCMV6-ENTRY CD23.
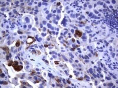
Immunohistochemistry: CD23/Fc epsilon RII Antibody (OTI2B6) - Azide and BSA Free [NBP2-70701]

Immunohistochemistry: CD23/Fc epsilon RII Antibody (OTI2B6) - Azide and BSA Free [NBP2-70701]

Immunohistochemistry: CD23/Fc epsilon RII Antibody (OTI2B6) - Azide and BSA Free [NBP2-70701] - Analysis of Carcinoma of Human bladder tissue. (Heat-induced epitope retrieval by 10mM citric buffer, pH6.0, 120C for 3min)
Flow Cytometry: CD23/Fc epsilon RII Antibody (OTI2B6) - Azide and BSA Free [NBP2-70701]

Flow Cytometry: CD23/Fc epsilon RII Antibody (OTI2B6) - Azide and BSA Free [NBP2-70701]

Flow Cytometry: CD23/Fc epsilon RII Antibody (OTI2B6) - Azide and BSA Free [NBP2-70701] - Analysis of living 293T cells transfected with FCER2 overexpression plasmid .

Applications for CD23/Fc epsilon RII Antibody (OTI2B6) - Azide and BSA Free

Application
Recommended Usage

Immunohistochemistry

1:150

Western Blot

1:2000

Formulation, Preparation, and Storage

Purification

Immunogen affinity purified

Reconstitution

we recommend adding 100uL distilled water to a final antibody concentration of about 1 mg/mL. To use this carrier-free antibody for conjugation experiment, we strongly recommend performing another round of desalting process.

Formulation

Lyophilized from PBS (pH 7.3) with 8% Trehalose

Format

Azide and BSA Free

Preservative

No Preservative

Concentration

LYOPH mg/ml

Shipping

The product is shipped with polar packs. Upon receipt, store it immediately at the temperature recommended below.

Stability & Storage

Store at -20C. Avoid freeze-thaw cycles.

Background: CD23/Fc epsilon RII

The CD23 antigen is the low affinity IgE Fc receptor, which is a 49 kDa protein with 38 and 28 kDa fragments. It is expressed on most mature, conventional B cells (but not on peritoneal CD5+ B cells), and can also be found on the surface of T cells, macrophages, platelets and EBV transformed B lymphoblasts. Expression of CD23 has been detected in neoplastic cells from cases of B cell chronic Lymphocytic leukemia. CD23 is expressed by B cells in the follicular mantle but not by proliferating germinal centre cells. CD23 is also expressed by eosinophils. CD23 is distinct from the high affinity IgE receptors found on basophils and mast cells, which mediate allergic reactions. The low affinity receptors are thought to play a role in isotype specific immunoregulation. The regulation of CD23 surface expression appears to be integral with the complex IgE system, which involves interactions of cells, cytokines, antibodies and regulatory factors. CD23 has been described as a

Long Name

Fc epsilon Receptor II

Alternate Names

CD23, CLEC4J, Fc epsilon RII, FCER2, Fcer2a, FceRII, IGEBF, Ly-42

Gene Symbol

FCER2

Additional CD23/Fc epsilon RII Products

Product Documents for CD23/Fc epsilon RII Antibody (OTI2B6) - Azide and BSA Free

Certificate of Analysis

To download a Certificate of Analysis, please enter a lot number in the search box below.

Product Specific Notices for CD23/Fc epsilon RII Antibody (OTI2B6) - Azide and BSA Free

This product is for research use only and is not approved for use in humans or in clinical diagnosis. Primary Antibodies are guaranteed for 1 year from date of receipt.

Loading...
Loading...
Loading...
Loading...
Loading...
Loading...