Skip to main content

CD21 Antibody (CR2/7185R)

Novus Biologicals, part of Bio-Techne | Catalog # NBP3-20354

Recombinant Monoclonal Antibody
Novus Biologicals, part of Bio-Techne
Catalog #
Availability
Size / Price
Qty
Loading...
NBP3-20354-20ug
NBP3-20354-100ug

Key Product Details

Species Reactivity

Human

Applications

Immunohistochemistry-Paraffin, Multiplex Immunoassay

Label

Unconjugated

Antibody Source

Recombinant Monoclonal Rabbit IgG Kappa Clone # CR2/7185R

Concentration

0.2 mg/ml

Product Specifications

Immunogen

Recombinant fragment corresponding to C-terminal of human CD21 (exact sequence is proprietary)

Localization

Cell Surface

Clonality

Monoclonal

Host

Rabbit

Isotype

IgG Kappa

Description

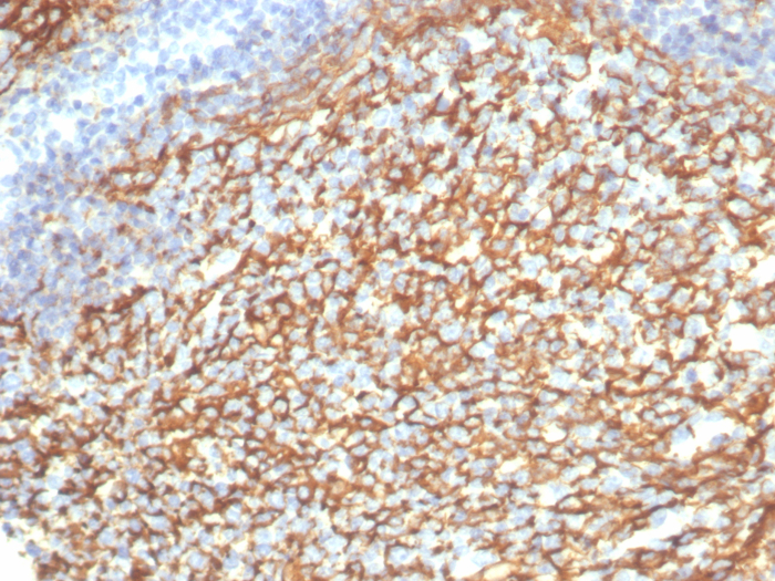
Positive Controls: Human tonsil tissue.

Antibody with azide - store at 2 to 8C. Antibody without azide - store at -20 to -80C. Non-hazardous. No MSDS required.

Scientific Data Images for CD21 Antibody (CR2/7185R)

CD21 Antibody (CR2/7185R) CD21 Antibody (CR2/7185R)

CD21 in Human Lymph Node via seqIF™ staining on COMET™

CD21 was detected in immersion fixed paraffin-embedded sections of human Lymph Node using Rabbit Anti-Human CD21, Monoclonal Antibody (Catalog # NBP3-20354) at 1:2000 at 37° Celsius for 4 minutes. Before incubation with the primary antibody, tissue underwent an all-in-one dewaxing and antigen retrieval preprocessing using PreTreatment Module (PT Module) and Dewax and HIER Buffer H (pH 9; Epredia Catalog #TA-999-DHBH).Tissue was stained using the Alexa Fluor™ Plus 555 Goat anti-Rabbit IgG Secondary Antibody at 1:100 at 37 ° Celsius for 2 minutes. (Yellow; Lunaphore Catalog # DR555RB) and counterstained with DAPI (blue; Lunaphore Catalog # DR100). Specific staining was localized to the membrane. Protocol available in COMET™ Panel Builder.
CD21 Antibody (CR2/7185R) CD21 Antibody (CR2/7185R)

CD21 in Human Spleen via seqIF™ staining on COMET™

CD21 was detected in immersion fixed paraffin-embedded sections of human Spleen using Rabbit Anti-Human CD21, Monoclonal Antibody (Catalog # NBP3-20354) at 1:2000 at 37° Celsius for 4 minutes. Before incubation with the primary antibody, tissue underwent an all-in-one dewaxing and antigen retrieval preprocessing using PreTreatment Module (PT Module) and Dewax and HIER Buffer H (pH 9; Epredia Catalog #TA-999-DHBH).Tissue was stained using the Alexa Fluor™ Plus 555 Goat anti-Rabbit IgG Secondary Antibody at 1:100 at 37 ° Celsius for 2 minutes. (Yellow; Lunaphore Catalog # DR555RB) and counterstained with DAPI (blue; Lunaphore Catalog # DR100). Specific staining was localized to the membrane. Protocol available in COMET™ Panel Builder.
CD21 Antibody (CR2/7185R) CD21 Antibody (CR2/7185R)

CD21 in Human Tonsil via seqIF™ staining on COMET™

CD21 was detected in immersion fixed paraffin-embedded sections of human Tonsil using Rabbit Anti-Human CD21, Monoclonal Antibody (Catalog # NBP3-20354) at 1:2000 at 37° Celsius for 4 minutes. Before incubation with the primary antibody, tissue underwent an all-in-one dewaxing and antigen retrieval preprocessing using PreTreatment Module (PT Module) and Dewax and HIER Buffer H (pH 9; Epredia Catalog #TA-999-DHBH).Tissue was stained using the Alexa Fluor™ Plus 555 Goat anti-Rabbit IgG Secondary Antibody at 1:100 at 37 ° Celsius for 2 minutes. (Yellow; Lunaphore Catalog # DR555RB) and counterstained with DAPI (blue; Lunaphore Catalog # DR100). Specific staining was localized to the membrane. Protocol available in COMET™ Panel Builder.

Applications for CD21 Antibody (CR2/7185R)

Application
Recommended Usage

Immunohistochemistry-Paraffin

1-2 ug/ml
Application Notes
Immunohistochemistry (Formalin-fixed): 1-2ug/ml for 30 minutes. at RT. Staining of formalin-fixed tissues requires heating tissue sections in 10mM Tris with 1mM EDTA, pH 9.0, for 45 min at 95C followed by cooling at RT for 20 minutes.

Optimal dilution for a specific application should be determined.

Formulation, Preparation, and Storage

Purification

Protein A or G purified

Formulation

10mM PBS with 0.05% BSA

Preservative

0.05% Sodium Azide

Concentration

0.2 mg/ml

Shipping

The product is shipped with polar packs. Upon receipt, store it immediately at the temperature recommended below.

Stability & Storage

Store at 4C. Do not freeze.

Background: CD21

CD21 (complement receptor 2, CR2) binds C3 complement fragments, especially its breakdown fragments, which remain covalently attached to complement activating surfaces or antigen. CD21 has important roles in uptake and retention of immunocomplexes, survival of memory B cells and in development and maintenance of the humoral response to T-dependent antigens. CD21 also serves as a key receptor for Epstein-Barr virus binding and is involved in targeting prions to folicular dendritic cells and expediting neuroinvasion following peripheral exposure to prions. A soluble form of the CD21 (sCD21) is shed from the lymphocyte surface and retains its ability to bind respective ligands.

Alternate Names

C3DR, CD21, CR2

Gene Symbol

CR2

Additional CD21 Products

Product Documents for CD21 Antibody (CR2/7185R)

Certificate of Analysis

To download a Certificate of Analysis, please enter a lot number in the search box below.

Product Specific Notices for CD21 Antibody (CR2/7185R)

This product is for research use only and is not approved for use in humans or in clinical diagnosis. Primary Antibodies are guaranteed for 1 year from date of receipt.

Loading...
Loading...
Loading...
Loading...