Skip to main content

CCL23/Ck beta 8-1/MIP3 Antibody (CCL23/4036)

Novus Biologicals, part of Bio-Techne | Catalog # NBP3-26728

Novus Biologicals, part of Bio-Techne
Catalog #
Availability
Size / Price
Qty
Loading...
NBP3-26728-100ug
NBP3-26728-20ug

Key Product Details

Species Reactivity

Human

Applications

Immunohistochemistry-Paraffin

Label

Unconjugated

Antibody Source

Monoclonal Mouse IgG2c Kappa Clone # CCL23/4036

Concentration

0.2 mg/ml

Product Specifications

Immunogen

Recombinant fragment (around aa1-120) of human CCL23/Ck beta 8-1/MIP3 protein (exact sequence is proprietary)

Localization

Secreted

Clonality

Monoclonal

Host

Mouse

Isotype

IgG2c Kappa

Description

Antibody with azide - store at 2 to 8C. Antibody without azide - store at -20 to -80C. Non-hazardous. No MSDS required.

Scientific Data Images for CCL23/Ck beta 8-1/MIP3 Antibody (CCL23/4036)

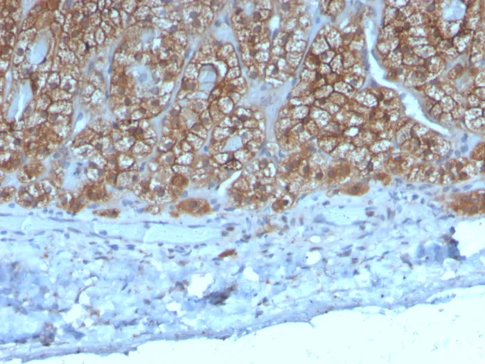
CCL23/Ck beta 8-1/MIP3 Antibody (CCL23/4036)

Immunohistochemistry-Paraffin: CCL23/Ck beta 8-1/MIP3 Antibody (CCL23/4036) [NBP3-26728 ] -

Formalin-fixed, paraffin-embedded human adrenal gland stained with CCL23/Ck beta 8-1/MIP3 Antibody (CCL23/4036). HIER: Tris/EDTA, pH9.0, 45min. 2°C: HRP-polymer, 30min. DAB, 5min.
CCL23/Ck beta 8-1/MIP3 Antibody (CCL23/4036)

Protein Array: CCL23/Ck beta 8-1/MIP3 Antibody (CCL23/4036) [NBP3-26728 ] -

Analysis of Protein Array containing more than 19,000 full-length human proteins using CCL23-Monospecific Mouse Monoclonal Antibody (CCL23/4036).

Applications for CCL23/Ck beta 8-1/MIP3 Antibody (CCL23/4036)

Application
Recommended Usage

Immunohistochemistry-Paraffin

1-2ug/ml for 30 minutes at RT
Application Notes
Immunohistochemistry-Paraffin 1-2ug/ml for 30 minutes at RT. Optimal dilution for a specific application should be determined.. Staining of formalin-fixed tissues requires heating tissue sections in 10mM Tris with 1mM EDTA, pH 9.0, for 45 min at 95C followed by cooling at RT for 20 minutes

Formulation, Preparation, and Storage

Purification

Protein A or G purified

Formulation

10mM PBS with 0.05% BSA

Preservative

0.05% Sodium Azide

Concentration

0.2 mg/ml

Shipping

The product is shipped with polar packs. Upon receipt, store it immediately at the temperature recommended below.

Stability & Storage

Store at 4C.

Background: CCL23/Ck beta 8-1

Macrophage Inflammatory Protein 3, also known as CCL23, is located on the p-arm of chromosome 9 with other CC cytokine genes which are involved in immunoregulatory and inflammatory processes. In patients with rheumatoid arthritis, high levels on CCL23(19-99) have been found in synovial fluids. This protein is known to have interaction with CCR1, CCR10, CCR2, CCR3 and CCR4.

Alternate Names

Ck beta 8-1, Ckb81

Gene Symbol

CCL23

Additional CCL23/Ck beta 8-1 Products

Product Documents for CCL23/Ck beta 8-1/MIP3 Antibody (CCL23/4036)

Certificate of Analysis

To download a Certificate of Analysis, please enter a lot number in the search box below.

Product Specific Notices for CCL23/Ck beta 8-1/MIP3 Antibody (CCL23/4036)

This product is for research use only and is not approved for use in humans or in clinical diagnosis. Primary Antibodies are guaranteed for 1 year from date of receipt.

Loading...
Loading...
Loading...
Loading...