Skip to main content

CCDC184 Antibody - BSA Free

Novus Biologicals, part of Bio-Techne | Catalog # NBP2-48747

Novus Biologicals, part of Bio-Techne
Catalog #
Availability
Size / Price
Qty
Loading...
NBP2-48747
NBP2-48747-25ul

Key Product Details

Species Reactivity

Human

Applications

Immunohistochemistry, Immunohistochemistry-Paraffin, Immunocytochemistry/ Immunofluorescence

Label

Unconjugated

Antibody Source

Polyclonal Rabbit IgG

Format

BSA Free

Concentration

Concentrations vary lot to lot. See vial label for concentration. If unlisted please contact technical services.

Product Specifications

Immunogen

This antibody was developed against a recombinant protein corresponding to amino acids: EEEKEMPSPATPSSHCERPESPCAGLLGGDGPLVEPLDMPDITLLQLEGEA

Reactivity Notes

Rat (82%)

Clonality

Polyclonal

Host

Rabbit

Isotype

IgG

Description

Novus Biologicals Rabbit CCDC184 Antibody - BSA Free (NBP2-48747) is a polyclonal antibody validated for use in IHC and ICC/IF. All Novus Biologicals antibodies are covered by our 100% guarantee.

Scientific Data Images for CCDC184 Antibody - BSA Free

Immunocytochemistry/ Immunofluorescence: CCDC184 Antibody [NBP2-48747]

Immunocytochemistry/ Immunofluorescence: CCDC184 Antibody [NBP2-48747]

Immunocytochemistry/Immunofluorescence: C12orf68 Antibody [NBP2-48747] - Immunofluorescent staining of human cell line U-2 OS shows localization to mitochondria.
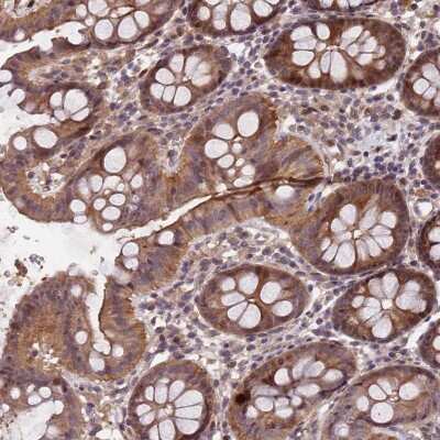
Immunohistochemistry-Paraffin: CCDC184 Antibody [NBP2-48747]

Immunohistochemistry-Paraffin: CCDC184 Antibody [NBP2-48747]

Immunohistochemistry-Paraffin: C12orf68 Antibody [NBP2-48747] - Staining of human colon shows moderate cytoplasmic, membranous and nuclear positivity in glandular cells.

Applications for CCDC184 Antibody - BSA Free

Application
Recommended Usage

Immunocytochemistry/ Immunofluorescence

0.25-2 ug/ml

Immunohistochemistry

1:20 - 1:50

Immunohistochemistry-Paraffin

1:20 - 1:50
Application Notes
For IHC-Paraffin, HIER pH 6 retrieval is recommended. Immunocytochemistry/Immunofluorescence Fixation Permeabilization: Use PFA/Triton X-100.

Formulation, Preparation, and Storage

Purification

Affinity purified

Formulation

PBS (pH 7.2) and 40% Glycerol

Format

BSA Free

Preservative

0.02% Sodium Azide

Concentration

Concentrations vary lot to lot. See vial label for concentration. If unlisted please contact technical services.

Shipping

The product is shipped with polar packs. Upon receipt, store it immediately at the temperature recommended below.

Stability & Storage

Store at 4C short term. Aliquot and store at -20C long term. Avoid freeze-thaw cycles.

Background: CCDC184

Alternate Names

C12orf68, chromosome 12 open reading frame 68, Coiled-Coil Domain Containing 184

Gene Symbol

C12orf68

Additional CCDC184 Products

Product Documents for CCDC184 Antibody - BSA Free

Certificate of Analysis

To download a Certificate of Analysis, please enter a lot number in the search box below.

Product Specific Notices for CCDC184 Antibody - BSA Free

This product is for research use only and is not approved for use in humans or in clinical diagnosis. Primary Antibodies are guaranteed for 1 year from date of receipt.

Loading...
Loading...
Loading...
Loading...