Skip to main content

Cav1.2 Antibody

Novus Biologicals, part of Bio-Techne | Catalog # NBP2-76914

Novus Biologicals, part of Bio-Techne
Catalog #
Availability
Size / Price
Qty
Loading...
NBP2-76914

Key Product Details

Species Reactivity

Validated:

Human, Mouse, Rat

Cited:

Mouse

Applications

Validated:

Immunohistochemistry, Immunohistochemistry-Paraffin, Flow Cytometry, Immunocytochemistry/ Immunofluorescence, Dot Blot

Cited:

Immunohistochemistry-Paraffin

Label

Unconjugated

Antibody Source

Polyclonal Rabbit IgG

Concentration

1 mg/ml

Product Specifications

Immunogen

Synthetic peptide within mouse Cav1.2 aa 802-851 / 2,139. (SwissProt: Q13936 Human; SwissProt: Q01815 Mouse; SwissProt: P22002 Rat)

Localization

Plasma membrane.

Clonality

Polyclonal

Host

Rabbit

Isotype

IgG

Theoretical MW

249 kDa.
Disclaimer note: The observed molecular weight of the protein may vary from the listed predicted molecular weight due to post translational modifications, post translation cleavages, relative charges, and other experimental factors.

Description

Novus Biologicals Rabbit Cav1.2 Antibody (NBP2-76914) is a polyclonal antibody validated for use in IHC, Flow and ICC/IF. Anti-Cav1.2 Antibody: Cited in 1 publication. All Novus Biologicals antibodies are covered by our 100% guarantee.

Scientific Data Images for Cav1.2 Antibody

Immunocytochemistry/ Immunofluorescence: Cav1.2 Antibody [NBP2-76914]

Immunocytochemistry/ Immunofluorescence: Cav1.2 Antibody [NBP2-76914]

Immunocytochemistry/Immunofluorescence: Cav1.2 Antibody [NBP2-76914] - Staining of CACNA1C in SiHa cells (green). Formalin fixed cells were permeabilized with 0.1% Triton X-100 in TBS for 10 minutes at room temperature and blocked with 10% negative goat serum for 15 minutes at room temperature. Cells were probed with the primary antibody (1/200) for 1 hour at room temperature, washed with PBS. Alexa Fluor(R)488 conjugate-Goat anti-Rabbit IgG was used as the secondary antibody at 1/1,000 dilution. The nuclear counter stain is DAPI (blue).
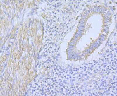
Immunohistochemistry-Paraffin: Cav1.2 Antibody [NBP2-76914]

Immunohistochemistry-Paraffin: Cav1.2 Antibody [NBP2-76914]

Immunohistochemistry-Paraffin: Cav1.2 Antibody [NBP2-76914] - Immunohistochemical analysis of paraffin-embedded mouse heart tissue using anti-CACNA1C antibody. Counter stained with hematoxylin.
Flow Cytometry: Cav1.2 Antibody [NBP2-76914]

Flow Cytometry: Cav1.2 Antibody [NBP2-76914]

Flow Cytometry: Cav1.2 Antibody [NBP2-76914] - Flow cytometric analysis of SKOV-3 cells with CACNA1C antibody at 1/100 dilution (fuchsia) compared with an unlabelled control (cells without incubation with primary antibody; yellow). Alexa Fluor 488-conjugated goat anti-rabbit IgG was used as the secondary antibody.

Applications for Cav1.2 Antibody

Application
Recommended Usage

Dot Blot

1:500-1:1000

Flow Cytometry

1:50-1:100

Immunocytochemistry/ Immunofluorescence

1:500-1:2000

Immunohistochemistry-Paraffin

1:50-1:200

Formulation, Preparation, and Storage

Purification

Immunogen affinity purified

Formulation

PBS (pH7.4), 0.2% BSA, 50% Glycerol

Preservative

0.05% Sodium Azide

Concentration

1 mg/ml

Shipping

The product is shipped with polar packs. Upon receipt, store it immediately at the temperature recommended below.

Stability & Storage

Store at 4C short term. Aliquot and store at -20C long term. Avoid freeze-thaw cycles.

Background: Cav1.2

Ion channels are integral membrane proteins that help establish and control the small voltage gradient across the plasma membrane of living cells by allowing the flow of ions down their electrochemical gradient (1). They are present in the membranes that surround all biological cells because their main function is to regulate the flow of ions across this membrane. Whereas some ion channels permit the passage of ions based on charge, others conduct based on an ionic species, such as sodium or potassium. Furthermore, in some ion channels, the passage is governed by a gate which is controlled by chemical or electrical signals, temperature, or mechanical forces. There are a few main classifications of gated ion channels. There are voltage- gated ion channels, ligandgated, other gating systems and finally those that are classified differently, having more exotic characteristics. The first are voltage- gated ion channels which open and close in response to membrane potential. These are then separated into sodium, calcium, potassium, proton, transient receptor, and cyclic nucleotide-gated channels; each of which is responsible for a unique role. Ligand-gated ion channels are also known as ionotropic receptors, and they open in response to specific ligand molecules binding to the extracellular domain of the receptor protein. The other gated classifications include activation and inactivation by second messengers, inward-rectifier potassium channels, calcium-activated potassium channels, two-pore-domain potassium channels, light-gated channels, mechano-sensitive ion channels and cyclic nucleotide-gated channels. Finally, the other classifications are based on less normal characteristics such as two-pore channels, and transient receptor potential channels (2). Specifically, Cav1.2 is a cardiac L-type calcium channel, and is important for excitation and contraction of the heart (3). It may be associated with a variant of Long QT syndrome called Timothy's syndrome (4, 5) and also with Brugada syndrome. Some references also suggest it is related to bipolar disease as well (5).

Long Name

Voltage-dependent L-type calcium channel subunit alpha-1C

Alternate Names

CACH2, CACN2, CACNA1C, CACNL1A1, CCHL1A1

Gene Symbol

CACNA1C

Additional Cav1.2 Products

Product Documents for Cav1.2 Antibody

Certificate of Analysis

To download a Certificate of Analysis, please enter a lot number in the search box below.

Product Specific Notices for Cav1.2 Antibody

This product is for research use only and is not approved for use in humans or in clinical diagnosis. Primary Antibodies are guaranteed for 1 year from date of receipt.

Loading...
Loading...
Loading...
Loading...
Loading...