Skip to main content

CAR/NR1I3 Antibody (OTI1C6) - Azide and BSA Free

Novus Biologicals, part of Bio-Techne | Catalog # NBP2-71525

Novus Biologicals, part of Bio-Techne

Key Product Details

Species Reactivity

Human

Applications

Immunohistochemistry, Immunohistochemistry-Paraffin, Western Blot

Label

Unconjugated

Antibody Source

Monoclonal Mouse IgG1 Clone # OTI1C6

Format

Azide and BSA Free

Concentration

LYOPH mg/ml

Product Specifications

Immunogen

Human recombinant protein fragment corresponding to amino acids 1-236 of human NR1I3 (NP_001070950) produced in E.coli.

Clonality

Monoclonal

Host

Mouse

Isotype

IgG1

Theoretical MW

40.3 kDa.
Disclaimer note: The observed molecular weight of the protein may vary from the listed predicted molecular weight due to post translational modifications, post translation cleavages, relative charges, and other experimental factors.

Description

Novus Biologicals Mouse CAR/NR1I3 Antibody (OTI1C6) - Azide and BSA Free (NBP2-46226) is a monoclonal antibody validated for use in IHC and WB. All Novus Biologicals antibodies are covered by our 100% guarantee.

Scientific Data Images for CAR/NR1I3 Antibody (OTI1C6) - Azide and BSA Free

Western Blot: CAR/NR1I3 Antibody (OTI1C6)Azide and BSA Free [NBP2-71525]

Western Blot: CAR/NR1I3 Antibody (OTI1C6)Azide and BSA Free [NBP2-71525]

Western Blot: CAR/NR1I3 Antibody (OTI1C6) - Azide and BSA Free [NBP2-71525] - Analysis of HEK293T cells were transfected with the pCMV6-ENTRY control (Left lane) or pCMV6-ENTRY NR1I3.
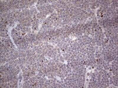
Immunohistochemistry: CAR/NR1I3 Antibody (OTI1C6) - Azide and BSA Free [NBP2-71525]

Immunohistochemistry: CAR/NR1I3 Antibody (OTI1C6) - Azide and BSA Free [NBP2-71525]

Immunohistochemistry: CAR/NR1I3 Antibody (OTI1C6) - Azide and BSA Free [NBP2-71525] - Analysis of Human endometrium tissue. (Heat-induced epitope retrieval by 1 mM EDTA in 10mM Tris, pH8.5, 120C for 3min)
Immunohistochemistry: CAR/NR1I3 Antibody (OTI1C6) - Azide and BSA Free [NBP2-71525]

Immunohistochemistry: CAR/NR1I3 Antibody (OTI1C6) - Azide and BSA Free [NBP2-71525]

Immunohistochemistry: CAR/NR1I3 Antibody (OTI1C6) - Azide and BSA Free [NBP2-71525] - Analysis of Adenocarcinoma of Human endometrium tissue. (Heat-induced epitope retrieval by 1 mM EDTA in 10mM Tris, pH8.5, 120C for 3min)

Applications for CAR/NR1I3 Antibody (OTI1C6) - Azide and BSA Free

Application
Recommended Usage

Immunohistochemistry

1:150

Western Blot

1:2000

Formulation, Preparation, and Storage

Purification

Immunogen affinity purified

Reconstitution

we recommend adding 100uL distilled water to a final antibody concentration of about 1 mg/mL. To use this carrier-free antibody for conjugation experiment, we strongly recommend performing another round of desalting process.

Formulation

Lyophilized from PBS (pH 7.3) with 8% Trehalose

Format

Azide and BSA Free

Preservative

No Preservative

Concentration

LYOPH mg/ml

Shipping

The product is shipped with polar packs. Upon receipt, store it immediately at the temperature recommended below.

Stability & Storage

Store at -20C. Avoid freeze-thaw cycles.

Background: CAR/NR1I3

NR1I3 encodes a member of the nuclear receptor superfamily, and is a key regulator of xenobiotic and endobiotic metabolism. The protein binds to DNA as a monomer or a heterodimer with the retinoid X receptor and regulates the transcription of target genes involved in drug metabolism and bilirubin clearance, such as cytochrome P450 family members. Unlike most nuclear receptors, this transcriptional regulator is constitutively active in the absence of ligand but is regulated by both agonists and inverse agonists. Ligand binding results in translocation of this protein to the nucleus, where it activates or represses target gene transcription. These ligands include bilirubin, a variety of foreign compounds, steroid hormones, and prescription drugs. Multiple transcript variants encoding different isoforms have been found for this gene.

Long Name

Constitutive Androstane Receptor

Alternate Names

MB67, NR1I3

Gene Symbol

NR1I3

Additional CAR/NR1I3 Products

Product Documents for CAR/NR1I3 Antibody (OTI1C6) - Azide and BSA Free

Certificate of Analysis

To download a Certificate of Analysis, please enter a lot number in the search box below.

Product Specific Notices for CAR/NR1I3 Antibody (OTI1C6) - Azide and BSA Free

This product is for research use only and is not approved for use in humans or in clinical diagnosis. Primary Antibodies are guaranteed for 1 year from date of receipt.

Loading...
Loading...
Loading...
Loading...
Loading...