Skip to main content

Calreticulin-2/CALR3 Antibody (OTI1E1) - Azide and BSA Free

Novus Biologicals, part of Bio-Techne | Catalog # NBP2-72380

Novus Biologicals, part of Bio-Techne

Key Product Details

Species Reactivity

Human, Mouse, Rat, Canine, Monkey

Applications

Western Blot

Label

Unconjugated

Antibody Source

Monoclonal Mouse IgG1 Clone # OTI1E1

Format

Azide and BSA Free

Concentration

LYOPH mg/ml

Product Specifications

Immunogen

Full length human recombinant protien of human CALR3(NP_659483) produced in HEK293T cell.

Clonality

Monoclonal

Host

Mouse

Isotype

IgG1

Theoretical MW

44.8 kDa.
Disclaimer note: The observed molecular weight of the protein may vary from the listed predicted molecular weight due to post translational modifications, post translation cleavages, relative charges, and other experimental factors.

Description

Novus Biologicals Mouse Calreticulin-2/CALR3 Antibody (OTI1E1) - Azide and BSA Free (NBP2-45586) is a monoclonal antibody validated for use in WB. All Novus Biologicals antibodies are covered by our 100% guarantee.

Scientific Data Images for Calreticulin-2/CALR3 Antibody (OTI1E1) - Azide and BSA Free

Western Blot: Calreticulin-2/CALR3 Antibody (OTI1E1)Azide and BSA Free [NBP2-72380]

Western Blot: Calreticulin-2/CALR3 Antibody (OTI1E1)Azide and BSA Free [NBP2-72380]

Western Blot: Calreticulin-2/CALR3 Antibody (OTI1E1) - Azide and BSA Free [NBP2-72380] - Analysis of HEK293T cells were transfected with the pCMV6-ENTRY control (Left lane) or pCMV6-ENTRY CALR3.
Western Blot: Calreticulin-2/CALR3 Antibody (OTI1E1)Azide and BSA Free [NBP2-72380]

Western Blot: Calreticulin-2/CALR3 Antibody (OTI1E1)Azide and BSA Free [NBP2-72380]

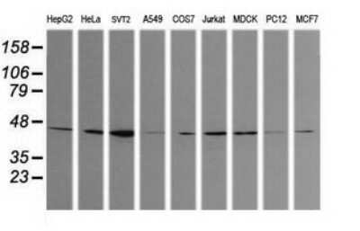
Western Blot: Calreticulin-2/CALR3 Antibody (OTI1E1) - Azide and BSA Free [NBP2-72380] - Analysis of extracts (35ug) from 9 different cell lines (HepG2: human; HeLa: human; SVT2: mouse; A549: human; COS7: monkey; Jurkat: human; MDCK: canine; PC12: rat; MCF7: human).

Applications for Calreticulin-2/CALR3 Antibody (OTI1E1) - Azide and BSA Free

Application
Recommended Usage

Western Blot

1:200-2000

Formulation, Preparation, and Storage

Purification

Immunogen affinity purified

Reconstitution

we recommend adding 100uL distilled water to a final antibody concentration of about 1 mg/mL. To use this carrier-free antibody for conjugation experiment, we strongly recommend performing another round of desalting process.

Formulation

Lyophilized from PBS (pH 7.3) with 8% Trehalose

Format

Azide and BSA Free

Preservative

No Preservative

Concentration

LYOPH mg/ml

Shipping

The product is shipped with polar packs. Upon receipt, store it immediately at the temperature recommended below.

Stability & Storage

Store at -20C. Avoid freeze-thaw cycles.

Background: Calreticulin-2

Calreticulins, such as CALR3, are Ca(2+)-binding chaperones localized mainly in the endoplasmic/sarcoplasmic reticulum Persson et al. (2002) [PubMed 12384296].[supplied by OMIM]

Alternate Names

CALR3, Calreticulin2, Crt2

Gene Symbol

CALR3

Additional Calreticulin-2 Products

Product Documents for Calreticulin-2/CALR3 Antibody (OTI1E1) - Azide and BSA Free

Certificate of Analysis

To download a Certificate of Analysis, please enter a lot number in the search box below.

Product Specific Notices for Calreticulin-2/CALR3 Antibody (OTI1E1) - Azide and BSA Free

This product is for research use only and is not approved for use in humans or in clinical diagnosis. Primary Antibodies are guaranteed for 1 year from date of receipt.

Loading...
Loading...
Loading...
Loading...
Loading...